Suppr超能文献

确定肽序列和构象有助于了解酸奶中主要过敏原的潜在致敏性。

Identification of peptides sequence and conformation contributed to potential allergenicity of main allergens in yogurts.

作者信息

Huang Meijia, Yang Fan, Wu Yong, Meng Xuanyi, Shi Linbo, Chen Hongbing, Li Xin

机构信息

State Key Laboratory of Food Science and Technology, Nanchang University, Nanchang, China.

School of Food Science and Technology, Nanchang University, Nanchang, China.

出版信息

Front Nutr. 2023 Jan 5;9:1038466. doi: 10.3389/fnut.2022.1038466. eCollection 2022.

Abstract

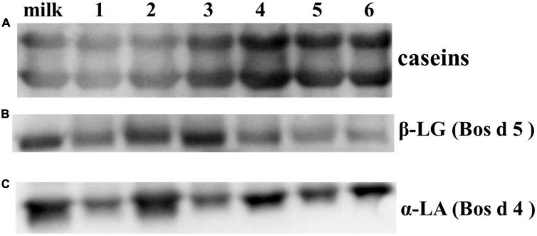
Yogurts provide a good source of nutrition and may induce tolerance in people with cow's milk allergy (CMA). This study aimed to investigate the IgE-binding capacity of main allergens in the different yogurts which provide a reference for people with a high risk of CMA, and analyze the epitopes of major allergen peptides in yogurt. We assessed the degradation and the allergenic properties of major allergens in six commercial yogurts and fresh milk. The degradation of major allergens was analyzed by SDS-PAGE and RP-HPLC. Western blot and ELISA experiments detected allergenic characteristics by using specific sera. The results showed that β-lactoglobulin (Bos d 5) and α-lactalbumin (Bos d 4) were obviously degraded in yogurts but caseins were still present in abundance, which indicated that the proteases in yogurts were specific to whey proteins. IgE and IgG binding ability of major allergens were obviously reduced in yogurts, especially GuMi yogurt. In addition, 17 peptides of major allergens in GuMi yogurt were identified by LC-MS/MS and most of them were located in the interior of the spatial structure of proteins. Among them, 8 peptides had specific biological functions for health benefits, such as antibacterial, antioxidant, and ACE-inhibitory. We also found that 6 and 14 IgE epitopes of Bos d 5 and caseins were destroyed in GuMi yogurt, which could lead to the reduction of IgE-binding capacity. Meanwhile, peptides [Bos d 5 (AA15-40), Bos d 9 (AA120-151, AA125-151)] also preserved T cell epitopes, which might also induce the development of oral tolerance. Therefore, this study suggested that the sequence and conformation of peptides in yogurts contributed to hypoallergenicity.

摘要

酸奶是良好的营养来源,可能诱导牛奶过敏(CMA)患者产生耐受性。本研究旨在探究不同酸奶中主要过敏原的IgE结合能力,为CMA高危人群提供参考,并分析酸奶中主要过敏原肽的表位。我们评估了六种市售酸奶和新鲜牛奶中主要过敏原的降解情况及致敏特性。通过SDS-PAGE和RP-HPLC分析主要过敏原的降解情况。采用特异性血清,通过蛋白质印迹法和酶联免疫吸附测定实验检测致敏特性。结果表明,酸奶中的β-乳球蛋白(Bos d 5)和α-乳白蛋白(Bos d 4)明显降解,但酪蛋白仍大量存在,这表明酸奶中的蛋白酶对乳清蛋白具有特异性。酸奶中主要过敏原的IgE和IgG结合能力明显降低,尤其是谷米酸奶。此外,通过LC-MS/MS鉴定了谷米酸奶中主要过敏原的17种肽,其中大部分位于蛋白质空间结构内部。其中,8种肽具有抗菌、抗氧化和抑制血管紧张素转换酶等对健康有益的特定生物学功能。我们还发现,谷米酸奶中Bos d 5和酪蛋白的6个和14个IgE表位被破坏,这可能导致IgE结合能力降低。同时,肽[Bos d 5(AA15 - 40),Bos d 9(AA120 - 151,AA125 - 151)]也保留了T细胞表位,这也可能诱导口服耐受性的发展。因此,本研究表明酸奶中肽的序列和构象有助于降低致敏性。

https://cdn.ncbi.nlm.nih.gov/pmc/blobs/7e4f/9849743/af98991733ed/fnut-09-1038466-g001.jpg

文献AI研究员

20分钟写一篇综述,助力文献阅读效率提升50倍。

立即体验

用中文搜PubMed

大模型驱动的PubMed中文搜索引擎

马上搜索

文档翻译

学术文献翻译模型,支持多种主流文档格式。

立即体验