Yang Cui-Zhu, Wang Shu-Han, Zhang Run-Heng, Lin Jia-Hong, Tian Ying-Hong, Yang Ya-Qi, Liu Jing, Ma Yu-Xin
Department of Anatomy, School of Life Sciences and Biopharmaceutics, Guangdong Pharmaceutical University, Guangzhou, China.
Experiment Teaching & Administration Center, School of Basic Medical Sciences, Southern Medical University, Guangzhou, China.
Cell Death Discov. 2023 Jan 21;9(1):15. doi: 10.1038/s41420-023-01324-1.
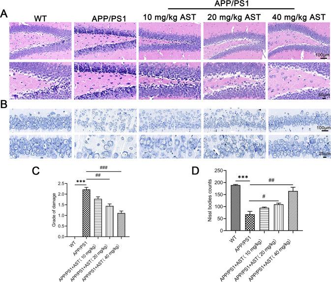
As a small molecule flavonoid, astragalin (AST) has anti-inflammatory, anti-cancer, and anti-oxidation effects. However, the impact and molecular mechanism of AST in Alzheimer's disease (AD) are still not clear. This study aims to investigate the neuroprotective effect and mechanism of AST on APP/PS1 mice and Aβ25-35-injured HT22 cells. In this study, we found that AST ameliorated cognitive dysfunction, reduced hippocampal neuronal damage and loss, and Aβ pathology in APP/PS1 mice. Subsequently, AST activated autophagy and up-regulated the levels of autophagic flux-related protein in APP/PS1 mice and Aβ25-35-induced injury in HT22 cells. Interestingly, AST down-regulated the phosphorylation level of PI3K/Akt-mTOR pathway-related proteins, which was reversed by autophagy inhibitors 3-Methyladenine (3-MA) or Bafilomycin A1 (Baf A1). At the same time, consistent with the impacts of Akt inhibitor MK2206 and mTOR inhibitor rapamycin, inhibited levels of autophagy in Aβ25-35-injured HT22 cells were activated by the administration of AST. Taken together, these results suggested that AST played key neuroprotective roles on AD via stimulating PI3K/Akt-mTOR pathway-mediated autophagy and autophagic flux. This study revealed a new mechanism of autophagy regulation behind the neuroprotection impact of AST for AD treatment.
作为一种小分子黄酮类化合物,黄芪甲苷(AST)具有抗炎、抗癌和抗氧化作用。然而,AST在阿尔茨海默病(AD)中的作用及分子机制仍不清楚。本研究旨在探讨AST对APP/PS1小鼠和Aβ25-35损伤的HT22细胞的神经保护作用及机制。在本研究中,我们发现AST改善了APP/PS1小鼠的认知功能障碍,减少了海马神经元损伤和丢失以及Aβ病理改变。随后,AST激活了自噬,并上调了APP/PS1小鼠和Aβ25-35诱导的HT22细胞损伤中的自噬通量相关蛋白水平。有趣的是,AST下调了PI3K/Akt-mTOR通路相关蛋白的磷酸化水平,而自噬抑制剂3-甲基腺嘌呤(3-MA)或巴弗洛霉素A1(Baf A1)可逆转这种下调。同时,与Akt抑制剂MK2206和mTOR抑制剂雷帕霉素的作用一致,给予AST可激活Aβ25-35损伤的HT22细胞中被抑制的自噬水平。综上所述,这些结果表明AST通过刺激PI3K/Akt-mTOR通路介导的自噬和自噬通量对AD发挥关键的神经保护作用。本研究揭示了AST对AD治疗的神经保护作用背后自噬调节的新机制。