Suppr超能文献

冠状动脉钙化数据与报告系统(CAC-DRS):入门指南。

Coronary Artery Calcium Data and Reporting System (CAC-DRS): A Primer.

作者信息

Kumar Parveen, Bhatia Mona

机构信息

Department of Radiodiagnosis & Imaging, Fortis Escort Heart Institute, New Delhi, India.

出版信息

J Cardiovasc Imaging. 2023 Jan;31(1):1-17. doi: 10.4250/jcvi.2022.0029.

Abstract

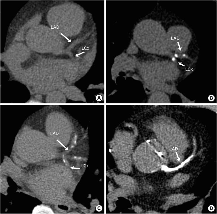
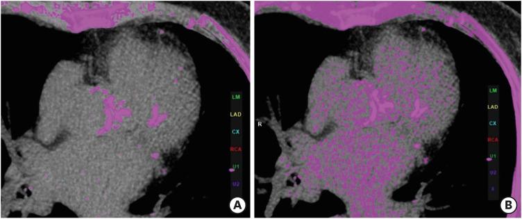
The Coronary Artery Calcium Data and Reporting System (CAC-DRS) is a standardized reporting method for calcium scoring on computed tomography. CAC-DRS is applied on a per-patient basis and represents the total calcium score with the number of vessels involved. There are 4 risk categories ranging from CAC-DRS 0 to CAC-DRS 3. CAC-DRS also provides risk prediction and treatment recommendations for each category. The main strengths of CAC-DRS include a detailed and meaningful representation of CAC, improved communication between physicians, risk stratification, appropriate treatment recommendations, and uniform data collection, which provides a framework for education and research. The major limitations of CAC-DRS include a few missing components, an overly simple visual approach without any standard reference, and treatment recommendations lacking a basis in clinical trials. This consistent yet straightforward method has the potential to systemize CAC scoring in both gated and non-gated scans.

摘要

冠状动脉钙化数据与报告系统(CAC-DRS)是一种用于计算机断层扫描中钙化评分的标准化报告方法。CAC-DRS是针对每位患者应用的,代表累及血管数量的总钙化评分。有4个风险类别,范围从CAC-DRS 0到CAC-DRS 3。CAC-DRS还为每个类别提供风险预测和治疗建议。CAC-DRS的主要优势包括对冠状动脉钙化进行详细且有意义的呈现、改善医生之间的沟通、风险分层、恰当的治疗建议以及统一的数据收集,这为教育和研究提供了一个框架。CAC-DRS的主要局限性包括一些缺失的部分、过于简单的视觉方法且没有任何标准参考,以及缺乏临床试验依据的治疗建议。这种一致且直接的方法有可能使门控和非门控扫描中的冠状动脉钙化评分系统化。

https://cdn.ncbi.nlm.nih.gov/pmc/blobs/945d/9880346/d2471e1c751f/jcvi-31-1-g001.jpg

文献检索

告别复杂PubMed语法,用中文像聊天一样搜索,搜遍4000万医学文献。AI智能推荐,让科研检索更轻松。

立即免费搜索

文件翻译

保留排版,准确专业,支持PDF/Word/PPT等文件格式,支持 12+语言互译。

免费翻译文档

深度研究

AI帮你快速写综述,25分钟生成高质量综述,智能提取关键信息,辅助科研写作。

立即免费体验