Suppr超能文献

放射组学预测类风湿关节炎相关间质性肺疾病患者的死亡率:一项概念验证研究。

Radiomics to predict the mortality of patients with rheumatoid arthritis-associated interstitial lung disease: A proof-of-concept study.

作者信息

Venerito Vincenzo, Manfredi Andreina, Lopalco Giuseppe, Lavista Marlea, Cassone Giulia, Scardapane Arnaldo, Sebastiani Marco, Iannone Florenzo

机构信息

Rheumatology Unit, Department of Emergency and Organ Transplantation, University of Bari Aldo Moro, Bari, Italy.

Rheumatology Unit, Azienda Ospedaliera Policlinico di Modena, University of Modena and Reggio Emilia, Modena, Italy.

出版信息

Front Med (Lausanne). 2023 Jan 9;9:1069486. doi: 10.3389/fmed.2022.1069486. eCollection 2022.

Abstract

OBJECTIVES

Patients with rheumatoid arthritis (RA) and interstitial lung disease (ILD) have increased mortality compared to the general population and factors capable of predicting RA-ILD long-term clinical outcomes are lacking. In oncology, radiomics allows the quantification of tumour phenotype by analysing the characteristics of medical images. Using specific software, it is possible to segment organs on high-resolution computed tomography (HRCT) images and extract many features that may uncover disease characteristics that are not detected by the naked eye. We aimed to investigate whether features from whole lung radiomic analysis of HRCT may alone predict mortality in RA-ILD patients.

METHODS

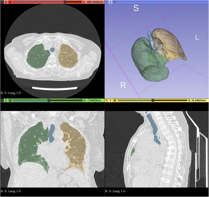
High-resolution computed tomographies of RA patients from January 2012 to March 2022 were analyzed. The time between the first available HRCT and the last follow-up visit or ILD-related death was recorded. We performed a volumetric analysis in 3D Slicer, automatically segmenting the whole lungs and trachea the Lung CT Analyzer. A LASSO-Cox model was carried out by considering ILD-related death as the outcome variable and extracting radiomic features as exposure variables.

RESULTS

We retrieved the HRCTs of 30 RA-ILD patients. The median survival time (interquartile range) was 48 months (36-120 months). Thirteen out of 30 (43.33%) patients died during the observation period. Whole line segmentation was fast and reliable. The model included either the median grey level intensity within the whole lung segmentation [high-resolution (HR) 9.35, 95% CI 1.56-55.86] as a positive predictor of death and the 10th percentile of the number of included voxels (HR 0.20, 95% CI 0.05-0.84), the voxel-based pre-processing information (HR 0.23, 95% CI 0.06-0.82) and the flatness (HR 0.42, 95% CI 0.18-0.98), negatively correlating to mortality. The correlation of grey level values to their respective voxels (HR 1.52 95% CI 0.82-2.83) was also retained as a confounder.

CONCLUSION

Radiomic analysis may predict RA-ILD patients' mortality and may promote HRCT as a digital biomarker regardless of the clinical characteristics of the disease.

摘要

目的

与普通人群相比,类风湿性关节炎(RA)合并间质性肺疾病(ILD)患者的死亡率更高,且缺乏能够预测RA-ILD长期临床结局的因素。在肿瘤学中,放射组学可通过分析医学图像特征对肿瘤表型进行量化。使用特定软件,可以在高分辨率计算机断层扫描(HRCT)图像上分割器官,并提取许多可能揭示肉眼无法检测到的疾病特征的特征。我们旨在研究HRCT全肺放射组学分析的特征是否可以单独预测RA-ILD患者的死亡率。

方法

分析了2012年1月至2022年3月期间RA患者的高分辨率计算机断层扫描。记录首次获得HRCT至最后一次随访或ILD相关死亡之间的时间。我们在3D Slicer中进行了容积分析,使用肺CT分析仪自动分割全肺和气管。以ILD相关死亡作为结局变量,提取放射组学特征作为暴露变量,进行LASSO-Cox模型分析。

结果

我们获取了30例RA-ILD患者的HRCT。中位生存时间(四分位间距)为48个月(36-120个月)。30例患者中有13例(43.33%)在观察期内死亡。全肺分割快速且可靠。该模型包括全肺分割内的中位灰度强度[高分辨率(HR)9.35,95%CI 1.56-55.86]作为死亡的阳性预测因子,以及包含体素数量的第10百分位数(HR 0.20,95%CI 0.05-0.84)、基于体素的预处理信息(HR 0.23,95%CI 0.06-0.82)和平坦度(HR 0.42,95%CI 0.18- .98),与死亡率呈负相关。灰度值与其各自体素的相关性(HR 1.52,95%CI 0.82-2.83)也作为混杂因素保留。

结论

放射组学分析可能预测RA-ILD患者的死亡率,并且无论疾病的临床特征如何,都可能促进将HRCT作为一种数字生物标志物。

https://cdn.ncbi.nlm.nih.gov/pmc/blobs/a862/9870287/cdcff3ef407c/fmed-09-1069486-g001.jpg

文献AI研究员

20分钟写一篇综述,助力文献阅读效率提升50倍。

立即体验

用中文搜PubMed

大模型驱动的PubMed中文搜索引擎

马上搜索

文档翻译

学术文献翻译模型,支持多种主流文档格式。

立即体验