Suppr超能文献

肺下韧带的肉芽肿性淋巴结炎

Granulomatous lymphadenitis in the inferior pulmonary ligament.

作者信息

Girvin Francis, Zhou Fang, Escalon Joanna, Steinberger Sharon, Gupta Deepti, Groner Lauren

机构信息

Department of Radiology, Presbyterian / Weill Cornell Medical Center, NewYork, United States.

Department of Pathology, University Langone Health, New York, United States.

出版信息

BJR Case Rep. 2022 Sep 26;8(6):20220087. doi: 10.1259/bjrcr.20220087. eCollection 2022 Nov 1.

Abstract

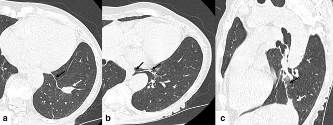
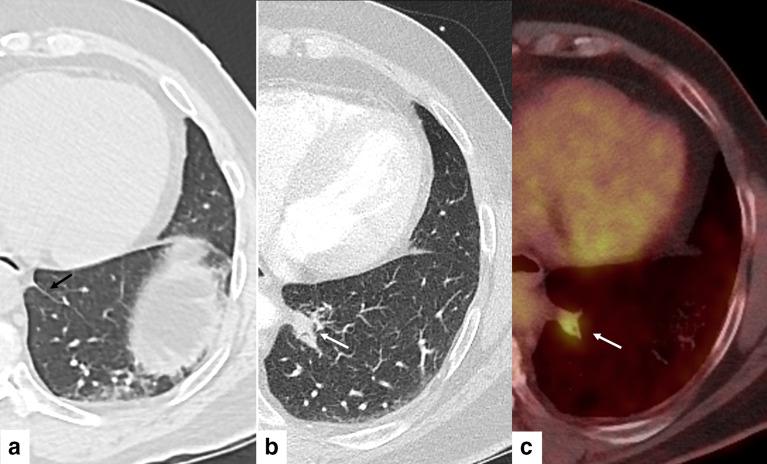
The inferior pulmonary ligament and related connective tissue septa are a recognizable site of granulomatous lymphadenitis on CT of the chest and may mimic a lung parenchymal lesion. The anatomy of the inferior pulmonary ligament, CT appearances and potential etiologies of this entity are reviewed and illustrated.

摘要

肺下韧带及相关结缔组织间隔是胸部CT上肉芽肿性淋巴结炎的一个可识别部位,可能酷似肺实质病变。本文回顾并举例说明了肺下韧带的解剖结构、CT表现及该病变的潜在病因。

https://cdn.ncbi.nlm.nih.gov/pmc/blobs/42f1/9809917/a1130ffaf182/bjrcr.20220087.g001.jpg

文献检索

告别复杂PubMed语法,用中文像聊天一样搜索,搜遍4000万医学文献。AI智能推荐,让科研检索更轻松。

立即免费搜索

文件翻译

保留排版,准确专业,支持PDF/Word/PPT等文件格式,支持 12+语言互译。

免费翻译文档

深度研究

AI帮你快速写综述,25分钟生成高质量综述,智能提取关键信息,辅助科研写作。

立即免费体验