Suppr超能文献

肌动蛋白丝通过 I-BAR 结构域蛋白 IRSp53 将突起尖端与核连接起来,从而促进细胞在一维纤维上的迁移。

Actin Filaments Couple the Protrusive Tips to the Nucleus through the I-BAR Domain Protein IRSp53 during the Migration of Cells on 1D Fibers.

机构信息

Department of Mechanical Engineering, Virginia Tech, Blacksburg, VA, 24061, USA.

Department of Chemical and Biological Physics, Weizmann Institute of Science, Rehovot, 7610001, Israel.

出版信息

Adv Sci (Weinh). 2023 Mar;10(7):e2207368. doi: 10.1002/advs.202207368. Epub 2023 Jan 25.

Abstract

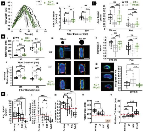
The cell migration cycle, well-established in 2D, proceeds with forming new protrusive structures at the cell membrane and subsequent redistribution of contractile machinery. Three-dimensional (3D) environments are complex and composed of 1D fibers, and 1D fibers are shown to recapitulate essential features of 3D migration. However, the establishment of protrusive activity at the cell membrane and contractility in 1D fibrous environments remains partially understood. Here the role of membrane curvature regulator IRSp53 is examined as a coupler between actin filaments and plasma membrane during cell migration on single, suspended 1D fibers. IRSp53 depletion reduced cell-length spanning actin stress fibers that originate from the cell periphery, protrusive activity, and contractility, leading to uncoupling of the nucleus from cellular movements. A theoretical model capable of predicting the observed transition of IRSp53-depleted cells from rapid stick-slip migration to smooth and slower migration due to reduced actin polymerization at the cell edges is developed, which is verified by direct measurements of retrograde actin flow using speckle microscopy. Overall, it is found that IRSp53 mediates actin recruitment at the cellular tips leading to the establishment of cell-length spanning fibers, thus demonstrating a unique role of IRSp53 in controlling cell migration in 3D.

摘要

细胞迁移周期在 2D 中已经得到很好的建立,其过程是在细胞膜上形成新的突起结构,随后重新分配收缩机制。三维(3D)环境复杂,由一维纤维组成,一维纤维被证明可以重现 3D 迁移的基本特征。然而,在细胞膜上建立突起活性和在 1D 纤维状环境中的收缩性仍然部分未知。在这里,研究了膜曲率调节剂 IRSp53 在细胞迁移过程中作为在单个悬浮 1D 纤维上的肌动蛋白丝和质膜之间的连接物的作用。IRSp53 的耗竭减少了源自细胞边缘的细胞长度跨越的肌动蛋白应力纤维,突起活性和收缩性,导致核与细胞运动解耦。开发了一个能够预测观察到的 IRSp53 耗尽细胞从快速粘滑迁移到由于细胞边缘的肌动蛋白聚合减少而变得平滑和更慢的迁移的转变的理论模型,该模型通过使用斑点显微镜直接测量逆行肌动蛋白流来验证。总体而言,发现 IRSp53 在细胞尖端募集肌动蛋白,从而建立细胞长度跨越的纤维,因此证明了 IRSp53 在控制 3D 中细胞迁移方面的独特作用。

https://cdn.ncbi.nlm.nih.gov/pmc/blobs/2cad/9982589/a2f502df35ca/ADVS-10-2207368-g009.jpg

文献检索

告别复杂PubMed语法,用中文像聊天一样搜索,搜遍4000万医学文献。AI智能推荐,让科研检索更轻松。

立即免费搜索

文件翻译

保留排版,准确专业,支持PDF/Word/PPT等文件格式,支持 12+语言互译。

免费翻译文档

深度研究

AI帮你快速写综述,25分钟生成高质量综述,智能提取关键信息,辅助科研写作。

立即免费体验