Suppr超能文献

同步原发性恶性肿瘤患者的单中心研究:病例系列

A Single-Center Study of Patients With Synchronous Primary Malignancy: A Case Series.

作者信息

Alsulaimani Abeer I, Alkhaldi Layla M, AlTawairqi Sheikha A, Khurshid Arif, Abdulaziz Hamma A, Alotaibi Abdulrahman G, Alotaibi Haifa O

机构信息

Medicine, Taif University, Taif, SAU.

General Surgery, Alhada Military Hospital, Taif, SAU.

出版信息

Cureus. 2022 Dec 22;14(12):e32839. doi: 10.7759/cureus.32839. eCollection 2022 Dec.

Abstract

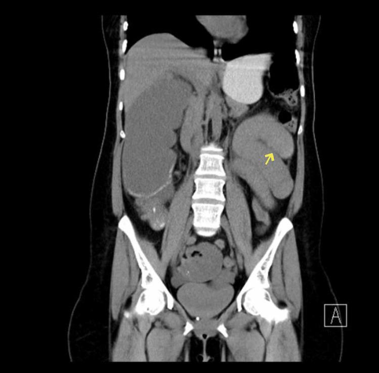
Multiple primary malignant tumors (MPMT) can be defined as more than two different tumors synchronously or metachronously forming in the same organ or different organs. The incidence of MPMTs varies dramatically between antemortem and postmortem examinations, becoming a serious medical issue. Evidence shows that the overall incidence of MPMTs is between 2.4% and 17%. Double primary malignancy (DPM) is considered the most common type of MPMT. In this case series, we present three cases of MPMT. The first case involved the colon and the breast, the second case involved the colon and the kidney, and the third case involved rectum and kidney.

摘要

多原发性恶性肿瘤(MPMT)可定义为在同一器官或不同器官中同步或异时形成的两种以上不同肿瘤。MPMT的发病率在生前检查和死后检查之间差异很大,成为一个严重的医学问题。证据表明,MPMT的总体发病率在2.4%至17%之间。双原发性恶性肿瘤(DPM)被认为是MPMT最常见的类型。在本病例系列中,我们呈现了3例MPMT病例。第一例涉及结肠和乳腺,第二例涉及结肠和肾脏,第三例涉及直肠和肾脏。

https://cdn.ncbi.nlm.nih.gov/pmc/blobs/2e6e/9867554/263b6d7d8123/cureus-0014-00000032839-i01.jpg

相似文献

1
A Single-Center Study of Patients With Synchronous Primary Malignancy: A Case Series.
Cureus. 2022 Dec 22;14(12):e32839. doi: 10.7759/cureus.32839. eCollection 2022 Dec.
2
High incidence combination of multiple primary malignant tumors of the digestive system.
World J Gastroenterol. 2022 Nov 7;28(41):5982-5992. doi: 10.3748/wjg.v28.i41.5982.
3
Clinical analysis of multiple primary gastrointestinal malignant tumors: A 10-year case review of a single-center.
World J Gastrointest Oncol. 2024 Apr 15;16(4):1204-1212. doi: 10.4251/wjgo.v16.i4.1204.
4
7
Multiple Primary Malignancies in Patients with Gynecologic Cancer.
J Clin Med. 2021 Dec 26;11(1):115. doi: 10.3390/jcm11010115.
8
Multiple primary malignant tumors (MPMT): study of 68 autopsy cases (1963-1980).
J Am Geriatr Soc. 1982 Dec;30(12):744-53. doi: 10.1111/j.1532-5415.1982.tb03364.x.

引用本文的文献

1
Synchronous presentation of Hodgkin lymphoma and papillary thyroid carcinoma in a young patient: a case review.
J Surg Case Rep. 2025 Jun 10;2025(6):rjaf398. doi: 10.1093/jscr/rjaf398. eCollection 2025 Jun.
2
Synchronous Breast and Colorectal Malignant Tumors-A Systematic Review.
Life (Basel). 2024 Aug 13;14(8):1008. doi: 10.3390/life14081008.

本文引用的文献

2
Lynch Syndrome: Its Impact on Urothelial Carcinoma.
Int J Mol Sci. 2021 Jan 7;22(2):531. doi: 10.3390/ijms22020531.
3
4
Case Report: Synchronous primary malignancy including the breast and endometrium.
F1000Res. 2017 Aug 17;6:1502. doi: 10.12688/f1000research.11971.3. eCollection 2017.
5
Multiple primary tumours: challenges and approaches, a review.
ESMO Open. 2017 May 2;2(2):e000172. doi: 10.1136/esmoopen-2017-000172. eCollection 2017.
7
Clinical retrospective analysis of cases with multiple primary malignant neoplasms.
Genet Mol Res. 2014 Mar 12;13(4):9271-84. doi: 10.4238/2014.March.12.19.
8
Clinical characteristics of colorectal cancer patients with a second primary cancer.
Ann Coloproctol. 2014 Feb;30(1):18-22. doi: 10.3393/ac.2014.30.1.18. Epub 2014 Feb 28.
9
Synchronous breast and colon cancer: factors determining treatment strategy.
BMJ Case Rep. 2013 Jul 10;2013:bcr2013009450. doi: 10.1136/bcr-2013-009450.
10
Coexistence of colonic carcinoma, renal cell carcinoma and gastrointestinal stromal tumour-A case report.
Int J Surg Case Rep. 2010;1(2):16-8. doi: 10.1016/j.ijscr.2010.06.002. Epub 2010 Nov 9.

文献AI研究员

20分钟写一篇综述,助力文献阅读效率提升50倍。

立即体验

用中文搜PubMed

大模型驱动的PubMed中文搜索引擎

马上搜索

文档翻译

学术文献翻译模型,支持多种主流文档格式。

立即体验