• 文献检索
  • 文档翻译
  • 深度研究
  • 学术资讯
  • Suppr Zotero 插件Zotero 插件
  • 邀请有礼
  • 套餐&价格
  • 历史记录
应用&插件
Suppr Zotero 插件Zotero 插件浏览器插件Mac 客户端Windows 客户端微信小程序
定价
高级版会员购买积分包购买API积分包
服务
文献检索文档翻译深度研究API 文档MCP 服务
关于我们
关于 Suppr公司介绍联系我们用户协议隐私条款
关注我们

Suppr 超能文献

核心技术专利:CN118964589B侵权必究
粤ICP备2023148730 号-1Suppr @ 2026

文献检索

告别复杂PubMed语法,用中文像聊天一样搜索,搜遍4000万医学文献。AI智能推荐,让科研检索更轻松。

立即免费搜索

文件翻译

保留排版,准确专业,支持PDF/Word/PPT等文件格式,支持 12+语言互译。

免费翻译文档

深度研究

AI帮你快速写综述,25分钟生成高质量综述,智能提取关键信息,辅助科研写作。

立即免费体验

颈椎横突副关节:1例罕见病例

Accessory articulation of cervical vertebral transverse process: a rare case.

作者信息

Aslam Sarmad, Aslam Iqrah, Tsang Jeffrey, Latief Farris, Thatuskar Adarsh, Rojed Naveen

机构信息

Department of Radiology, Lincoln County Hospital, Lincoln, UK.

King's College London School of Medicine, London, UK.

出版信息

BJR Case Rep. 2022 Nov 1;8(6):20210119. doi: 10.1259/bjrcr.20210119.

DOI:10.1259/bjrcr.20210119
PMID:36632549
原文链接:https://pmc.ncbi.nlm.nih.gov/articles/PMC9809920/
Abstract

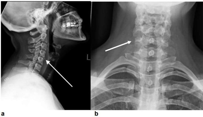
There are several anatomical variants of the cervical vertebrae described in literature ranging from benign findings to those with varying clinical implications, including association with congenital diseases. We describe a case of an extremely rare anatomical variant of the cervical spine consisting of an accessory articulation of the cervical vertebrae C4 and C5 right transverse processes. The case is of a 35-year-old female who presented to primary care with 6-week history of intermittent, dull neck pain. An X-ray of the cervical spine was obtained which did not demonstrate radiological evidence of an acute fracture, dislocation, nor vertebral collapse. However, the X-ray revealed subtle multilevel anterior marginal osteophytic lipping. As a minor fragmented fracture or osteophytic growth could not be excluded; the patient proceeded to have a CT of the cervical spine. This revealed an accessory articulation of both the C4 and C5 right transverse processes, an extremely rare anatomical variant. Our comparison of both X-ray and CT imaging modality results highlighted the importance of utilising CT in identification in the accessory articulation anomaly, which aids in directing patient to appropriate care. Although similar cases may have been seen in clinical practice, to our knowledge, there are no previously documented C4-5 accessory articulations in the literature.

摘要

文献中描述了颈椎的几种解剖变异,从良性表现到具有不同临床意义的变异,包括与先天性疾病的关联。我们描述了一例极其罕见的颈椎解剖变异病例,该变异为颈椎C4和C5右侧横突的副关节。该病例为一名35岁女性,因间歇性钝性颈部疼痛6周就诊于初级保健机构。进行了颈椎X线检查,未显示急性骨折、脱位或椎体塌陷的影像学证据。然而,X线显示有细微的多节段前缘骨赘形成。由于不能排除轻微的粉碎性骨折或骨赘生长;患者随后进行了颈椎CT检查。结果显示C4和C5右侧横突均有副关节,这是一种极其罕见的解剖变异。我们对X线和CT成像方式结果的比较突出了利用CT识别副关节异常的重要性,这有助于指导患者接受适当的治疗。尽管在临床实践中可能见过类似病例,但据我们所知,文献中此前没有C4-5副关节的记录。

https://cdn.ncbi.nlm.nih.gov/pmc/blobs/ddeb/9809920/14ccc887744a/bjrcr.20210119.g003.jpg
https://cdn.ncbi.nlm.nih.gov/pmc/blobs/ddeb/9809920/231553aa493a/bjrcr.20210119.g001.jpg
https://cdn.ncbi.nlm.nih.gov/pmc/blobs/ddeb/9809920/741b98fae381/bjrcr.20210119.g002.jpg
https://cdn.ncbi.nlm.nih.gov/pmc/blobs/ddeb/9809920/14ccc887744a/bjrcr.20210119.g003.jpg
https://cdn.ncbi.nlm.nih.gov/pmc/blobs/ddeb/9809920/231553aa493a/bjrcr.20210119.g001.jpg
https://cdn.ncbi.nlm.nih.gov/pmc/blobs/ddeb/9809920/741b98fae381/bjrcr.20210119.g002.jpg
https://cdn.ncbi.nlm.nih.gov/pmc/blobs/ddeb/9809920/14ccc887744a/bjrcr.20210119.g003.jpg

相似文献

1
Accessory articulation of cervical vertebral transverse process: a rare case.颈椎横突副关节:1例罕见病例
BJR Case Rep. 2022 Nov 1;8(6):20210119. doi: 10.1259/bjrcr.20210119.
2
Accessory articulation of the cervical vertebrae transverse processes simulating a fracture: Incidental findings of an uncommon anatomical variant.颈椎横突的副关节模拟骨折:一种罕见解剖变异的偶然发现。
BJR Case Rep. 2021 Jun 10;7(5):20210012. doi: 10.1259/bjrcr.20210012. eCollection 2021 Sep 8.
3
Accessory articulation of elongated anterior transverse process: a rare anatomical variant of the cervical spine depicted with CT and post-processing techniques.细长型前横突的附属关节:一种通过CT及后处理技术显示的颈椎罕见解剖变异。
Surg Radiol Anat. 2016 Mar;38(2):269-71. doi: 10.1007/s00276-015-1535-3. Epub 2015 Aug 7.
4
Accessory articulation of the transverse processes in the cervical spine.颈椎横突的附属关节。
Radiol Case Rep. 2022 May 9;17(7):2432-2436. doi: 10.1016/j.radcr.2022.03.012. eCollection 2022 Jul.
5
Pediatric cervical kyphosis in the MRI era (1984-2008) with long-term follow up: literature review.MRI 时代(1984-2008 年)的儿童颈椎后凸:文献回顾。
Childs Nerv Syst. 2022 Feb;38(2):361-377. doi: 10.1007/s00381-021-05409-z. Epub 2021 Nov 22.
6
Hyperplasia of Lamina and Spinous Process of C5 Vertebrae and Associated Hemivertebra at C4 Level.C5椎体椎板及棘突增生伴C4水平半椎体畸形。
J Orthop Case Rep. 2017 Jan-Feb;7(1):79-81. doi: 10.13107/jocr.2250-0685.698.
7
Accessory Articulation of the Cervical Transverse Process: A Very Rare Anatomic Variant.颈椎横突的副关节:一种非常罕见的解剖变异。
J Belg Soc Radiol. 2018 Feb 14;102(1):26. doi: 10.5334/jbsr.1348.
8
Total En Bloc Spondylectomy of C3: A New Surgical Technique and Literature Review.C3椎体全椎体整块切除术:一种新的手术技术及文献综述
Acta Chir Orthop Traumatol Cech. 2015;82(4):261-7.
9
Seropositive Neuromyelitis Optica in a Case of Undiagnosed Ankylosing Spondylitis: A Neuro-Rheumatological Conundrum.未确诊的强直性脊柱炎病例中的血清阳性视神经脊髓炎:一个神经风湿病学难题
Qatar Med J. 2022 Jul 7;2022(3):29. doi: 10.5339/qmj.2022.29. eCollection 2022.
10
Elongation of the anterior tubercle of a cervical vertebral transverse process: an unusual variant.颈椎横突前结节延长:一种罕见变异。
Skeletal Radiol. 1983;10(4):265-7. doi: 10.1007/BF00357903.

本文引用的文献

1
A Previously Unreported Variant of a Thoracic Vertebra.一种此前未报道过的胸椎变异体。
Cureus. 2017 Jul 27;9(7):e1522. doi: 10.7759/cureus.1522.
2
Congenital Osseous Anomalies of the Cervical Spine: Occurrence, Morphological Characteristics, Embryological Basis and Clinical Significance: A Computed Tomography Based Study.颈椎先天性骨异常:发生率、形态学特征、胚胎学基础及临床意义:一项基于计算机断层扫描的研究
Asian Spine J. 2019 Mar 14;13(4):535-543. doi: 10.31616/asj.2018.0260. Print 2019 Aug.
3
Accessory Articulation of the Cervical Transverse Process: A Very Rare Anatomic Variant.
颈椎横突的副关节:一种非常罕见的解剖变异。
J Belg Soc Radiol. 2018 Feb 14;102(1):26. doi: 10.5334/jbsr.1348.
4
Accessory articulation of elongated anterior transverse process: a rare anatomical variant of the cervical spine depicted with CT and post-processing techniques.细长型前横突的附属关节:一种通过CT及后处理技术显示的颈椎罕见解剖变异。
Surg Radiol Anat. 2016 Mar;38(2):269-71. doi: 10.1007/s00276-015-1535-3. Epub 2015 Aug 7.
5
Cervical spine anomalies in children and adolescents.儿童和青少年的颈椎异常。
Curr Opin Pediatr. 2013 Feb;25(1):72-7. doi: 10.1097/MOP.0b013e32835bd4cf.
6
Lumbosacral transitional vertebrae: classification, imaging findings, and clinical relevance.腰骶移行椎:分类、影像学表现及临床意义。
AJNR Am J Neuroradiol. 2010 Nov;31(10):1778-86. doi: 10.3174/ajnr.A2036. Epub 2010 Mar 4.
7
An unusual variant of the cervical spine.颈椎的一种罕见变异。
Am J Roentgenol Radium Ther Nucl Med. 1960 Apr;83:656-9.
8
Elongation of the anterior tubercle of a cervical vertebral transverse process: an unusual variant.颈椎横突前结节延长:一种罕见变异。
Skeletal Radiol. 1983;10(4):265-7. doi: 10.1007/BF00357903.
9
Elongation of the anterior tubercle of a cervical vertebral transverse process.
J Manipulative Physiol Ther. 1988 Jun;11(3):221-3.