Suppr超能文献

注射骨替代物治疗单房性骨囊肿。

Injection of a Bone Substitute in the Treatment of Unicameral Bone Cysts.

作者信息

Sivakumar B, An V V G, Dobbe A, Drynan D, Little D

机构信息

Department of Orthopaedics, Westmead Childrens' Hospital, Hawkesbury Rd, Westmead, Sydney, Australia.

Royal North Shore Hospital, Pacific Hwy, St Leonards, Sydney, Australia.

出版信息

Adv Orthop. 2023 Jan 5;2023:3270372. doi: 10.1155/2023/3270372. eCollection 2023.

Abstract

BACKGROUND

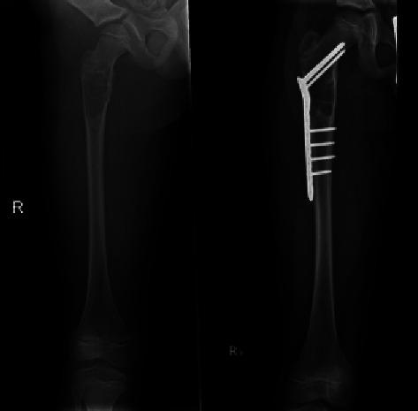
Simple bone cysts are benign bony lesions. Treatment strategies are varied for this particular pathology. It remains controversial as to what the ideal treatment strategy is. Recently, bony substitute injections have emerged as a potential option for treatment. This paper aimed to describe our institution's experience in using bony substitute injections to treat unicameral bone cysts.

METHODS

A retrospective review of consecutive patients over an 84-month period at a tertiary paediatric hospital was performed. Information regarding patients' presentation, diagnosis, and management was recorded and summarised.

RESULTS

A total of 15 patients were included in our study, with a mean follow-up of 118 weeks. 86.7% of patients demonstrated clinical resolution (absence of pain at the latest follow-up) and 80% of patients demonstrated radiographic resolution. Only one patient sustained a subtrochanteric fracture post-index operation, whilst two others demonstrated redevelopment of cystic architecture on follow-up.

CONCLUSION

This study demonstrates that bone substitute injection is potentially a minimally invasive and seemingly successful technique in the treatment of unicameral bone cysts and other simple bone lesions. Further randomised and comparative studies are required to confirm and validate our findings.

摘要

背景

单纯性骨囊肿是良性骨病变。针对这种特殊病理情况的治疗策略多种多样。关于理想的治疗策略是什么,仍存在争议。最近,骨替代物注射已成为一种潜在的治疗选择。本文旨在描述我们机构使用骨替代物注射治疗单房性骨囊肿的经验。

方法

对一家三级儿童医院84个月期间的连续患者进行回顾性研究。记录并总结了有关患者表现、诊断和治疗的信息。

结果

我们的研究共纳入15例患者,平均随访118周。86.7%的患者临床症状缓解(在最近一次随访时无疼痛),80%的患者影像学表现缓解。仅1例患者在首次手术后发生转子下骨折,另外2例患者在随访时囊肿结构复发。

结论

本研究表明,骨替代物注射可能是治疗单房性骨囊肿和其他单纯性骨病变的一种微创且看似成功的技术。需要进一步的随机对照研究来证实和验证我们的发现。

https://cdn.ncbi.nlm.nih.gov/pmc/blobs/5720/9836794/ada85959eba8/AORTH2023-3270372.001.jpg

相似文献

1
Injection of a Bone Substitute in the Treatment of Unicameral Bone Cysts.
Adv Orthop. 2023 Jan 5;2023:3270372. doi: 10.1155/2023/3270372. eCollection 2023.
2
Minimally Invasive Treatment for Unicameral Bone Cysts with Chemical Sclerosis and Bone Graft Substitute: A Preliminary Report.
Cardiovasc Intervent Radiol. 2022 Feb;45(2):190-196. doi: 10.1007/s00270-021-02945-8. Epub 2021 Oct 10.
3
Treatment of unicameral bone cyst: a comparative study of selected techniques.
J Bone Joint Surg Am. 2010 Apr;92(4):855-62. doi: 10.2106/JBJS.I.00607.
4
Treatment of unicameral bone cyst: surgical technique.
J Bone Joint Surg Am. 2011 Mar;93 Suppl 1:92-9. doi: 10.2106/JBJS.J.01123.
5
Interventions for treating simple bone cysts in the long bones of children.
Cochrane Database Syst Rev. 2017 Feb 4;2(2):CD010847. doi: 10.1002/14651858.CD010847.pub3.
6
Interventions for treating simple bone cysts in the long bones of children.
Cochrane Database Syst Rev. 2014 Sep 2(9):CD010847. doi: 10.1002/14651858.CD010847.pub2.
7
Successful treatment of unicameral bone cyst by single percutaneous injection of alpha-BSM.
J Pediatr Orthop. 2009 Jul-Aug;29(5):511-7. doi: 10.1097/BPO.0b013e3181aad704.
9
Treatment of Unicameral Bone Cysts of the Proximal Femur With Internal Fixation Lessens the Risk of Additional Surgery.
Orthopedics. 2017 Sep 1;40(5):e862-e867. doi: 10.3928/01477447-20170810-01. Epub 2017 Aug 18.
10
Surgical management of calcaneal unicameral bone cysts.
Clin Orthop Relat Res. 1999 Mar(360):231-7. doi: 10.1097/00003086-199903000-00027.

本文引用的文献

1
Bioceramic bone graft substitute for treatment of unicameral bone cysts.
J Orthop Surg (Hong Kong). 2016 Aug;24(2):222-7. doi: 10.1177/1602400220.
4
Adverse reactions of artificial bone graft substitutes: lessons learned from using tricalcium phosphate geneX®.
Clin Orthop Relat Res. 2014 Mar;472(3):976-82. doi: 10.1007/s11999-013-3305-z.
5
Treatment of unicameral bone cysts in pediatric patients with an injectable regenerative graft: a preliminary report.
J Pediatr Orthop. 2013 Apr-May;33(3):254-61. doi: 10.1097/BPO.0b013e318285c56c.
6
Function after injection of benign bone lesions with a bioceramic.
Clin Orthop Relat Res. 2012 Jul;470(7):2014-20. doi: 10.1007/s11999-012-2251-5.
7
Unicameral bone cysts: comparison of percutaneous curettage, steroid, and autologous bone marrow injections.
J Pediatr Orthop. 2011 Jan-Feb;31(1):50-5. doi: 10.1097/BPO.0b013e3181ff7510.
8
Treatment of unicameral bone cyst: a comparative study of selected techniques.
J Bone Joint Surg Am. 2010 Apr;92(4):855-62. doi: 10.2106/JBJS.I.00607.
9
Successful treatment of unicameral bone cyst by single percutaneous injection of alpha-BSM.
J Pediatr Orthop. 2009 Jul-Aug;29(5):511-7. doi: 10.1097/BPO.0b013e3181aad704.
10

文献AI研究员

20分钟写一篇综述,助力文献阅读效率提升50倍。

立即体验

用中文搜PubMed

大模型驱动的PubMed中文搜索引擎

马上搜索

文档翻译

学术文献翻译模型,支持多种主流文档格式。

立即体验