• 文献检索
  • 文档翻译
  • 深度研究
  • 学术资讯
  • Suppr Zotero 插件Zotero 插件
  • 邀请有礼
  • 套餐&价格
  • 历史记录
应用&插件
Suppr Zotero 插件Zotero 插件浏览器插件Mac 客户端Windows 客户端微信小程序
定价
高级版会员购买积分包购买API积分包
服务
文献检索文档翻译深度研究API 文档MCP 服务
关于我们
关于 Suppr公司介绍联系我们用户协议隐私条款
关注我们

Suppr 超能文献

核心技术专利:CN118964589B侵权必究
粤ICP备2023148730 号-1Suppr @ 2026

文献检索

告别复杂PubMed语法,用中文像聊天一样搜索,搜遍4000万医学文献。AI智能推荐,让科研检索更轻松。

立即免费搜索

文件翻译

保留排版,准确专业,支持PDF/Word/PPT等文件格式,支持 12+语言互译。

免费翻译文档

深度研究

AI帮你快速写综述,25分钟生成高质量综述,智能提取关键信息,辅助科研写作。

立即免费体验

一种能对细菌微环境变化做出反应的抗菌性骨内植入物表面涂层。

Antibacterial intraosseous implant surface coating that responds to changes in the bacterial microenvironment.

作者信息

Bai Xin, Yu Jiawei, Xiao Jie, Wang Yanping, Li Zhe, Wang Hao

机构信息

Jiande First People's Hospital, Hangzhou, Zhejiang, China.

Zhuji Affiliated Hospital of Wenzhou Medical University, Shaoxing, Zhejiang, China.

出版信息

Front Bioeng Biotechnol. 2023 Jan 9;10:1016001. doi: 10.3389/fbioe.2022.1016001. eCollection 2022.

DOI:10.3389/fbioe.2022.1016001
PMID:36698645
原文链接:https://pmc.ncbi.nlm.nih.gov/articles/PMC9868547/
Abstract

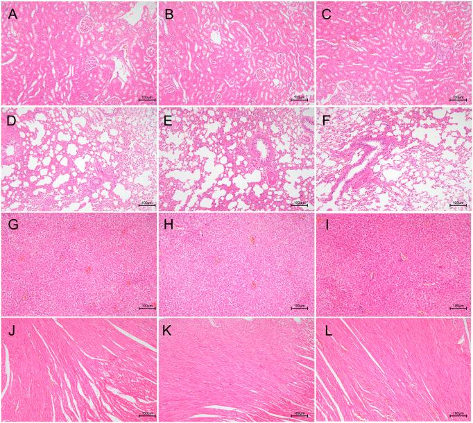
Bone implant-associated infection is one of the most challenging problems encountered by orthopedic surgeons. There is considerable interest in the development of drug-loaded antibacterial coatings for the surfaces of metal implants. However, it is difficult to achieve the stable local release of an effective drug dose for many antibacterial coatings. In the present study, analyses of the thickness and water contact angle of multiple layers confirmed the successful assembly of multilamellar membrane structures. Measurement of the zone of bacterial inhibition indicated gradual degradation of the (montmorillonite [MMT]/hyaluronic acid [HA]) multilamellar film structure with concentration-dependent degradation during incubation with hyaluronidase solution and . results resembled the results. Overall, the findings confirm that the (MMT/HA-rifampicin) multilamellar film structure exhibits good antibacterial properties and excellent biocompatibility. Further studies of the clinical potential of the antibacterial coating prepared in this experiment are warranted.

摘要

骨植入物相关感染是骨科医生面临的最具挑战性的问题之一。人们对开发用于金属植入物表面的载药抗菌涂层非常感兴趣。然而,对于许多抗菌涂层来说,实现有效药物剂量的稳定局部释放是困难的。在本研究中,对多层膜的厚度和水接触角的分析证实了多层膜结构的成功组装。细菌抑制圈的测量表明,在与透明质酸酶溶液孵育期间,(蒙脱石[MMT]/透明质酸[HA])多层膜结构逐渐降解,且降解具有浓度依赖性。结果与结果相似。总体而言,研究结果证实(MMT/HA-利福平)多层膜结构具有良好的抗菌性能和优异的生物相容性。有必要进一步研究本实验制备的抗菌涂层的临床潜力。

https://cdn.ncbi.nlm.nih.gov/pmc/blobs/2b79/9868547/0deb7f6c8a4a/fbioe-10-1016001-g012.jpg
https://cdn.ncbi.nlm.nih.gov/pmc/blobs/2b79/9868547/32a0fe4418a9/fbioe-10-1016001-g001.jpg
https://cdn.ncbi.nlm.nih.gov/pmc/blobs/2b79/9868547/fb8c27b40d62/fbioe-10-1016001-g002.jpg
https://cdn.ncbi.nlm.nih.gov/pmc/blobs/2b79/9868547/9a7c7ab12f70/fbioe-10-1016001-g003.jpg
https://cdn.ncbi.nlm.nih.gov/pmc/blobs/2b79/9868547/a4d79987e0d3/fbioe-10-1016001-g004.jpg
https://cdn.ncbi.nlm.nih.gov/pmc/blobs/2b79/9868547/ce22d8f21900/fbioe-10-1016001-g005.jpg
https://cdn.ncbi.nlm.nih.gov/pmc/blobs/2b79/9868547/30f1189797f8/fbioe-10-1016001-g006.jpg
https://cdn.ncbi.nlm.nih.gov/pmc/blobs/2b79/9868547/80ab5c5c9d5e/fbioe-10-1016001-g007.jpg
https://cdn.ncbi.nlm.nih.gov/pmc/blobs/2b79/9868547/6aeaabcb6a6f/fbioe-10-1016001-g008.jpg
https://cdn.ncbi.nlm.nih.gov/pmc/blobs/2b79/9868547/58e62e233e9c/fbioe-10-1016001-g009.jpg
https://cdn.ncbi.nlm.nih.gov/pmc/blobs/2b79/9868547/6db34e67dfa9/fbioe-10-1016001-g010.jpg
https://cdn.ncbi.nlm.nih.gov/pmc/blobs/2b79/9868547/9f4161c6e960/fbioe-10-1016001-g011.jpg
https://cdn.ncbi.nlm.nih.gov/pmc/blobs/2b79/9868547/0deb7f6c8a4a/fbioe-10-1016001-g012.jpg
https://cdn.ncbi.nlm.nih.gov/pmc/blobs/2b79/9868547/32a0fe4418a9/fbioe-10-1016001-g001.jpg
https://cdn.ncbi.nlm.nih.gov/pmc/blobs/2b79/9868547/fb8c27b40d62/fbioe-10-1016001-g002.jpg
https://cdn.ncbi.nlm.nih.gov/pmc/blobs/2b79/9868547/9a7c7ab12f70/fbioe-10-1016001-g003.jpg
https://cdn.ncbi.nlm.nih.gov/pmc/blobs/2b79/9868547/a4d79987e0d3/fbioe-10-1016001-g004.jpg
https://cdn.ncbi.nlm.nih.gov/pmc/blobs/2b79/9868547/ce22d8f21900/fbioe-10-1016001-g005.jpg
https://cdn.ncbi.nlm.nih.gov/pmc/blobs/2b79/9868547/30f1189797f8/fbioe-10-1016001-g006.jpg
https://cdn.ncbi.nlm.nih.gov/pmc/blobs/2b79/9868547/80ab5c5c9d5e/fbioe-10-1016001-g007.jpg
https://cdn.ncbi.nlm.nih.gov/pmc/blobs/2b79/9868547/6aeaabcb6a6f/fbioe-10-1016001-g008.jpg
https://cdn.ncbi.nlm.nih.gov/pmc/blobs/2b79/9868547/58e62e233e9c/fbioe-10-1016001-g009.jpg
https://cdn.ncbi.nlm.nih.gov/pmc/blobs/2b79/9868547/6db34e67dfa9/fbioe-10-1016001-g010.jpg
https://cdn.ncbi.nlm.nih.gov/pmc/blobs/2b79/9868547/9f4161c6e960/fbioe-10-1016001-g011.jpg
https://cdn.ncbi.nlm.nih.gov/pmc/blobs/2b79/9868547/0deb7f6c8a4a/fbioe-10-1016001-g012.jpg

相似文献

1
Antibacterial intraosseous implant surface coating that responds to changes in the bacterial microenvironment.一种能对细菌微环境变化做出反应的抗菌性骨内植入物表面涂层。
Front Bioeng Biotechnol. 2023 Jan 9;10:1016001. doi: 10.3389/fbioe.2022.1016001. eCollection 2022.
2
Antibiotic-Loaded MMT/PLL-Based Coating on the Surface of Endosseous Implants to Suppress Bacterial Infections.在骨内种植体表面涂覆载抗生素的 MMT/PLL 涂层以抑制细菌感染
Int J Nanomedicine. 2021 Apr 21;16:2983-2994. doi: 10.2147/IJN.S299154. eCollection 2021.
3
Corrosion resistance and antibacterial activity of zinc-loaded montmorillonite coatings on biodegradable magnesium alloy AZ31.载锌蒙脱石涂层对可生物降解镁合金 AZ31 的耐腐蚀和抗菌活性。
Acta Biomater. 2019 Oct 15;98:196-214. doi: 10.1016/j.actbio.2019.05.069. Epub 2019 May 31.
4
Development of an anti-infective coating on the surface of intraosseous implants responsive to enzymes and bacteria.在骨内植入物表面开发一种对酶和细菌有响应的抗感染涂层。
J Nanobiotechnology. 2021 Aug 12;19(1):241. doi: 10.1186/s12951-021-00985-3.
5
Bioinspired and biocompatible carbon nanotube-Ag nanohybrid coatings for robust antibacterial applications.用于强大抗菌应用的仿生且生物相容的碳纳米管-银纳米杂化涂层。
Acta Biomater. 2017 Mar 15;51:479-494. doi: 10.1016/j.actbio.2017.01.027. Epub 2017 Jan 7.
6
Preparation of BMP-2/chitosan/hydroxyapatite antibacterial bio-composite coatings on titanium surfaces for bone tissue engineering.在钛表面制备 BMP-2/壳聚糖/羟基磷灰石抗菌生物复合涂层用于骨组织工程。
Biomed Microdevices. 2019 Oct 26;21(4):89. doi: 10.1007/s10544-019-0437-2.
7
Using a degradable three-layer sandwich-type coating to prevent titanium implant infection with the combined efficient bactericidal ability and fast immune remodeling property.使用可降解的三层夹心型涂层来预防钛植入物感染,兼具高效杀菌能力和快速免疫重塑特性。
Acta Biomater. 2022 Dec;154:650-666. doi: 10.1016/j.actbio.2022.10.033. Epub 2022 Oct 25.
8
Enhancing the antibacterial activity of biomimetic HA coatings by incorporation of norvancomycin.通过掺入去甲万古霉素增强仿生羟基磷灰石涂层的抗菌活性。
J Orthop Sci. 2011 Jan;16(1):105-13. doi: 10.1007/s00776-010-0017-z. Epub 2011 Feb 4.
9
Layer-by-layer self-assembly of minocycline-loaded chitosan/alginate multilayer on titanium substrates to inhibit biofilm formation.在钛基底上逐层自组装负载米诺环素的壳聚糖/海藻酸盐多层膜以抑制生物膜形成。
J Dent. 2014 Nov;42(11):1464-72. doi: 10.1016/j.jdent.2014.06.003. Epub 2014 Jun 12.
10
Effect on infection resistance of a local antiseptic and antibiotic coating on osteosynthesis implants: an in vitro and in vivo study.局部防腐剂和抗生素涂层对骨合成植入物抗感染能力的影响:一项体外和体内研究。
J Orthop Res. 2006 Aug;24(8):1622-40. doi: 10.1002/jor.20193.

引用本文的文献

1
Enhanced antimicrobial protection through surface immobilization of antibiotic-loaded peptide multicompartment micelles.通过表面固定负载抗生素的肽多室胶束增强抗菌保护作用。
J Mater Chem B. 2025 May 7;13(18):5365-5379. doi: 10.1039/d5tb00246j.
2
Current Strategies in Developing Antibacterial Surfaces for Joint Arthroplasty Implant Applications.用于关节置换植入物应用的抗菌表面开发的当前策略。
Materials (Basel). 2025 Jan 3;18(1):173. doi: 10.3390/ma18010173.

本文引用的文献

1
Cryo-self-assembled silk fibroin sponge as a biodegradable platform for enzyme-responsive delivery of exosomes.冷冻自组装丝素蛋白海绵作为用于外泌体酶响应递送的可生物降解平台。
Bioact Mater. 2021 Jun 22;8:505-514. doi: 10.1016/j.bioactmat.2021.06.017. eCollection 2022 Feb.
2
Composite inclusion complexes containing hyaluronic acid/chitosan nanosystems for dual responsive enrofloxacin release.载有透明质酸/壳聚糖纳米系统的复合包埋复合物,用于恩诺沙星的双重响应释放。
Carbohydr Polym. 2021 Jan 15;252:117162. doi: 10.1016/j.carbpol.2020.117162. Epub 2020 Oct 4.
3
Poly(dopamine)-inspired surface functionalization of polypropylene tissue mesh for prevention of intra-peritoneal adhesion formation.
受聚多巴胺启发的聚丙烯组织补片表面功能化以预防腹腔内粘连形成
J Mater Chem B. 2017 Jan 21;5(3):575-585. doi: 10.1039/c6tb02667b. Epub 2016 Dec 22.
4
Disruptive anti-IgE inhibitors prevent mast cell-dependent early airway response in viable atopic lung tissue.破坏性抗IgE抑制剂可预防活体内特应性肺组织中肥大细胞依赖性早期气道反应。
J Allergy Clin Immunol. 2020 Feb;145(2):719-722.e1. doi: 10.1016/j.jaci.2019.11.002. Epub 2019 Dec 16.
5
Argon plasma modified nanocomposite polyurethane scaffolds provide an alternative strategy for cartilage tissue engineering.氩等离子体改性纳米复合聚氨酯支架为软骨组织工程提供了一种替代策略。
J Nanobiotechnology. 2019 Apr 6;17(1):51. doi: 10.1186/s12951-019-0477-z.
6
Heparin as a molecular spacer immobilized on microspheres to improve blood compatibility in hemoperfusion.将肝素作为分子间隔物固定在微球上,以提高血液灌流中的血液相容性。
Carbohydr Polym. 2019 Feb 1;205:89-97. doi: 10.1016/j.carbpol.2018.08.067. Epub 2018 Sep 1.
7
Intrawound Vancomycin Powder Reduces Bacterial Load in Contaminated Open Fracture Model.伤口内万古霉素粉剂降低污染性开放性骨折模型中的细菌载量。
J Orthop Trauma. 2018 Oct;32(10):538-541. doi: 10.1097/BOT.0000000000001259.
8
Microenvironment-Responsive Magnetic Nanocomposites Based on Silver Nanoparticles/Gentamicin for Enhanced Biofilm Disruption by Magnetic Field.基于银纳米粒子/庆大霉素的磁响应型纳米复合材料增强磁场对生物膜的破坏作用
ACS Appl Mater Interfaces. 2018 Oct 17;10(41):34905-34915. doi: 10.1021/acsami.8b10972. Epub 2018 Oct 4.
9
Application of pancreatic phospholipase A2 for treatment of bovine mastitis.胰脏磷脂酶 A2 在治疗牛乳腺炎中的应用。
PLoS One. 2018 Aug 27;13(8):e0203132. doi: 10.1371/journal.pone.0203132. eCollection 2018.
10
Molecularly specific detection of bacterial lipoteichoic acid for diagnosis of prosthetic joint infection of the bone.用于诊断骨人工关节感染的细菌脂磷壁酸的分子特异性检测
Bone Res. 2018 Apr 25;6:13. doi: 10.1038/s41413-018-0014-y. eCollection 2018.