Suppr超能文献

2微米手持式铥激光在幕上和幕下脑膜瘤显微手术切除中的安全性和有效性:单中心经验

Safeness and efficacy of 2-µm handheld thulium laser during microsurgical resection of supratentorial and infratentorial meningiomas: Experience of a single center.

作者信息

Andrés Sanz Julio Alberto, Marrone Salvatore, Cacciotti Guglielmo, Carpineta Ettore, Scavo Carlo Giacobbo, Roperto Raffaele, Iacopino Domenico G, Sufianov Rinat, Safarov Aidar, Sufianov Albert, Mastronardi Luciano

机构信息

Department of Neurosurgery, San Filippo Neri Hospital/ASLRoma1, Rome, Italy.

Department of Neurosurgery, Lozano Blesa Clinical Hospital, Zaragoza, Spain.

出版信息

Front Surg. 2022 Dec 16;9:1021019. doi: 10.3389/fsurg.2022.1021019. eCollection 2022.

Abstract

AIMS

We performed a retrospective nonrandomized study to analyze the results of a microsurgery of intracranial meningiomas using 2-μm thulium flexible handheld laser fiber (Revolix jr).

METHODS

From February 2014 to December 2021, 75 nonconsecutive patients suffering from intracranial meningiomas, admitted in our department, have been operated on with microsurgical technique assisted by 2-μm thulium flexible handheld laser. We have reviewed demographic and clinical data to evaluate safety and efficacy of the technique.

RESULTS

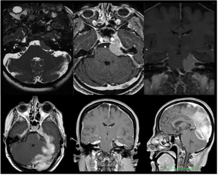
There were no complications related to the use of the 2-μm thulium laser. We operated on a high percentage of cranial base and tentorial and posterior fossa meningioma in our series. The neurological outcome and degree of resection did not differ from previous series. The neurosurgical team found the laser easy to use and practical for avoiding bleeding and traction.

CONCLUSION

The use of 2-μm thulium fiber handheld flexible laser in microsurgery of intracranial meningiomas seems to be safe and to facilitate tumor resection, especially in "difficult" conditions (e.g., deep seated, highly vascularized, and hard tumors). Even if in this limited retrospective trial the good functional outcome following conventional microsurgery had not further improved, nor the surgical time was reduced by laser, focusing its use on "difficult" (large and vascularized) cases may lead to different results in the future.

摘要

目的

我们进行了一项回顾性非随机研究,以分析使用2微米铥柔性手持激光光纤(Revolix jr)进行颅内脑膜瘤显微手术的结果。

方法

2014年2月至2021年12月,我们科室收治的75例非连续性颅内脑膜瘤患者接受了在2微米铥柔性手持激光辅助下的显微外科手术。我们回顾了人口统计学和临床数据,以评估该技术的安全性和有效性。

结果

未出现与使用2微米铥激光相关的并发症。在我们的系列病例中,颅底、小脑幕和后颅窝脑膜瘤的手术比例较高。神经学结果和切除程度与先前系列无差异。神经外科团队发现该激光易于使用且在避免出血和牵拉方面很实用。

结论

在颅内脑膜瘤显微手术中使用2微米铥光纤手持柔性激光似乎是安全的,并且有助于肿瘤切除,特别是在“困难”情况下(例如,深部、血管丰富和坚硬的肿瘤)。即使在这项有限的回顾性试验中,传统显微手术后良好的功能结果没有进一步改善,激光也未缩短手术时间,但将其应用集中于“困难”(大且血管丰富)病例可能在未来产生不同的结果。

https://cdn.ncbi.nlm.nih.gov/pmc/blobs/089e/9800793/c9f97f1677bb/fsurg-09-1021019-g001.jpg

文献AI研究员

20分钟写一篇综述,助力文献阅读效率提升50倍。

立即体验

用中文搜PubMed

大模型驱动的PubMed中文搜索引擎

马上搜索

文档翻译

学术文献翻译模型,支持多种主流文档格式。

立即体验