Suppr超能文献

肥胖患者根治性膀胱切除术后行回肠代膀胱术,单对接机器人辅助根治性肾输尿管切除术:1例报告

Single-Docking Robotic-Assisted Radical Nephroureterectomy in Morbidly Obese Patient Post-Radical Cystectomy With Ileal Conduit: A Case Report.

作者信息

Alsahn Bandar O, Moazin Maher S, Al Khatem Raihanah S, Hariri Albaraa M, Alawami Fatimah A

机构信息

Urology, King Fahad Medical City, Riyadh, SAU.

Urology, Imam Abdulrahman Bin Faisal University, Dammam, SAU.

出版信息

Cureus. 2023 Jan 6;15(1):e33466. doi: 10.7759/cureus.33466. eCollection 2023 Jan.

Abstract

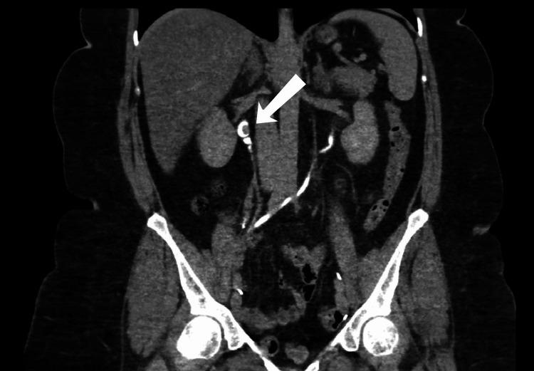
Bladder cancer is considered the most prevalent malignancy affecting the urinary tract system. Urothelial carcinoma, also known as transitional cell carcinoma (TCC), can arise from the entire urinary tract, with the bladder considered the primary site of origin and representing 95% of all cases. The management of TCC of the upper urinary tract is mainly by nephroureterectomy (NU). To our knowledge, there are no data regarding single-docking robotic-assisted NU following cystectomy with an ileal conduit. Therefore, in this study, we are reporting a case of single-docking robotic-assisted NU in a patient who previously underwent open cystectomy with an ileal conduit. A case of a 57-year-old female diagnosed with bladder cancer 10 years ago and underwent several transurethral resections of bladder tumor (TURBT) sessions presented for the first time in 2019, complaining of hematuria and dropping in the hemoglobin, which was not improving with multiple TURBT. For that, the patient underwent an open radical cystectomy with an ileal conduit. During the follow-up in 2021, computed tomography (CT) of the pelvis and abdomen with intravenous (IV) contrast showed a 7 mm enhancing lesion in the right proximal ureter, which was suspicious of proximal ureter mass. In 2022, the patient was again seen in the outpatient clinic; a CT of the pelvis and abdomen with IV contrast was done and demonstrated a significant progression of the mass size to 2 x 1.5 cm, with no other intraabdominal or intrathoracic lesions. For that, she underwent a single-docking robotic-assisted NU. To conclude, performing a single-docking robotic-assisted NU in a patient who previously underwent open radical cystectomy with an ileal conduit is challenging due to multiple adhesion and altered anatomy. More studies need to be published regarding the long-term outcomes of such procedures.

摘要

膀胱癌被认为是影响泌尿系统的最常见恶性肿瘤。尿路上皮癌,也称为移行细胞癌(TCC),可起源于整个尿路,膀胱被视为主要起源部位,占所有病例的95%。上尿路TCC的治疗主要通过肾输尿管切除术(NU)。据我们所知,尚无关于膀胱切除术后行回肠代膀胱术的单对接机器人辅助NU的数据。因此,在本研究中,我们报告了1例曾接受开放性膀胱切除术并行回肠代膀胱术的患者接受单对接机器人辅助NU的病例。1例57岁女性,10年前被诊断为膀胱癌,曾接受多次经尿道膀胱肿瘤切除术(TURBT),于2019年首次就诊,主诉血尿和血红蛋白下降,多次TURBT后病情未改善。为此,该患者接受了开放性根治性膀胱切除术并行回肠代膀胱术。在2021年的随访中,盆腔和腹部增强CT显示右近端输尿管有一个7mm的强化病变,怀疑为近端输尿管肿物。2022年,该患者再次到门诊就诊;进行了盆腔和腹部增强CT检查,结果显示肿物大小显著进展至2×1.5cm,无其他腹内或胸内病变。为此,她接受了单对接机器人辅助NU。总之,在既往接受过开放性根治性膀胱切除术并行回肠代膀胱术的患者中进行单对接机器人辅助NU具有挑战性,因为存在多处粘连和解剖结构改变。关于此类手术的长期结果,需要发表更多的研究。

https://cdn.ncbi.nlm.nih.gov/pmc/blobs/51d4/9828086/de4eaf2777cc/cureus-0015-00000033466-i01.jpg

文献检索

告别复杂PubMed语法,用中文像聊天一样搜索,搜遍4000万医学文献。AI智能推荐,让科研检索更轻松。

立即免费搜索

文件翻译

保留排版,准确专业,支持PDF/Word/PPT等文件格式,支持 12+语言互译。

免费翻译文档

深度研究

AI帮你快速写综述,25分钟生成高质量综述,智能提取关键信息,辅助科研写作。

立即免费体验