Suppr超能文献

接受肺活检的肉芽肿性疾病患者的病因学特征及主要影像学表现

Etiological profile and main imaging findings in patients with granulomatous diseases who underwent lung biopsy.

作者信息

de Oliveira Camila Vilela, Horvat Natally, Testagrossa Leonardo de Abreu, Romão Davi Dos Santos, Rassi Marina Bastos, Lee Hye Ju

机构信息

Department of Radiology, Hospital Sírio-Libanês, São Paulo, SP, Brazil.

Department of Radiology, Memorial Sloan Kettering Cancer Center, New York, NY, USA.

出版信息

Eur J Radiol Open. 2021 Jan 20;8:100325. doi: 10.1016/j.ejro.2021.100325. eCollection 2021.

Abstract

BACKGROUND

Granulomatous Lung Diseases (GLD) encompasses a wide range of infectious and non-infectious conditions characterized by chronic inflammatory response. However, different GLD may share similar imaging findings. In this context, the purpose of this study was to outline the etiological profile and their imaging features in patients with GLD who underwent lung biopsy.

METHODS

Patients with granulomatous lesions in lung biopsies and previous chest CT performed from 2014 to 2017 at our institution had imaging data reviewed by three blinded radiologists. The imaging features were analyzed according to the Fleischner Society glossary. Categorical data were represented by absolute (n) and relative (%) frequency. The contingency matrices were analyzed by Pearson's Chi-square test. Interreader agreement was assessed by calculating the intraclass correlation coefficient, using kappa (κ) statistic.

RESULTS

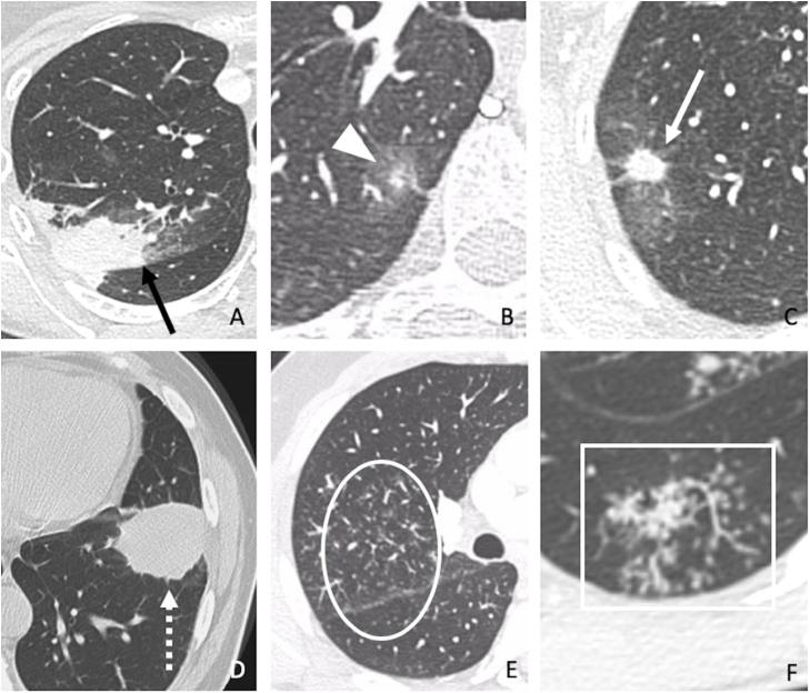
Thirty-eight of 75 (50.7%) patients were women with a mean age of 59 ± 39 years. Infection was the most common cause of GLD (47/75, 62.7%) and (27/75, 36%) was the most prevalent etiology. Nodular pattern was the most common imaging feature in histoplasmosis cases (25/27, 92.6%), whereas it occurred in half of cases (24/48) of GLD of other causes (p < 0.05). Among patients with tuberculosis, the second etiology of GLD in our study population, the most common imaging pattern was centrilobular micronodules (3/7, 42.9%), significantly more frequent than in other causes of GLD (6/68, 8.8%). Interreader agreement in detecting imaging features was almost perfect (κ = 0.88-1.00), except the nodular pattern, which had substantial agreement (κ = 0.73).

CONCLUSIONS

In our study population, the main etiologies found in patients with granulomatous disease who underwent lung biopsy were fungal or mycobacterial disease, specially histoplasmosis and tuberculosis, and nodular pattern with focal distribution was the most common imaging finding which was detected with substantial interreader agreement.

摘要

背景

肉芽肿性肺病(GLD)涵盖了多种以慢性炎症反应为特征的感染性和非感染性疾病。然而,不同的GLD可能具有相似的影像学表现。在此背景下,本研究的目的是概述接受肺活检的GLD患者的病因谱及其影像学特征。

方法

对2014年至2017年在我院进行肺活检且此前有胸部CT检查的肉芽肿性病变患者的影像资料,由三位不知情的放射科医生进行回顾。根据弗莱施纳学会术语表分析影像学特征。分类数据以绝对数(n)和相对频率(%)表示。列联表采用Pearson卡方检验进行分析。通过计算组内相关系数并使用kappa(κ)统计量评估阅片者间的一致性。

结果

75例患者中有38例(50.7%)为女性,平均年龄59±39岁。感染是GLD最常见的病因(47/75,62.7%),其中 (27/75,36%)是最常见的病因。结节型是组织胞浆菌病病例中最常见的影像学特征(25/27,92.6%),而在其他病因的GLD病例中半数出现该特征(24/48)(p<0.05)。在结核病患者中,结核病是我们研究人群中GLD的第二大病因,最常见的影像学表现是小叶中心微结节(3/7,42.9%),明显比其他病因的GLD更常见(6/68,8.8%)。除结节型表现为实质性一致性(κ=0.73)外,阅片者在检测影像学特征方面的一致性几乎完美(κ=0.88 - 1.00)。

结论

在我们的研究人群中,接受肺活检的肉芽肿性疾病患者的主要病因是真菌或分枝杆菌病,特别是组织胞浆菌病和结核病,局灶性分布的结节型是最常见的影像学表现,且阅片者间具有较高的一致性。

https://cdn.ncbi.nlm.nih.gov/pmc/blobs/b318/7820493/bd9b8aa15c5a/gr1.jpg

文献AI研究员

20分钟写一篇综述,助力文献阅读效率提升50倍。

立即体验

用中文搜PubMed

大模型驱动的PubMed中文搜索引擎

马上搜索

文档翻译

学术文献翻译模型,支持多种主流文档格式。

立即体验