• 文献检索
  • 文档翻译
  • 深度研究
  • 学术资讯
  • Suppr Zotero 插件Zotero 插件
  • 邀请有礼
  • 套餐&价格
  • 历史记录
应用&插件
Suppr Zotero 插件Zotero 插件浏览器插件Mac 客户端Windows 客户端微信小程序
定价
高级版会员购买积分包购买API积分包
服务
文献检索文档翻译深度研究API 文档MCP 服务
关于我们
关于 Suppr公司介绍联系我们用户协议隐私条款
关注我们

Suppr 超能文献

核心技术专利:CN118964589B侵权必究
粤ICP备2023148730 号-1Suppr @ 2026

文献检索

告别复杂PubMed语法,用中文像聊天一样搜索,搜遍4000万医学文献。AI智能推荐,让科研检索更轻松。

立即免费搜索

文件翻译

保留排版,准确专业,支持PDF/Word/PPT等文件格式,支持 12+语言互译。

免费翻译文档

深度研究

AI帮你快速写综述,25分钟生成高质量综述,智能提取关键信息,辅助科研写作。

立即免费体验

蚓激酶是一种纤溶酶,通过抑制 AP-1/ICAM-1 信号通路的激活,减弱成纤维细胞的迁移和黏附活性,从而预防腹腔粘连。

Lumbrokinase, a Fibrinolytic Enzyme, Prevents Intra-Abdominal Adhesion by Inhibiting the Migrative and Adhesive Activities of Fibroblast via Attenuation of the AP-1/ICAM-1 Signaling Pathway.

机构信息

Department of Obstetrics and Gynecology, Chung-Ang University School of Medicine, Seoul 06974, Republic of Korea.

Department of Physiology, Chung-Ang University School of Medicine, Seoul, Republic of Korea.

出版信息

Biomed Res Int. 2023 Jan 12;2023:4050730. doi: 10.1155/2023/4050730. eCollection 2023.

DOI:10.1155/2023/4050730
PMID:36685669
原文链接:https://pmc.ncbi.nlm.nih.gov/articles/PMC9851794/
Abstract

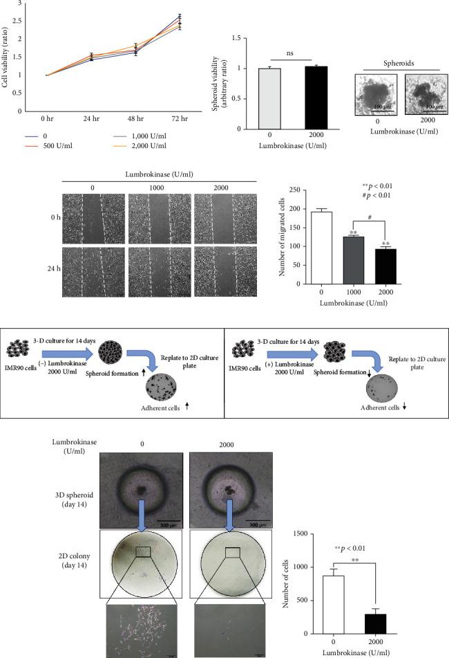
Intra-abdominal adhesion is a complication following abdominal surgery caused by the suppression of fibrinolytic activity and aggravated fibroblast invasion of the injured area, which may lead to chronic illnesses such as chronic pain, intestinal obstruction, and female infertility. This study hypothesized that lumbrokinase, a fibrinolytic enzyme extracted from the earthworm, supports the wound healing process. Therefore, we assessed the effect of lumbrokinase on intra-abdominal adhesion. Lumbrokinase treatment significantly decreased the severity and the area of intra-abdominal adhesion in a dose-dependent manner compared with the controls (untreated and hyaluronate-treated). Lumbrokinase-associated adverse effects were not observed. Immunohistochemical analysis of adhesion tissues revealed a loosened adhesive band between tissues, coupled with significantly decreased peritoneal thickening in the lumbrokinase-treated group versus the control group. Three-dimensional spheroid, MTT, and scratch wound migration assays using the IMR-90 human fibroblast cell line demonstrated that lumbrokinase significantly attenuated the migration and adhesive activity of fibroblasts without compromising cell proliferation. The luciferase assay and western blot analysis showed that lumbrokinase inhibited the AP-1/ICAM-1 cell adhesion signaling pathway. Therefore, lumbrokinase decreases intra-abdominal adhesion and peritoneal thickening by augmenting fibrinolytic action and inhibiting fibroblast migration and adhesive activity via attenuation of the AP-1/ICAM-1 signaling pathway. Lumbrokinase is thus a promising agent to prevent intra-abdominal adhesion.

摘要

腹腔粘连是腹部手术后的一种并发症,是由于纤溶活性受到抑制和纤维母细胞侵入受伤区域加重所致,可能导致慢性疼痛、肠梗阻和女性不孕等疾病。本研究假设从蚯蚓中提取的纤溶酶蚓激酶有助于伤口愈合过程。因此,我们评估了蚓激酶对腹腔粘连的影响。蚓激酶治疗组与对照组(未治疗组和透明质酸钠治疗组)相比,腹腔粘连的严重程度和面积呈剂量依赖性降低。未观察到与蚓激酶相关的不良反应。粘连组织的免疫组织化学分析显示,组织之间的粘合带变松,蚓激酶治疗组与对照组相比,腹膜增厚明显减少。使用 IMR-90 人成纤维细胞系进行的三维球体、MTT 和划痕伤口迁移试验表明,蚓激酶显著减弱了成纤维细胞的迁移和粘附活性,而不影响细胞增殖。荧光素酶测定和 Western blot 分析表明,蚓激酶通过抑制 AP-1/ICAM-1 细胞黏附信号通路来抑制纤溶酶原激活物抑制物-1 的活性。因此,蚓激酶通过增强纤溶作用和抑制纤维母细胞迁移和粘附活性来减少腹腔粘连和腹膜增厚,通过抑制 AP-1/ICAM-1 信号通路。因此,蚓激酶是一种有前途的预防腹腔粘连的药物。

https://cdn.ncbi.nlm.nih.gov/pmc/blobs/2daa/9851794/104c8524e65b/BMRI2023-4050730.004.jpg
https://cdn.ncbi.nlm.nih.gov/pmc/blobs/2daa/9851794/f90ecbcb5a0c/BMRI2023-4050730.001.jpg
https://cdn.ncbi.nlm.nih.gov/pmc/blobs/2daa/9851794/9536c0c82276/BMRI2023-4050730.002.jpg
https://cdn.ncbi.nlm.nih.gov/pmc/blobs/2daa/9851794/69692acaed37/BMRI2023-4050730.003.jpg
https://cdn.ncbi.nlm.nih.gov/pmc/blobs/2daa/9851794/104c8524e65b/BMRI2023-4050730.004.jpg
https://cdn.ncbi.nlm.nih.gov/pmc/blobs/2daa/9851794/f90ecbcb5a0c/BMRI2023-4050730.001.jpg
https://cdn.ncbi.nlm.nih.gov/pmc/blobs/2daa/9851794/9536c0c82276/BMRI2023-4050730.002.jpg
https://cdn.ncbi.nlm.nih.gov/pmc/blobs/2daa/9851794/69692acaed37/BMRI2023-4050730.003.jpg
https://cdn.ncbi.nlm.nih.gov/pmc/blobs/2daa/9851794/104c8524e65b/BMRI2023-4050730.004.jpg

相似文献

1
Lumbrokinase, a Fibrinolytic Enzyme, Prevents Intra-Abdominal Adhesion by Inhibiting the Migrative and Adhesive Activities of Fibroblast via Attenuation of the AP-1/ICAM-1 Signaling Pathway.蚓激酶是一种纤溶酶,通过抑制 AP-1/ICAM-1 信号通路的激活,减弱成纤维细胞的迁移和黏附活性,从而预防腹腔粘连。
Biomed Res Int. 2023 Jan 12;2023:4050730. doi: 10.1155/2023/4050730. eCollection 2023.
2
Intestinal Absorption of Fibrinolytic and Proteolytic Lumbrokinase Extracted from Earthworm, Eisenia andrei.从蚯蚓中提取的纤溶和蛋白水解地龙酶的肠道吸收。
Korean J Physiol Pharmacol. 2010 Apr;14(2):71-5. doi: 10.4196/kjpp.2010.14.2.71. Epub 2010 Apr 30.
3
Antithrombogenicity of lumbrokinase-immobilized polyurethane.固定化蚓激酶的聚氨酯的抗血栓形成性
J Biomed Mater Res. 1994 Sep;28(9):1069-77. doi: 10.1002/jbm.820280912.
4
Interleukin-1beta induces ICAM-1 expression enhancing leukocyte adhesion in human rheumatoid arthritis synovial fibroblasts: involvement of ERK, JNK, AP-1, and NF-kappaB.白细胞介素-1β诱导细胞间黏附分子-1 的表达,增强人类风湿关节炎滑膜成纤维细胞中的白细胞黏附:涉及 ERK、JNK、AP-1 和 NF-κB。
J Cell Physiol. 2010 Aug;224(2):516-26. doi: 10.1002/jcp.22153.
5
Inhibition of cyclooxygenase-2 prevents intra-abdominal adhesions by decreasing activity of peritoneal fibroblasts.抑制环氧化酶-2可通过降低腹膜成纤维细胞的活性来预防腹腔粘连。
Drug Des Devel Ther. 2015 Jun 15;9:3083-98. doi: 10.2147/DDDT.S80221. eCollection 2015.
6
Flavonoids inhibit tumor necrosis factor-alpha-induced up-regulation of intercellular adhesion molecule-1 (ICAM-1) in respiratory epithelial cells through activator protein-1 and nuclear factor-kappaB: structure-activity relationships.黄酮类化合物通过激活蛋白-1和核因子-κB抑制肿瘤坏死因子-α诱导的呼吸道上皮细胞细胞间黏附分子-1(ICAM-1)上调:构效关系
Mol Pharmacol. 2004 Sep;66(3):683-93. doi: 10.1124/mol.66.3..
7
Keratinocyte Growth Factor Combined with a Sodium Hyaluronate Gel Inhibits Postoperative Intra-Abdominal Adhesions.角质形成细胞生长因子联合透明质酸钠凝胶可抑制术后腹腔内粘连。
Int J Mol Sci. 2016 Sep 22;17(10):1611. doi: 10.3390/ijms17101611.
8
Lumbrokinase attenuates myocardial ischemia-reperfusion injury by inhibiting TLR4 signaling.蚓激酶通过抑制TLR4信号通路减轻心肌缺血再灌注损伤。
J Mol Cell Cardiol. 2016 Oct;99:113-122. doi: 10.1016/j.yjmcc.2016.08.004. Epub 2016 Aug 5.
9
Pirfenidone inhibits fibroblast proliferation, migration or adhesion and reduces epidural fibrosis in rats via the PI3K/AKT signaling pathway.吡非尼酮通过 PI3K/AKT 信号通路抑制成纤维细胞增殖、迁移或黏附,并减少大鼠硬膜外纤维化。
Biochem Biophys Res Commun. 2021 Apr 2;547:183-191. doi: 10.1016/j.bbrc.2021.01.055. Epub 2021 Feb 19.
10
Expression and regulation of adhesion molecules in cardiac cells by cytokines: response to acute hypoxia.细胞因子对心脏细胞黏附分子的表达及调控:对急性缺氧的反应
Circ Res. 1998 Mar 23;82(5):576-86. doi: 10.1161/01.res.82.5.576.

引用本文的文献

1
Therapeutic Potential of Lumbrokinase in Acute Ischemic Stroke: A Meta-Analysis of Efficacy and Safety.蚓激酶在急性缺血性卒中的治疗潜力:疗效与安全性的Meta分析
Ther Clin Risk Manag. 2025 Sep 4;21:1319-1331. doi: 10.2147/TCRM.S537232. eCollection 2025.
2
Natural serine proteases and their applications in combating amyloid formation.天然丝氨酸蛋白酶及其在对抗淀粉样蛋白形成中的应用。
ADMET DMPK. 2024 Nov 16;12(6):797-820. doi: 10.5599/admet.2551. eCollection 2024.
3
Leveraging Therapeutic Proteins and Peptides from Earthworms: Targeting SOCS2 E3 Ligase for Cardiovascular Therapy through Molecular Dynamics Simulations.

本文引用的文献

1
The potential of lumbrokinase and serratiopeptidase for the degradation of Aβ 1-42 peptide - an and approach.蚓激酶和糜蛋白酶在 Aβ 1-42 肽降解中的应用——一种酶法研究。
Int J Neurosci. 2024 Jun;134(2):112-123. doi: 10.1080/00207454.2022.2089137. Epub 2022 Jun 27.
2
DKK3, Downregulated in Invasive Epithelial Ovarian Cancer, Is Associated with Chemoresistance and Enhanced Paclitaxel Susceptibility via Inhibition of the β-Catenin-P-Glycoprotein Signaling Pathway.DKK3,在侵袭性上皮性卵巢癌中下调,通过抑制β-连环蛋白-P-糖蛋白信号通路与化疗耐药和增强紫杉醇敏感性相关。
Cancers (Basel). 2022 Feb 12;14(4):924. doi: 10.3390/cancers14040924.
3
利用蚯蚓中的治疗性蛋白质和肽:通过分子动力学模拟靶向 SOCS2 E3 连接酶用于心血管治疗。
Int J Mol Sci. 2024 Oct 8;25(19):10818. doi: 10.3390/ijms251910818.
4
Lumbrokinase Extracted from Synergizes with Bevacizumab and Chemotherapeutics in Treating Non-Small Cell Lung Cancer by Targeted Inactivation of BPTF/VEGF and NF-κB/COX-2 Signaling.蚓激酶从协同作用与贝伐珠单抗和化疗药物在治疗非小细胞肺癌通过靶向失活的 BPTF/VEGF 和 NF-κB/COX-2 信号通路。
Biomolecules. 2024 Jun 23;14(7):741. doi: 10.3390/biom14070741.
5
Maggot Kinase and Natural Thrombolytic Proteins.蛆激酶与天然溶栓蛋白
ACS Omega. 2024 May 2;9(20):21768-21779. doi: 10.1021/acsomega.4c01663. eCollection 2024 May 21.
6
Promoted Skin Wound Healing by Tail-Amputated Proteins via the Ras/Raf/MEK/ERK Signaling Pathway.经 Ras/Raf/MEK/ERK 信号通路,尾部截肢蛋白促进皮肤伤口愈合。
ACS Omega. 2023 Apr 5;8(15):13935-13943. doi: 10.1021/acsomega.3c00317. eCollection 2023 Apr 18.
Post-Operative Adhesions: A Comprehensive Review of Mechanisms.
术后粘连:机制的全面综述
Biomedicines. 2021 Jul 22;9(8):867. doi: 10.3390/biomedicines9080867.
4
Emerging Functions of ICAM-1 in Macrophage Efferocytosis and Wound Healing.细胞间黏附分子-1在巨噬细胞吞噬作用和伤口愈合中的新功能
J Cell Immunol. 2020;2(5):250-253. doi: 10.33696/immunology.2.051.
5
Membrane-bottomed microwell array added to Transwell insert to facilitate non-contact co-culture of spermatogonial stem cell and STO feeder cell.在 Transwell 插入物中添加膜底微井阵列,以促进精原干细胞和 STO 饲养细胞的非接触共培养。
Biofabrication. 2020 Sep 25;12(4):045031. doi: 10.1088/1758-5090/abb529.
6
Adhesion-related readmissions after open and laparoscopic surgery: a retrospective cohort study (SCAR update).开放和腹腔镜手术后与粘连相关的再入院:一项回顾性队列研究(SCAR 更新)。
Lancet. 2020 Jan 4;395(10217):33-41. doi: 10.1016/S0140-6736(19)32636-4.
7
Postoperative adhesions in gynecologic surgery: a committee opinion.妇科手术后粘连:委员会意见。
Fertil Steril. 2019 Sep;112(3):458-463. doi: 10.1016/j.fertnstert.2019.06.027.
8
The effect of earthworm extract on promoting skin wound healing.蚯蚓提取物促进皮肤伤口愈合的效果。
Biosci Rep. 2018 Apr 20;38(2). doi: 10.1042/BSR20171366. Print 2018 Apr 26.
9
Sex-specific reference intervals of hematologic and biochemical analytes in Sprague-Dawley rats using the nonparametric rank percentile method.使用非参数秩百分比法确定的斯普拉格-道利大鼠血液学和生化分析物的性别特异性参考区间。
PLoS One. 2017 Dec 20;12(12):e0189837. doi: 10.1371/journal.pone.0189837. eCollection 2017.
10
Role of liver ICAM-1 in metastasis.肝脏细胞间黏附分子-1在转移中的作用。
Oncol Lett. 2017 Oct;14(4):3883-3892. doi: 10.3892/ol.2017.6700. Epub 2017 Aug 2.