• 文献检索
  • 文档翻译
  • 深度研究
  • 学术资讯
  • Suppr Zotero 插件Zotero 插件
  • 邀请有礼
  • 套餐&价格
  • 历史记录
应用&插件
Suppr Zotero 插件Zotero 插件浏览器插件Mac 客户端Windows 客户端微信小程序
定价
高级版会员购买积分包购买API积分包
服务
文献检索文档翻译深度研究API 文档MCP 服务
关于我们
关于 Suppr公司介绍联系我们用户协议隐私条款
关注我们

Suppr 超能文献

核心技术专利:CN118964589B侵权必究
粤ICP备2023148730 号-1Suppr @ 2026

文献检索

告别复杂PubMed语法,用中文像聊天一样搜索,搜遍4000万医学文献。AI智能推荐,让科研检索更轻松。

立即免费搜索

文件翻译

保留排版,准确专业,支持PDF/Word/PPT等文件格式,支持 12+语言互译。

免费翻译文档

深度研究

AI帮你快速写综述,25分钟生成高质量综述,智能提取关键信息,辅助科研写作。

立即免费体验

上颌切牙的外科根管治疗:病例报告

Surgical endodontic treatment of maxillary incisors: Case report.

作者信息

Almansour Moazzy I

机构信息

Department of Restorative Dental Science, Collage of Dentistry University of Ha'il Saudi Arabia.

出版信息

Clin Case Rep. 2023 Jan 20;11(1):e6884. doi: 10.1002/ccr3.6884. eCollection 2023 Jan.

DOI:10.1002/ccr3.6884
PMID:36698516
原文链接:https://pmc.ncbi.nlm.nih.gov/articles/PMC9860134/
Abstract

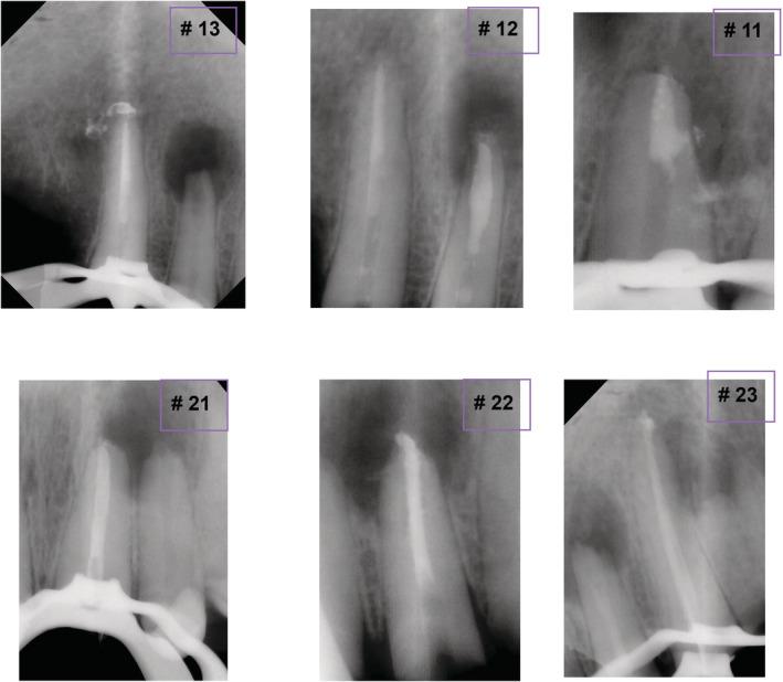
This study aims to highlight the possibility of an effective endodontic surgical surgery when nonsurgical treatment of the right maxillary anterior teeth has failed. One year after the apicoectomy, the periapical lesion has completely healed, new bone has formed, and the patient is symptom-free.

摘要

本研究旨在强调当右上颌前牙非手术治疗失败时,进行有效的牙髓外科手术的可能性。根尖切除术后一年,根尖周病变已完全愈合,新骨形成,患者无症状。

https://cdn.ncbi.nlm.nih.gov/pmc/blobs/a4fe/9860134/ee715a73e581/CCR3-11-e6884-g002.jpg
https://cdn.ncbi.nlm.nih.gov/pmc/blobs/a4fe/9860134/5a3dda792e6d/CCR3-11-e6884-g001.jpg
https://cdn.ncbi.nlm.nih.gov/pmc/blobs/a4fe/9860134/f6dbdac6846f/CCR3-11-e6884-g003.jpg
https://cdn.ncbi.nlm.nih.gov/pmc/blobs/a4fe/9860134/e82e328a7cf4/CCR3-11-e6884-g004.jpg
https://cdn.ncbi.nlm.nih.gov/pmc/blobs/a4fe/9860134/ee715a73e581/CCR3-11-e6884-g002.jpg
https://cdn.ncbi.nlm.nih.gov/pmc/blobs/a4fe/9860134/5a3dda792e6d/CCR3-11-e6884-g001.jpg
https://cdn.ncbi.nlm.nih.gov/pmc/blobs/a4fe/9860134/f6dbdac6846f/CCR3-11-e6884-g003.jpg
https://cdn.ncbi.nlm.nih.gov/pmc/blobs/a4fe/9860134/e82e328a7cf4/CCR3-11-e6884-g004.jpg
https://cdn.ncbi.nlm.nih.gov/pmc/blobs/a4fe/9860134/ee715a73e581/CCR3-11-e6884-g002.jpg

相似文献

1
Surgical endodontic treatment of maxillary incisors: Case report.上颌切牙的外科根管治疗:病例报告
Clin Case Rep. 2023 Jan 20;11(1):e6884. doi: 10.1002/ccr3.6884. eCollection 2023 Jan.
2
A nonsurgical endodontic treatment in open-apex and immature teeth affected by dens invaginatus: using a collagen membrane as an apical barrier.非手术性根管治疗在伴有窦道型牙内陷的未完全萌出和根尖敞开的年轻恒牙中的应用:使用胶原膜作为根尖屏障。
J Am Dent Assoc. 2012 Feb;143(2):144-8. doi: 10.14219/jada.archive.2012.0124.
3
Surgical Management of a Large Endodontic Periapical Lesion With Bone Putty and Platelet-Rich Fibrin: A Case Report With a Two-Year Volumetric Follow-Up.使用骨糊剂和富血小板纤维蛋白对大型牙髓根尖周病变进行手术治疗:一项为期两年容积随访的病例报告
Cureus. 2024 Sep 13;16(9):e69355. doi: 10.7759/cureus.69355. eCollection 2024 Sep.
4
Outcome of orthograde retreatment after failed apicoectomy: use of a mineral trioxide aggregate apical plug.根尖切除术失败后进行的顺行再治疗的结果:使用三氧化矿物凝聚体根尖充填物。
J Endod. 2015 May;41(5):613-20. doi: 10.1016/j.joen.2015.01.002. Epub 2015 Feb 18.
5
Management of a Previously Treated, Calcified, and Dilacerated Maxillary Lateral Incisor: A Combined Nonsurgical/Surgical Approach Assisted by Cone-beam Computed Tomography.一颗曾接受治疗的、钙化且弯曲的上颌侧切牙的处理:一种在锥形束计算机断层扫描辅助下的非手术/手术联合方法
J Endod. 2016 Jun;42(6):984-8. doi: 10.1016/j.joen.2016.03.020. Epub 2016 Apr 29.
6
Periapical Bone Healing after Apicectomy with and without Retrograde Root Filling with Mineral Trioxide Aggregate: A 6-year Follow-up of a Randomized Controlled Trial.使用和不使用三氧化矿物凝聚体进行根尖倒充填的根尖切除术后根尖周骨愈合情况:一项随机对照试验的6年随访
J Endod. 2016 Apr;42(4):533-7. doi: 10.1016/j.joen.2016.01.011. Epub 2016 Feb 19.
7
Healing and Spontaneous Realignment of Displaced Roots With Periapical Granuloma After Microsurgical Endodontic Treatment (Three Years' Follow-up): A Case Report.显微外科根管治疗后根尖肉芽肿伴移位牙根的愈合与自发复位(三年随访):病例报告
Cureus. 2024 Jan 10;16(1):e52020. doi: 10.7759/cureus.52020. eCollection 2024 Jan.
8
Nonsurgical endodontic treatment of teeth associated with large periapical lesion using triple antibiotic paste and mineral trioxide aggregate apical plug: A case series.使用三联抗生素糊剂和矿物三氧化物凝聚体根尖充填物对伴有大根尖周病变的牙齿进行非手术根管治疗:病例系列
J Conserv Dent. 2017 Mar-Apr;20(2):141-145. doi: 10.4103/0972-0707.212232.
9
Avulsed immature permanent central incisors obturated with mineral trioxide aggregate: a case report.用三氧化矿物凝聚体充填的脱位未成熟恒中切牙:一例报告
J Int Oral Health. 2013 Jun;5(3):88-96. Epub 2013 Jun 23.
10
Nonsurgical endodontic management of mandibular first premolar with incomplete root-end resection.下颌第一前磨牙牙根尖切除不完整的非手术牙髓治疗管理
Clin Case Rep. 2020 Nov 29;9(1):437-444. doi: 10.1002/ccr3.3551. eCollection 2021 Jan.

本文引用的文献

1
Long-Term Prognosis of Endodontic Microsurgery-A Systematic Review and Meta-Analysis.根管显微镜手术的长期预后:系统评价和荟萃分析。
Medicina (Kaunas). 2020 Sep 3;56(9):447. doi: 10.3390/medicina56090447.
2
Outcome of Endodontic Surgery: A Meta-analysis of the Literature-Part 3: Comparison of Endodontic Microsurgical Techniques with 2 Different Root-end Filling Materials.根管外科手术的结果:文献的荟萃分析-第 3 部分:两种不同根管填充材料的根管显微外科技术比较。
J Endod. 2018 Jun;44(6):923-931. doi: 10.1016/j.joen.2018.02.021. Epub 2018 Apr 19.
3
Endodontics, Endodontic Retreatment, and Apical Surgery Versus Tooth Extraction and Implant Placement: A Systematic Review.
牙髓学、牙髓再治疗和根尖手术与拔牙和种植体放置的比较:系统评价。
J Endod. 2017 May;43(5):679-686. doi: 10.1016/j.joen.2017.01.004. Epub 2017 Mar 23.
4
Surgical endodontic management of infected lateral canals of maxillary incisors.上颌切牙感染侧支根管的外科牙髓治疗
Restor Dent Endod. 2015 Feb;40(1):79-84. doi: 10.5395/rde.2015.40.1.79. Epub 2014 Oct 10.
5
Cone-beam computed tomography analysis of the vestibular surgical pathway to the palatine root of the maxillary first molar.上颌第一磨牙腭根前庭手术入路的锥形束计算机断层扫描分析
Eur J Dent. 2013 Jan;7(1):35-40.
6
Modern endodontic surgery concepts and practice: a review.现代牙髓外科的概念与实践:综述
J Endod. 2006 Jul;32(7):601-23. doi: 10.1016/j.joen.2005.12.010. Epub 2006 May 6.
7
Consequences of and strategies to deal with residual post-treatment root canal infection.治疗后根管残余感染的后果及应对策略
Int Endod J. 2006 May;39(5):343-56. doi: 10.1111/j.1365-2591.2006.01092.x.
8
The outcome of endodontic retreatment: a 2-yr follow-up.根管再治疗的结果:2年随访
J Endod. 2004 Jan;30(1):1-4. doi: 10.1097/00004770-200401000-00001.
9
A prospective clinical study of Mineral Trioxide Aggregate and IRM when used as root-end filling materials in endodontic surgery.一项关于三氧化矿物凝聚体和IRM用作牙髓外科手术根尖倒充填材料的前瞻性临床研究。
Int Endod J. 2003 Aug;36(8):520-6. doi: 10.1046/j.1365-2591.2003.00682.x.
10
Cholesterol as an aetiological agent in endodontic failures--a review.胆固醇作为牙髓治疗失败的病因——综述
Aust Endod J. 1999 Apr;25(1):19-26. doi: 10.1111/j.1747-4477.1999.tb00063.x.