• 文献检索
  • 文档翻译
  • 深度研究
  • 学术资讯
  • Suppr Zotero 插件Zotero 插件
  • 邀请有礼
  • 套餐&价格
  • 历史记录
应用&插件
Suppr Zotero 插件Zotero 插件浏览器插件Mac 客户端Windows 客户端微信小程序
定价
高级版会员购买积分包购买API积分包
服务
文献检索文档翻译深度研究API 文档MCP 服务
关于我们
关于 Suppr公司介绍联系我们用户协议隐私条款
关注我们

Suppr 超能文献

核心技术专利:CN118964589B侵权必究
粤ICP备2023148730 号-1Suppr @ 2026

文献检索

告别复杂PubMed语法,用中文像聊天一样搜索,搜遍4000万医学文献。AI智能推荐,让科研检索更轻松。

立即免费搜索

文件翻译

保留排版,准确专业,支持PDF/Word/PPT等文件格式,支持 12+语言互译。

免费翻译文档

深度研究

AI帮你快速写综述,25分钟生成高质量综述,智能提取关键信息,辅助科研写作。

立即免费体验

A rare adult presentation of a congenital tumor discovered incidentally after trauma.

作者信息

Carboni Alexa, Fomin Daren

机构信息

College of Osteopathic Medicine, Rocky Vista University, Parker, Colarado.

Department of Dermatology, Irwin Army Community, Ft Riley, Kansas.

出版信息

JAAD Case Rep. 2022 Nov 10;31:121-123. doi: 10.1016/j.jdcr.2022.10.024. eCollection 2023 Jan.

DOI:10.1016/j.jdcr.2022.10.024
PMID:36583145
原文链接:https://pmc.ncbi.nlm.nih.gov/articles/PMC9792700/
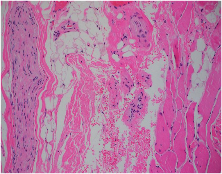
Abstract
摘要
https://cdn.ncbi.nlm.nih.gov/pmc/blobs/6251/9792700/b4ceb02346db/gr2.jpg
https://cdn.ncbi.nlm.nih.gov/pmc/blobs/6251/9792700/b4fd0f342961/gr1.jpg
https://cdn.ncbi.nlm.nih.gov/pmc/blobs/6251/9792700/b4ceb02346db/gr2.jpg
https://cdn.ncbi.nlm.nih.gov/pmc/blobs/6251/9792700/b4fd0f342961/gr1.jpg
https://cdn.ncbi.nlm.nih.gov/pmc/blobs/6251/9792700/b4ceb02346db/gr2.jpg

相似文献

1
A rare adult presentation of a congenital tumor discovered incidentally after trauma.一名先天性肿瘤患者成人期罕见表现,于外伤后偶然发现。
JAAD Case Rep. 2022 Nov 10;31:121-123. doi: 10.1016/j.jdcr.2022.10.024. eCollection 2023 Jan.
2
Rhabdomyomatous mesenchymal hamartoma presenting as telangiectasia in a 57-year-old man.一名57岁男性患者,横纹肌瘤样间叶性错构瘤表现为毛细血管扩张。
J Cutan Pathol. 2021 Sep;48(9):1182-1184. doi: 10.1111/cup.14044. Epub 2021 Jun 4.
3
Incidental rhabdomyomatous mesenchymal hamartoma.偶然发现的横纹肌瘤样间叶性错构瘤。
Proc (Bayl Univ Med Cent). 2020 Sep 28;34(1):161-162. doi: 10.1080/08998280.2020.1801087.
4
Rhabdomyomatous mesenchymal hamartoma presenting as a chin nodule in a 15-year-old male.横纹肌瘤样间叶性错构瘤表现为一名15岁男性的颏部结节。
J Cutan Pathol. 2021 Feb;48(2):322-324. doi: 10.1111/cup.13839. Epub 2020 Sep 30.
5
Rhabdomyomatous mesenchymal hamartoma: an unusual dermal entity with a report of two cases and a review of the literature.横纹肌瘤样间叶性错构瘤:一种罕见的皮肤病变,附两例报告及文献复习
J Cutan Pathol. 2002 Apr;29(4):238-43. doi: 10.1034/j.1600-0560.2002.290407.x.
6
Perianal rhabdomyomatous mesenchymal hamartoma.肛周横纹肌样间叶性错构瘤
Ann R Coll Surg Engl. 2017 Jul;99(6):e193-e195. doi: 10.1308/rcsann.2017.0115.
7
Hamartomas and midline anomalies in association with infantile hemangiomas, PHACE, and LUMBAR syndromes.错构瘤及中线异常与婴儿血管瘤、PHACE综合征和LUMBAR综合征相关。
Pediatr Dermatol. 2020 Jan;37(1):78-85. doi: 10.1111/pde.14006. Epub 2019 Oct 20.
8
Rhabdomyomatous mesenchymal hamartoma presenting as a skin tag in the sternoclavicular area.表现为胸锁区皮肤赘生物的横纹肌瘤样间叶性错构瘤。
Pathol Oncol Res. 2007;13(4):375-8. doi: 10.1007/BF02940320. Epub 2007 Dec 25.
9
Rhabdomyomatous mesenchymal hamartoma with lentiginous melanocytic hyperplasia: an inductive phenomenon or component of the hamartoma?伴有雀斑样黑素细胞增生的横纹肌瘤性间叶错构瘤:一种诱导现象还是错构瘤的组成部分?
Am J Dermatopathol. 2008 Oct;30(5):488-91. doi: 10.1097/DAD.0b013e31817d3297.
10
Rhabdomyomatous mesenchymal hamartoma developed at an unexpected location.横纹肌瘤样间叶性错构瘤发生于意外部位。
Arch Argent Pediatr. 2019 Oct 1;117(5):e519-e522. doi: 10.5546/aap.2019.eng.e519.

引用本文的文献

1
Lower li1mb mesenchymal hamartoma masquerading as hemangioma: a case report of AA2 atypical presentation and diagnostic challenges.伪装成血管瘤的下肢间叶性错构瘤:AA2非典型表现及诊断挑战的病例报告
Ann Med Surg (Lond). 2024 Jul 1;86(9):5518-5522. doi: 10.1097/MS9.0000000000002339. eCollection 2024 Sep.

本文引用的文献

1
Rhabdomyomatous Mesenchymal Hamartoma: A New Proposed Clinical Classification of Adult Onset Acquired Type.横纹肌瘤样间叶性错构瘤:一种新提出的成人发病后天型临床分类。
Acta Derm Venereol. 2022 Jan 5;102:adv00627. doi: 10.2340/actadv.v101.170.
2
Plaque-Type Variant of Acquired Rhabdomyomatous Mesenchymal Hamartoma on the Chin: A Case Series.颏部获得性横纹肌样间叶性血管黏液瘤斑块型变异:病例系列。
Am J Dermatopathol. 2021 Dec 1;43(12):908-912. doi: 10.1097/DAD.0000000000002016.
3
Post-traumatic lip lesion mimicking rhabdomyomatous mesenchymal hamartoma in a pediatric patient.
儿童患者创伤后唇部病变,类似横纹肌样间质错构瘤。
Dermatol Online J. 2020 Nov 15;26(11):13030/qt5qv7r84f.
4
Biopsy-proven spontaneous regression of a rhabdomyomatous mesenchymal hamartoma.经活检证实的横纹肌瘤样间叶性错构瘤自发消退
Pediatr Dermatol. 2015 Mar-Apr;32(2):256-62. doi: 10.1111/pde.12331. Epub 2014 Mar 24.
5
Lipomas after blunt soft tissue trauma: are they real? Analysis of 31 cases.钝性软组织创伤后脂肪瘤:它们是真的吗?31例病例分析。
Br J Dermatol. 2007 Jul;157(1):92-9. doi: 10.1111/j.1365-2133.2007.07970.x. Epub 2007 Jun 6.
6
Striated muscle hamartoma: description of two cases.
Pediatr Dermatol. 1986 Feb;3(2):153-7. doi: 10.1111/j.1525-1470.1986.tb00507.x.
7
Rhabdomyomatous mesenchymal hamartoma of skin.皮肤横纹肌样间叶性错构瘤
Am J Dermatopathol. 1989 Feb;11(1):58-63. doi: 10.1097/00000372-198902000-00009.
8
Congenital rhabdomyomatous mesenchymal hamartoma.先天性横纹肌瘤样间叶性错构瘤
Am J Dermatopathol. 1990 Oct;12(5):539-40. doi: 10.1097/00000372-199010000-00018.