• 文献检索
  • 文档翻译
  • 深度研究
  • 学术资讯
  • Suppr Zotero 插件Zotero 插件
  • 邀请有礼
  • 套餐&价格
  • 历史记录
应用&插件
Suppr Zotero 插件Zotero 插件浏览器插件Mac 客户端Windows 客户端微信小程序
定价
高级版会员购买积分包购买API积分包
服务
文献检索文档翻译深度研究API 文档MCP 服务
关于我们
关于 Suppr公司介绍联系我们用户协议隐私条款
关注我们

Suppr 超能文献

核心技术专利:CN118964589B侵权必究
粤ICP备2023148730 号-1Suppr @ 2026

文献检索

告别复杂PubMed语法,用中文像聊天一样搜索,搜遍4000万医学文献。AI智能推荐,让科研检索更轻松。

立即免费搜索

文件翻译

保留排版,准确专业,支持PDF/Word/PPT等文件格式,支持 12+语言互译。

免费翻译文档

深度研究

AI帮你快速写综述,25分钟生成高质量综述,智能提取关键信息,辅助科研写作。

立即免费体验

大豆皂甙和益生元改变()的肠道功能。

Soya saponins and prebiotics alter intestinal functions in Ballan wrasse ().

机构信息

Department of Paraclinical Sciences, Faculty of Veterinary Medicine, Norwegian University of Life Sciences (NMBU), Ås, Norway.

Feed and Nutrition, Institute of Marine Research, Bergen, Norway.

出版信息

Br J Nutr. 2023 Sep 14;130(5):765-782. doi: 10.1017/S000711452200383X. Epub 2023 Jan 12.

DOI:10.1017/S000711452200383X
PMID:36632013
原文链接:https://pmc.ncbi.nlm.nih.gov/articles/PMC10404481/
Abstract

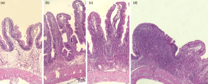
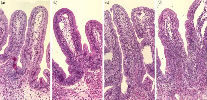
A 5-week feeding trial was conducted in the cleaner fish Ballan wrasse () for a better understanding of the basic biology of the intestinal functions and health in this stomach less species. During the trial, Ballan wrasse was fed either a reference diet, the reference diet supplemented with (i) a commercial prebiotic (Aquate™ SG, 0·4 %) expected to have beneficial effects, (ii) soya saponins (0·7 %) expected to induce inflammation or (iii) a combination of the prebiotics and the soya saponins to find a remedy for gut inflammation. Blood, intestinal tissue and gut content from four consecutive intestinal segments (IN1 - IN4) were collected. No significant differences in fish growth were observed between the four dietary groups. Saponin supplementation, both alone and in combination with prebiotics, increased weight index of IN2 and IN3 and decreased blood plasma glucose, cholesterol and total protein. Dry matter of intestinal content and activity of digestive enzymes were not affected by diet. Histomorphological analyses revealed a progressing inflammation with increased infiltration by immune cells particularly into the distal parts of the intestine in fish fed diets with saponins, both alone and in combination with prebiotics. Gene expression profiles obtained by RNA sequencing and quantitative PCR mirrored the histological and biochemical changes induced by the saponin load. The study demonstrated that Ballan wrasse gut health and digestive function may be markedly affected by feed ingredients containing antinutrients.

摘要

进行了为期 5 周的投喂试验,以更好地了解这种无胃鱼类肠道功能和健康的基本生物学。在试验期间,给星斑川鲷投喂基础饲料或在基础饲料中添加以下成分:(i)一种预期具有有益效果的商业益生元(Aquate™ SG,0.4%);(ii)预期会引发炎症的大豆皂素(0.7%);(iii)将益生元和大豆皂素结合起来,以寻找治疗肠道炎症的方法。连续采集 4 个肠道段(IN1-IN4)的血液、肠道组织和肠道内容物。4 个饮食组之间的鱼体生长没有显著差异。单独或与益生元一起补充皂素增加了 IN2 和 IN3 的体重指数,并降低了血浆葡萄糖、胆固醇和总蛋白。肠道内容物的干物质和消化酶活性不受饮食影响。组织形态学分析显示,在单独或与益生元一起添加皂素的情况下,鱼类的肠道远端部位出现了免疫细胞浸润增加的进行性炎症。通过 RNA 测序和定量 PCR 获得的基因表达谱反映了皂素负荷引起的组织学和生化变化。该研究表明,星斑川鲷的肠道健康和消化功能可能会受到含抗营养成分的饲料成分的显著影响。

https://cdn.ncbi.nlm.nih.gov/pmc/blobs/bedc/10404481/f2e9a37a34fb/S000711452200383X_fig13.jpg
https://cdn.ncbi.nlm.nih.gov/pmc/blobs/bedc/10404481/07a2c04eb1b7/S000711452200383X_fig1.jpg
https://cdn.ncbi.nlm.nih.gov/pmc/blobs/bedc/10404481/f248d41dcb86/S000711452200383X_fig2.jpg
https://cdn.ncbi.nlm.nih.gov/pmc/blobs/bedc/10404481/d34e3bc52256/S000711452200383X_fig3.jpg
https://cdn.ncbi.nlm.nih.gov/pmc/blobs/bedc/10404481/6f912a967955/S000711452200383X_fig4.jpg
https://cdn.ncbi.nlm.nih.gov/pmc/blobs/bedc/10404481/1c52a5039952/S000711452200383X_fig5.jpg
https://cdn.ncbi.nlm.nih.gov/pmc/blobs/bedc/10404481/69d8ce8b8e51/S000711452200383X_fig6.jpg
https://cdn.ncbi.nlm.nih.gov/pmc/blobs/bedc/10404481/2b5dfcaf26de/S000711452200383X_fig7.jpg
https://cdn.ncbi.nlm.nih.gov/pmc/blobs/bedc/10404481/03c3a91ca29a/S000711452200383X_fig8.jpg
https://cdn.ncbi.nlm.nih.gov/pmc/blobs/bedc/10404481/2a4d95157247/S000711452200383X_fig9.jpg
https://cdn.ncbi.nlm.nih.gov/pmc/blobs/bedc/10404481/4f08d71a8365/S000711452200383X_fig10.jpg
https://cdn.ncbi.nlm.nih.gov/pmc/blobs/bedc/10404481/7d538589f50b/S000711452200383X_fig11.jpg
https://cdn.ncbi.nlm.nih.gov/pmc/blobs/bedc/10404481/183ba98888a6/S000711452200383X_fig12.jpg
https://cdn.ncbi.nlm.nih.gov/pmc/blobs/bedc/10404481/f2e9a37a34fb/S000711452200383X_fig13.jpg
https://cdn.ncbi.nlm.nih.gov/pmc/blobs/bedc/10404481/07a2c04eb1b7/S000711452200383X_fig1.jpg
https://cdn.ncbi.nlm.nih.gov/pmc/blobs/bedc/10404481/f248d41dcb86/S000711452200383X_fig2.jpg
https://cdn.ncbi.nlm.nih.gov/pmc/blobs/bedc/10404481/d34e3bc52256/S000711452200383X_fig3.jpg
https://cdn.ncbi.nlm.nih.gov/pmc/blobs/bedc/10404481/6f912a967955/S000711452200383X_fig4.jpg
https://cdn.ncbi.nlm.nih.gov/pmc/blobs/bedc/10404481/1c52a5039952/S000711452200383X_fig5.jpg
https://cdn.ncbi.nlm.nih.gov/pmc/blobs/bedc/10404481/69d8ce8b8e51/S000711452200383X_fig6.jpg
https://cdn.ncbi.nlm.nih.gov/pmc/blobs/bedc/10404481/2b5dfcaf26de/S000711452200383X_fig7.jpg
https://cdn.ncbi.nlm.nih.gov/pmc/blobs/bedc/10404481/03c3a91ca29a/S000711452200383X_fig8.jpg
https://cdn.ncbi.nlm.nih.gov/pmc/blobs/bedc/10404481/2a4d95157247/S000711452200383X_fig9.jpg
https://cdn.ncbi.nlm.nih.gov/pmc/blobs/bedc/10404481/4f08d71a8365/S000711452200383X_fig10.jpg
https://cdn.ncbi.nlm.nih.gov/pmc/blobs/bedc/10404481/7d538589f50b/S000711452200383X_fig11.jpg
https://cdn.ncbi.nlm.nih.gov/pmc/blobs/bedc/10404481/183ba98888a6/S000711452200383X_fig12.jpg
https://cdn.ncbi.nlm.nih.gov/pmc/blobs/bedc/10404481/f2e9a37a34fb/S000711452200383X_fig13.jpg

相似文献

1
Soya saponins and prebiotics alter intestinal functions in Ballan wrasse ().大豆皂甙和益生元改变()的肠道功能。
Br J Nutr. 2023 Sep 14;130(5):765-782. doi: 10.1017/S000711452200383X. Epub 2023 Jan 12.
2
Digestive and immune functions in the intestine of wild Ballan wrasse (Labrus bergylta).野生球纹唇鱼(Labrus bergylta)肠道中的消化和免疫功能。
Comp Biochem Physiol A Mol Integr Physiol. 2021 Oct;260:111011. doi: 10.1016/j.cbpa.2021.111011. Epub 2021 Jun 24.
3
Welfare and performance of ballan wrasse (Labrus bergylta) reared at two different temperatures after a preparatory feeding trial with enhanced dietary eicosapentaenoic acid.在经过强化饲料中二十碳五烯酸的预备喂养试验后,在两种不同温度下饲养的波纹唇鱼(Labrus bergylta)的福利和性能。
J Fish Biol. 2023 Nov;103(5):906-923. doi: 10.1111/jfb.15482. Epub 2023 Jul 6.
4
Loss of stomach, loss of appetite? Sequencing of the ballan wrasse (Labrus bergylta) genome and intestinal transcriptomic profiling illuminate the evolution of loss of stomach function in fish.失去胃,失去食欲?褐菖鲉(Labrus bergylta)基因组测序和肠道转录组分析揭示了鱼类胃功能丧失的进化。
BMC Genomics. 2018 Mar 6;19(1):186. doi: 10.1186/s12864-018-4570-8.
5
Health assessment of the cleaner fish ballan wrasse Labrus bergylta from the British south-west coast.对来自英国西南海岸的清洁鱼球纹濑鱼(Labrus bergylta)的健康评估。
Dis Aquat Organ. 2019 Oct 17;136(2):133-146. doi: 10.3354/dao03394.
6
The teleost polymeric Ig receptor counterpart in ballan wrasse (Labrus bergylta) differs from pIgR in higher vertebrates.鲈形目聚合免疫球蛋白受体在隆头鱼(Labrus bergylta)中的对应物与高等脊椎动物的 pIgR 不同。
Vet Immunol Immunopathol. 2022 Jul;249:110440. doi: 10.1016/j.vetimm.2022.110440. Epub 2022 May 13.
7
Efficacy testing of an immersion vaccine against Aeromonas salmonicida and immunocompetence in ballan wrasse (Labrus bergylta, Ascanius).抗 salmonicida 嗜水气单胞菌浸泡疫苗的功效测试及鲈(Labrus bergylta,Ascanius)的免疫能力
Fish Shellfish Immunol. 2022 Feb;121:505-515. doi: 10.1016/j.fsi.2021.09.044. Epub 2021 Oct 19.
8
Characterization of IgM in Norwegian cleaner fish (lumpfish and wrasses).挪威清洁鱼(圆鳍鱼和隆头鱼)中IgM的特性分析。
Fish Shellfish Immunol. 2016 Dec;59:9-17. doi: 10.1016/j.fsi.2016.09.063. Epub 2016 Oct 1.
9
Effects of Cholecystokinin (CCK) on Gut Motility in the Stomachless Fish Ballan Wrasse ().胆囊收缩素(CCK)对无胃鱼类球纹隆头鱼肠道蠕动的影响()。
Front Neurosci. 2019 Jun 7;13:553. doi: 10.3389/fnins.2019.00553. eCollection 2019.
10
The thymus and T-cell ontogeny in ballan wrasse () is nutritionally modelled.营养塑造了颊鲈()的胸腺和 T 细胞发生。
Front Immunol. 2023 May 1;14:1166785. doi: 10.3389/fimmu.2023.1166785. eCollection 2023.

本文引用的文献

1
Digestive and immune functions in the intestine of wild Ballan wrasse (Labrus bergylta).野生球纹唇鱼(Labrus bergylta)肠道中的消化和免疫功能。
Comp Biochem Physiol A Mol Integr Physiol. 2021 Oct;260:111011. doi: 10.1016/j.cbpa.2021.111011. Epub 2021 Jun 24.
2
Physical and nutrient stimuli differentially modulate gut motility patterns, gut transit rate, and transcriptome in an agastric fish, the ballan wrasse.物理和营养刺激可不同程度地调节无胃鱼类——颊鲈的肠道运动模式、肠道通过速率和转录组。
PLoS One. 2021 Feb 11;16(2):e0247076. doi: 10.1371/journal.pone.0247076. eCollection 2021.
3
Insulin-Like Growth Factors Are Key Regulators of T Helper 17 Regulatory T Cell Balance in Autoimmunity.
胰岛素样生长因子是自身免疫中辅助性 T 细胞 17 调节性 T 细胞平衡的关键调节因子。
Immunity. 2020 Apr 14;52(4):650-667.e10. doi: 10.1016/j.immuni.2020.03.013.
4
Analysis of immunoglobulin and T cell receptor gene expression in ballan wrasse (Labrus bergylta) revealed an extraordinarily high IgM expression in the gut.分析鲷(Labrus bergylta)的免疫球蛋白和 T 细胞受体基因表达情况,发现其肠道中 IgM 的表达水平极高。
Fish Shellfish Immunol. 2019 Apr;87:650-658. doi: 10.1016/j.fsi.2019.02.007. Epub 2019 Feb 10.
5
Origin, Differentiation, and Function of Intestinal Macrophages.肠道巨噬细胞的起源、分化与功能。
Front Immunol. 2018 Nov 27;9:2733. doi: 10.3389/fimmu.2018.02733. eCollection 2018.
6
Sustainable production and use of cleaner fish for the biological control of sea lice: recent advances and current challenges.清洁鱼用于海虱生物防治的可持续生产与利用:最新进展与当前挑战
Vet Rec. 2018 Sep 29;183(12):383. doi: 10.1136/vr.104966. Epub 2018 Jul 30.
7
Diverse developmental pathways of intestinal intraepithelial lymphocytes.肠上皮内淋巴细胞的不同发育途径。
Nat Rev Immunol. 2018 Aug;18(8):514-525. doi: 10.1038/s41577-018-0013-7.
8
Soya-saponins induce intestinal inflammation and barrier dysfunction in juvenile turbot (Scophthalmus maximus).大豆皂甙诱导大菱鲆幼鱼肠道炎症和屏障功能障碍。
Fish Shellfish Immunol. 2018 Jun;77:264-272. doi: 10.1016/j.fsi.2018.04.004. Epub 2018 Apr 4.
9
Loss of stomach, loss of appetite? Sequencing of the ballan wrasse (Labrus bergylta) genome and intestinal transcriptomic profiling illuminate the evolution of loss of stomach function in fish.失去胃,失去食欲?褐菖鲉(Labrus bergylta)基因组测序和肠道转录组分析揭示了鱼类胃功能丧失的进化。
BMC Genomics. 2018 Mar 6;19(1):186. doi: 10.1186/s12864-018-4570-8.
10
Effect of dietary prebiotics and probiotics on snakehead (Channa striata) health: Haematology and disease resistance parameters against Aeromonas hydrophila.饲用益生元和益生菌对乌鳢(Channa striata)健康的影响:对嗜水气单胞菌的血液学和抗病力参数。
Fish Shellfish Immunol. 2018 Apr;75:99-108. doi: 10.1016/j.fsi.2018.02.005. Epub 2018 Feb 3.