Suppr超能文献

腹腔干压迫综合征作为顽固性餐后腹痛的罕见病因:一例报告

Celiac Artery Compression Syndrome as an Uncommon Cause of Intractable Postprandial Abdominal Pain: A Case Report.

作者信息

Mahgoub Ali M, Abdelfattah Ahmed H, Dawoud Hadeel, Elkot Ahmed N

机构信息

Gastroenterology and Hepatology Unit, Department of Internal Medicine, Mansoura University, Specialized Internal Medicine Hospital, Mansoura, EGY.

Department of Internal Medicine, University of Kentucky College of Medicine, Lexington, USA.

出版信息

Cureus. 2022 Dec 12;14(12):e32434. doi: 10.7759/cureus.32434. eCollection 2022 Dec.

Abstract

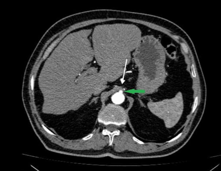
Celiac artery compression syndrome (CACS) is an uncommon and poorly understood condition. Compression of the celiac artery by the median arcuate ligament causes intractable postprandial abdominal pain, weight loss, vomiting, and nausea. We present a case of a 68-year-old male who suffered recurrent severe episodes of postprandial abdominal pain associated with occasional nausea, vomiting, and elevated blood pressure. The diagnostic workup was significant for celiac artery compression on computed tomography angiography. Diagnosis of CACS was made after the exclusion of the other possible pathologies, and the patient was referred to the surgical team for further management for median arcuate ligament release on an elective basis.

摘要

腹腔干压迫综合征(CACS)是一种罕见且了解甚少的病症。正中弓状韧带对腹腔干的压迫会导致顽固性餐后腹痛、体重减轻、呕吐和恶心。我们报告一例68岁男性患者,他反复出现严重的餐后腹痛发作,伴有偶尔的恶心、呕吐和血压升高。计算机断层血管造影显示腹腔干受压,这在诊断检查中具有重要意义。排除其他可能的病理情况后,确诊为CACS,该患者被转介至外科团队,择期进行正中弓状韧带松解的进一步治疗。

https://cdn.ncbi.nlm.nih.gov/pmc/blobs/f629/9833008/58d95ec7d442/cureus-0014-00000032434-i01.jpg

文献AI研究员

20分钟写一篇综述,助力文献阅读效率提升50倍。

立即体验

用中文搜PubMed

大模型驱动的PubMed中文搜索引擎

马上搜索

文档翻译

学术文献翻译模型,支持多种主流文档格式。

立即体验