• 文献检索
  • 文档翻译
  • 深度研究
  • 学术资讯
  • Suppr Zotero 插件Zotero 插件
  • 邀请有礼
  • 套餐&价格
  • 历史记录
应用&插件
Suppr Zotero 插件Zotero 插件浏览器插件Mac 客户端Windows 客户端微信小程序
定价
高级版会员购买积分包购买API积分包
服务
文献检索文档翻译深度研究API 文档MCP 服务
关于我们
关于 Suppr公司介绍联系我们用户协议隐私条款
关注我们

Suppr 超能文献

核心技术专利:CN118964589B侵权必究
粤ICP备2023148730 号-1Suppr @ 2026

文献检索

告别复杂PubMed语法,用中文像聊天一样搜索,搜遍4000万医学文献。AI智能推荐,让科研检索更轻松。

立即免费搜索

文件翻译

保留排版,准确专业,支持PDF/Word/PPT等文件格式,支持 12+语言互译。

免费翻译文档

深度研究

AI帮你快速写综述,25分钟生成高质量综述,智能提取关键信息,辅助科研写作。

立即免费体验

免疫抑制剂的局部控释可促进移植的成年脊髓组织存活。

Locally controlled release of immunosuppressive promotes survival of transplanted adult spinal cord tissue.

作者信息

Wang Ziqiang, Li Ya, Sun Chenxuan, Cui Pukong, Han Yuanyuan, Wu Tong, Xu Bai, Zhang Can, Shi Liyang, Dai Jianwu

机构信息

College of Biology, Hunan University, Changsha 410000, China.

State Key Laboratory of Molecular, Developmental Biology, Institute of Genetics and Developmental Biology, Chinese Academy of Sciences, Beijing 100101, China.

出版信息

Regen Biomater. 2022 Dec 5;10:rbac097. doi: 10.1093/rb/rbac097. eCollection 2023.

DOI:10.1093/rb/rbac097
PMID:36683735
原文链接:https://pmc.ncbi.nlm.nih.gov/articles/PMC9845520/
Abstract

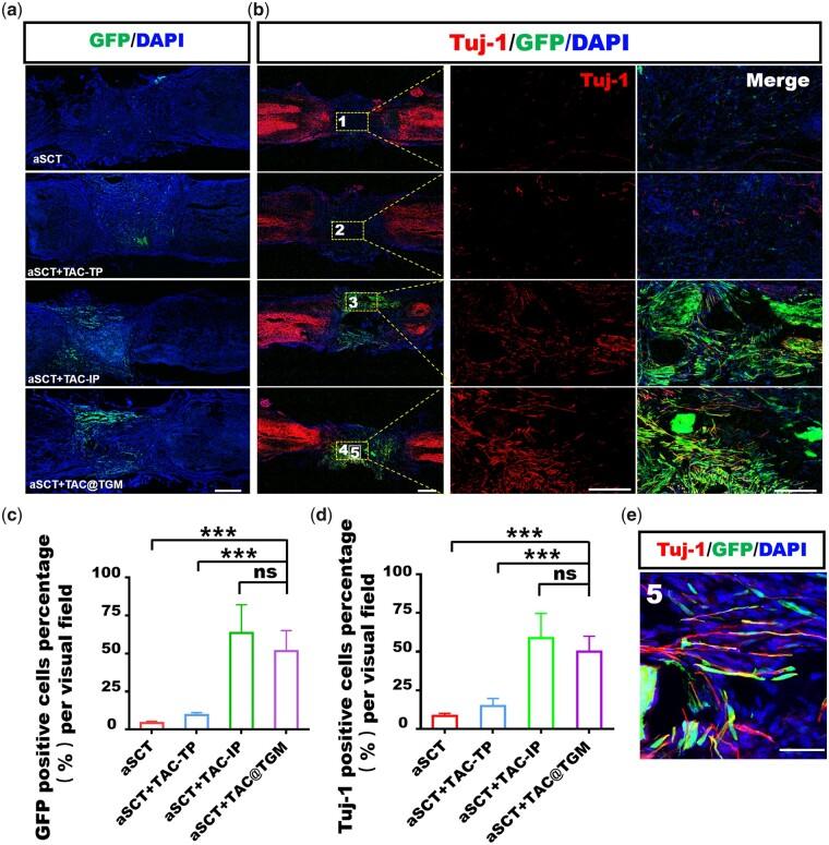
Transplantation of adult spinal cord tissue (aSCT) is a promising treatment for spinal cord injury (SCI) basing on various types of neural cells and matrix components inside aSCT. However, long-term systemic administration of immunosuppressors (e.g. tacrolimus, TAC) is required for the survival of allogeneic tissue, which often associated with severe side effects such as infection, liver damageand renal failure. In this study, a triglycerol monostearate (TGM)-based TAC delivery system (e.g. TAC@TGM) with high drug loading concentration was developed, which possessed injectable properties as well as sustainable and immune-responsive drug release behaviors. In complete transected SCI model, locally injected TAC@TGM could reduce the infiltration of inflammation cells, enhance the survival of transplanted aSCT (e.g. Tuj-1 and NF neurons) and promote the recovery of locomotor function. Moreover, controlled release of TAC by TAC@TGM attenuated side effects of TAC on liver and kidneys compared with traditional systemic administration. More importantly, the developed TAC@TGM system provided a facile single dose of long-term immunosuppressive effect not just for aSCT transplantation, but also for other tissue/organ and cell transplantations.

摘要

基于成年脊髓组织(aSCT)内的各种神经细胞和基质成分,移植成年脊髓组织是治疗脊髓损伤(SCI)的一种很有前景的方法。然而,异体组织的存活需要长期全身给予免疫抑制剂(如他克莫司,TAC),这通常会伴有严重的副作用,如感染、肝损伤和肾衰竭。在本研究中,开发了一种基于单硬脂酸甘油酯(TGM)的TAC递送系统(如TAC@TGM),其具有高载药浓度,具备可注射性以及可持续和免疫响应性药物释放行为。在完全横断脊髓损伤模型中,局部注射TAC@TGM可减少炎症细胞浸润,提高移植aSCT(如Tuj-1和NF神经元)的存活率,并促进运动功能恢复。此外,与传统全身给药相比,TAC@TGM对TAC的控释减轻了TAC对肝脏和肾脏的副作用。更重要的是,所开发的TAC@TGM系统不仅为aSCT移植,也为其他组织/器官和细胞移植提供了一种简便的单剂量长期免疫抑制作用。

https://cdn.ncbi.nlm.nih.gov/pmc/blobs/537a/9845520/6baf0eb2b32b/rbac097f9.jpg
https://cdn.ncbi.nlm.nih.gov/pmc/blobs/537a/9845520/51cf47b519c9/rbac097f10.jpg
https://cdn.ncbi.nlm.nih.gov/pmc/blobs/537a/9845520/fb1bfda080a9/rbac097f1.jpg
https://cdn.ncbi.nlm.nih.gov/pmc/blobs/537a/9845520/589eb6d20f1f/rbac097f2.jpg
https://cdn.ncbi.nlm.nih.gov/pmc/blobs/537a/9845520/4669c3b9b3dc/rbac097f3.jpg
https://cdn.ncbi.nlm.nih.gov/pmc/blobs/537a/9845520/c010698cd272/rbac097f4.jpg
https://cdn.ncbi.nlm.nih.gov/pmc/blobs/537a/9845520/587bab78b6f8/rbac097f5.jpg
https://cdn.ncbi.nlm.nih.gov/pmc/blobs/537a/9845520/4e2aebf8e58d/rbac097f6.jpg
https://cdn.ncbi.nlm.nih.gov/pmc/blobs/537a/9845520/0376f1981570/rbac097f7.jpg
https://cdn.ncbi.nlm.nih.gov/pmc/blobs/537a/9845520/eac5af991ad6/rbac097f8.jpg
https://cdn.ncbi.nlm.nih.gov/pmc/blobs/537a/9845520/6baf0eb2b32b/rbac097f9.jpg
https://cdn.ncbi.nlm.nih.gov/pmc/blobs/537a/9845520/51cf47b519c9/rbac097f10.jpg
https://cdn.ncbi.nlm.nih.gov/pmc/blobs/537a/9845520/fb1bfda080a9/rbac097f1.jpg
https://cdn.ncbi.nlm.nih.gov/pmc/blobs/537a/9845520/589eb6d20f1f/rbac097f2.jpg
https://cdn.ncbi.nlm.nih.gov/pmc/blobs/537a/9845520/4669c3b9b3dc/rbac097f3.jpg
https://cdn.ncbi.nlm.nih.gov/pmc/blobs/537a/9845520/c010698cd272/rbac097f4.jpg
https://cdn.ncbi.nlm.nih.gov/pmc/blobs/537a/9845520/587bab78b6f8/rbac097f5.jpg
https://cdn.ncbi.nlm.nih.gov/pmc/blobs/537a/9845520/4e2aebf8e58d/rbac097f6.jpg
https://cdn.ncbi.nlm.nih.gov/pmc/blobs/537a/9845520/0376f1981570/rbac097f7.jpg
https://cdn.ncbi.nlm.nih.gov/pmc/blobs/537a/9845520/eac5af991ad6/rbac097f8.jpg
https://cdn.ncbi.nlm.nih.gov/pmc/blobs/537a/9845520/6baf0eb2b32b/rbac097f9.jpg

相似文献

1
Locally controlled release of immunosuppressive promotes survival of transplanted adult spinal cord tissue.免疫抑制剂的局部控释可促进移植的成年脊髓组织存活。
Regen Biomater. 2022 Dec 5;10:rbac097. doi: 10.1093/rb/rbac097. eCollection 2023.
2
Adult spinal cord tissue transplantation combined with local tacrolimus sustained-release collagen hydrogel promotes complete spinal cord injury repair.成人脊髓组织移植联合局部他克莫司缓释胶原水凝胶促进完全性脊髓损伤修复。
Cell Prolif. 2023 May;56(5):e13451. doi: 10.1111/cpr.13451. Epub 2023 Mar 13.
3
Allotransplantation of adult spinal cord tissues after complete transected spinal cord injury: Long-term survival and functional recovery in canines.成年脊髓完全横断损伤后同种异体脊髓组织移植:犬的长期存活和功能恢复。
Sci China Life Sci. 2020 Dec;63(12):1879-1886. doi: 10.1007/s11427-019-1623-5. Epub 2020 May 6.
4
Effective long-term immunosuppression in rats by subcutaneously implanted sustained-release tacrolimus pellet: effect on spinally grafted human neural precursor survival.通过皮下植入的他克莫司控释微球实现对大鼠的有效长期免疫抑制:对脊髓移植的人神经前体细胞存活的影响。
Exp Neurol. 2013 Oct;248:85-99. doi: 10.1016/j.expneurol.2013.05.017. Epub 2013 Jun 5.
5
Tacrolimus-Eluting Disk within the Allograft Enables Vascularized Composite Allograft Survival with Site-Specific Immunosuppression without Systemic Toxicity.移植物内他克莫司洗脱盘实现了带血管化复合组织同种异体移植物的存活,具有特定部位免疫抑制作用而无全身毒性。
Pharm Res. 2022 Sep;39(9):2179-2190. doi: 10.1007/s11095-022-03345-4. Epub 2022 Aug 2.
6
Tacrolimus monotherapy in liver transplantation: one-year results of a prospective, randomized, double-blind, placebo-controlled study.他克莫司单药治疗肝移植:一项前瞻性、随机、双盲、安慰剂对照研究的一年结果
Ann Surg. 2008 Dec;248(6):956-67. doi: 10.1097/SLA.0b013e31819009c9.
7
Validation of a liquid chromatography-mass spectrometric assay for tacrolimus in liver biopsies after hepatic transplantation: correlation with histopathologic staging of rejection.肝移植后肝活检中环孢素A液相色谱-质谱分析法的验证:与排斥反应组织病理学分期的相关性
Ther Drug Monit. 2007 Jun;29(3):340-8. doi: 10.1097/FTD.0b013e31805c73f1.
8
Tacrolimus and Single Intraoperative High-dose of Anti-T-lymphocyte Globulins Versus Tacrolimus Monotherapy in Adult Liver Transplantation: One-year Results of an Investigator-driven Randomized Controlled Trial.他克莫司和单次术中高剂量抗淋巴细胞球蛋白与他克莫司单药治疗成人肝移植:一项研究者驱动的随机对照试验的一年结果。
Ann Surg. 2018 Nov;268(5):776-783. doi: 10.1097/SLA.0000000000002943.
9
Long-term outcomes in pediatric liver recipients: comparison between cyclosporin A and tacrolimus.儿童肝移植受者的长期预后:环孢素A与他克莫司的比较。
Pediatr Transplant. 1999 Feb;3(1):22-6. doi: 10.1034/j.1399-3046.1999.00002.x.
10
Short- and Long-term Outcomes of De Novo Liver Transplant Patients Treated With Once-Daily Prolonged-Release Tacrolimus.接受每日一次缓释他克莫司治疗的初发肝移植患者的短期和长期预后
Transplant Direct. 2017 Aug 23;3(9):e207. doi: 10.1097/TXD.0000000000000722. eCollection 2017 Sep.

引用本文的文献

1
Reshaping transplantation with AI, emerging technologies and xenotransplantation.利用人工智能、新兴技术和异种移植重塑移植领域。
Nat Med. 2025 Jul 14. doi: 10.1038/s41591-025-03801-9.
2
Self-Healing COCu-Tac Hydrogel Enhances iNSCs Transplantation for Spinal Cord Injury by Promoting Mitophagy via the FKBP52/AKT Pathway.自修复COCu-Tac水凝胶通过FKBP52/AKT途径促进线粒体自噬增强诱导神经干细胞移植治疗脊髓损伤
Adv Sci (Weinh). 2025 Jan;12(3):e2407757. doi: 10.1002/advs.202407757. Epub 2024 Nov 25.
3
Sustained delivery of NT-3 and curcumin augments microenvironment modulation effects of decellularized spinal cord matrix hydrogel for spinal cord injury repair.

本文引用的文献

1
Selenium nanoparticles derived from YC801 alleviate oxidative stress and inflammatory response to promote nerve repair in rats with spinal cord injury.源自YC801的硒纳米颗粒可减轻氧化应激和炎症反应,以促进脊髓损伤大鼠的神经修复。
Regen Biomater. 2022 Jun 23;9:rbac042. doi: 10.1093/rb/rbac042. eCollection 2022.
2
Three-dimensional bioprinting sodium alginate/gelatin scaffold combined with neural stem cells and oligodendrocytes markedly promoting nerve regeneration after spinal cord injury.三维生物打印海藻酸钠/明胶支架联合神经干细胞和少突胶质细胞显著促进脊髓损伤后的神经再生。
Regen Biomater. 2022 Jun 6;9:rbac038. doi: 10.1093/rb/rbac038. eCollection 2022.
3
持续递送神经营养因子-3和姜黄素可增强去细胞脊髓基质水凝胶对脊髓损伤修复的微环境调节作用。
Regen Biomater. 2024 Apr 10;11:rbae039. doi: 10.1093/rb/rbae039. eCollection 2024.
4
A lipid/PLGA nanocomplex to reshape tumor immune microenvironment for colon cancer therapy.一种用于重塑肿瘤免疫微环境以治疗结肠癌的脂质/聚乳酸-羟基乙酸共聚物纳米复合物。
Regen Biomater. 2024 Mar 28;11:rbae036. doi: 10.1093/rb/rbae036. eCollection 2024.
Gold nanoclusters conjugated berberine reduce inflammation and alleviate neuronal apoptosis by mediating M2 polarization for spinal cord injury repair.
金纳米团簇偶联小檗碱通过介导M2极化减轻炎症并缓解神经元凋亡以促进脊髓损伤修复。
Regen Biomater. 2021 Dec 2;9:rbab072. doi: 10.1093/rb/rbab072. eCollection 2022.
4
Matrix Metalloproteinase-Responsive PEGylated Lipid Nanoparticles for Controlled Drug Delivery in the Treatment of Rheumatoid Arthritis.用于类风湿性关节炎治疗中药物控释的基质金属蛋白酶响应性聚乙二醇化脂质纳米粒
ACS Appl Bio Mater. 2020 May 18;3(5):3276-3284. doi: 10.1021/acsabm.0c00242. Epub 2020 Apr 21.
5
pH-Responsive doxorubicin delivery using shear-thinning biomaterials for localized melanoma treatment.利用剪切稀化生物材料实现 pH 响应性阿霉素递送,用于局部黑素瘤治疗。
Nanoscale. 2022 Jan 6;14(2):350-360. doi: 10.1039/d1nr05738c.
6
The role of regulatory T cells in liver transplantation.调节性 T 细胞在肝移植中的作用。
Transpl Immunol. 2022 Feb;70:101512. doi: 10.1016/j.trim.2021.101512. Epub 2021 Dec 3.
7
A DAMP-scavenging, IL-10-releasing hydrogel promotes neural regeneration and motor function recovery after spinal cord injury.一种去湿、释放 IL-10 的水凝胶促进脊髓损伤后的神经再生和运动功能恢复。
Biomaterials. 2022 Jan;280:121279. doi: 10.1016/j.biomaterials.2021.121279. Epub 2021 Nov 25.
8
Dual-Cues Laden Scaffold Facilitates Neurovascular Regeneration and Motor Functional Recovery After Complete Spinal Cord Injury.双线索负载支架促进完全性脊髓损伤后的神经血管再生和运动功能恢复。
Adv Healthc Mater. 2021 May;10(10):e2100089. doi: 10.1002/adhm.202100089. Epub 2021 Mar 19.
9
Effect of Short-Term Tacrolimus Exposure on Rat Liver: An Insight into Serum Antioxidant Status, Liver Lipid Peroxidation, and Inflammation.短期他克莫司暴露对大鼠肝脏的影响:对血清抗氧化状态、肝脂质过氧化和炎症的深入了解。
Mediators Inflamm. 2021 Feb 24;2021:6613786. doi: 10.1155/2021/6613786. eCollection 2021.
10
Local FK506 drug delivery enhances nerve regeneration through fresh, unprocessed peripheral nerve allografts.局部 FK506 药物递送通过新鲜的、未加工的周围神经同种异体移植物增强神经再生。
Exp Neurol. 2021 Jul;341:113680. doi: 10.1016/j.expneurol.2021.113680. Epub 2021 Mar 3.