Ekblad Mikael O, Ngum Peter, Merisaari Harri, Saunavaara Virva, Parkkola Riitta, Setänen Sirkku
Department of General Practice, Institute of Clinical Medicine, University of Turku and Turku University Hospital, Turku, Finland.
Turku Brain Injury Center, Turku University Hospital and University of Turku, Turku, Finland.
Front Hum Neurosci. 2023 Jan 5;16:1085986. doi: 10.3389/fnhum.2022.1085986. eCollection 2022.
Maternal smoking during pregnancy has been shown to associate with smaller frontal lobe and cerebellar volumes in brain magnetic resonance imaging (MRI) at term age in very preterm infants. The aim of this study was to examine the effect of maternal smoking during pregnancy on volumetric brain MRI findings at 13 years. We hypothesized that adverse effects of smoking during pregnancy on brain volumes are still seen during adolescence.
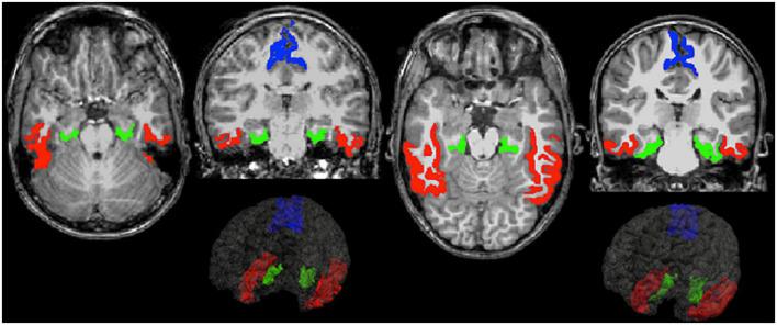
Included adolescents were born very preterm (gestational age < 32 weeks and/or birth weight ≤ 1,500 g) between April 2004 and December 2006 at the Turku University Hospital, Finland. Information on maternal smoking status (yes or no) during pregnancy was collected from medical records and maternal questionnaires before discharge. Adolescents underwent volumetric brain MRI at 13 years of age. Image post-processing was performed with FreeSurfer. Regional volumes, cortical thickness, surface area, and curvature were computed from 33 cortical regions of interest (ROIs). Additionally, volumes were calculated for 18 subcortical regions, as well as for white matter, gray matter, and intracranial volume. We normalized quantified absolute volumes for head size by dividing volumes with corresponding intracranial volumes. false discovery rate (FDR) correction for multiple comparisons across regions was used.
A total of 9/44 (21%) adolescents had been exposed to maternal smoking during pregnancy. No statistically significant differences in absolute volumes were observed between the groups ( > 0.05). Regarding volumes proportional to intracranial volume, the adolescents in the exposed group exhibited smaller gray matter volumes in the inferotemporal (FDR corrected = 0.022) and parahippocampal ( = 0.018) regions compared to the unexposed group. The surface area in the exposed group was also smaller in the parahippocampal ( = 0.046) and postcentral ( = 0.046) regions compared to the unexposed group. No statistically significant differences after correction for multiple comparisons were found for either curvature or cortical thickness between the groups.
Maternal smoking exposure during pregnancy may have long-term effects on brain volumes up to 13 years in adolescents born very preterm. Our findings emphasize the importance of smoking-free pregnancy.
孕期母亲吸烟已被证明与极早产儿足月时脑磁共振成像(MRI)中的额叶和小脑体积较小有关。本研究的目的是探讨孕期母亲吸烟对13岁时脑MRI体积测量结果的影响。我们假设孕期吸烟对脑容量的不良影响在青春期仍然可见。
纳入的青少年于2004年4月至2006年12月在芬兰图尔库大学医院极早产(胎龄<32周和/或出生体重≤1500g)出生。孕期母亲吸烟状况(是或否)的信息在出院前从病历和母亲问卷中收集。青少年在13岁时接受了脑MRI体积测量。使用FreeSurfer进行图像后处理。从33个皮质感兴趣区域(ROI)计算区域体积、皮质厚度、表面积和曲率。此外,还计算了18个皮质下区域以及白质、灰质和颅内体积的体积。我们通过将体积除以相应的颅内体积来对头部大小的量化绝对体积进行标准化。使用错误发现率(FDR)校正进行跨区域的多重比较。
共有9/44(21%)的青少年在孕期暴露于母亲吸烟。两组之间在绝对体积上未观察到统计学上的显著差异(>0.05)。关于与颅内体积成比例的体积,与未暴露组相比,暴露组青少年在颞下(FDR校正 = 0.022)和海马旁( = 0.018)区域的灰质体积较小。与未暴露组相比,暴露组在海马旁( = 0.046)和中央后( = 0.046)区域的表面积也较小。两组之间在多重比较校正后,曲率或皮质厚度均未发现统计学上的显著差异。
孕期母亲吸烟暴露可能对极早产出生的青少年长达13岁的脑容量有长期影响。我们的数据强调了无烟孕期的重要性。