Suppr超能文献

卷曲蛋白 7 调节杯状细胞和潘氏细胞的命运,并维持小鼠肠道内的稳态。

Frizzled 7 modulates goblet and Paneth cell fate, and maintains homeostasis in mouse intestine.

机构信息

The PhD Program for Translational Medicine, College of Medical Science and Technology, Taipei Medical University and Academia Sinica, Taipei 11529, Taiwan.

Graduate Institute of Cancer Biology and Drug Discovery, College of Medical Science and Technology, Taipei Medical University, Taipei 11031, Taiwan.

出版信息

Development. 2023 Feb 15;150(4). doi: 10.1242/dev.200932. Epub 2023 Feb 14.

Abstract

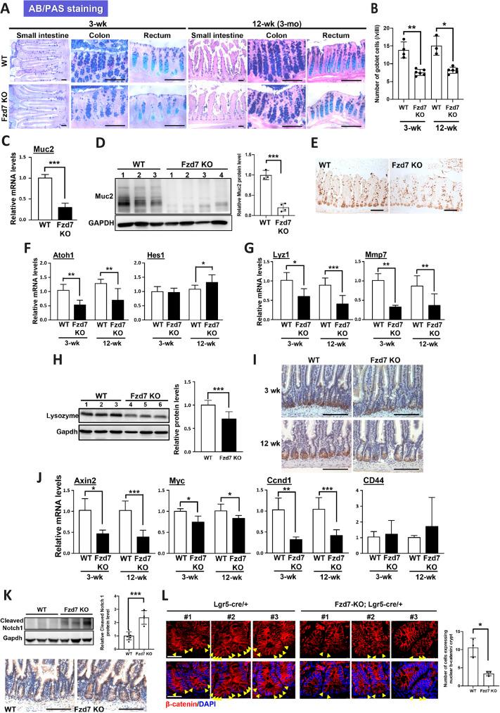
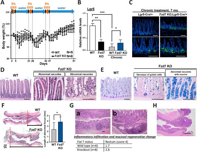
Intestinal homeostasis depends on interactions between the intestinal epithelium, the immune system and the microbiota. Because of these complicated connections, there are many problems that need to be solved. Current research has indicated that genes targeted by Wnt signaling are responsible for controlling intestinal stem cell fate and for modulating intestinal homeostasis. Our data show that loss of frizzled 7 (Fzd7), an important element in Wnt signaling, interrupts the differentiation of mouse intestinal stem cells into absorptive progenitors instead of secretory progenitors (precursors of goblet and Paneth cells). The alteration in canonical Wnt and Notch signaling pathways interrupts epithelial homeostasis, resulting in a decrease in physical protection in the intestine. Several phenotypes in our Fzd7-deleted model were similar to the features of enterocolitis, such as shortened intestines, decreased numbers of goblet cells and Paneth cells, and severe inflammation. Additionally, loss of Fzd7 exacerbated the defects in a chemical-induced colitis model and could initiate tumorigenesis. These findings may provide important information for the discovery of efficient therapeutic methods to treat enterocolitis and related cancers in the intestines.

摘要

肠道内稳态依赖于肠上皮细胞、免疫系统和微生物群之间的相互作用。由于这些复杂的联系,存在许多需要解决的问题。目前的研究表明,Wnt 信号传导靶向的基因负责控制肠干细胞命运,并调节肠道内稳态。我们的数据表明,缺失 frizzled 7(Wnt 信号传导的重要组成部分)会中断小鼠肠干细胞向吸收祖细胞而不是分泌祖细胞(杯状细胞和潘氏细胞的前体)的分化。经典 Wnt 和 Notch 信号通路的改变会破坏上皮内稳态,导致肠道的物理保护减少。我们的 Fzd7 缺失模型中的几个表型与肠炎的特征相似,如肠变短、杯状细胞和潘氏细胞数量减少以及严重的炎症。此外,Fzd7 的缺失会加剧化学诱导的结肠炎模型中的缺陷,并可能引发肿瘤发生。这些发现可能为发现有效治疗方法以治疗肠道内的肠炎和相关癌症提供重要信息。

https://cdn.ncbi.nlm.nih.gov/pmc/blobs/b378/10112897/631da28e4137/develop-150-200932-g1.jpg

文献检索

告别复杂PubMed语法,用中文像聊天一样搜索,搜遍4000万医学文献。AI智能推荐,让科研检索更轻松。

立即免费搜索

文件翻译

保留排版,准确专业,支持PDF/Word/PPT等文件格式,支持 12+语言互译。

免费翻译文档

深度研究

AI帮你快速写综述,25分钟生成高质量综述,智能提取关键信息,辅助科研写作。

立即免费体验