Khojaste Moein, Navabi Sara, Shiezadeh Farid
Dental Research Center, Mashhad University of Medical Sciences, Mashhad, Iran.
Iran Endod J. 2022;17(4):212-215. doi: 10.22037/iej.v17i4.38667.
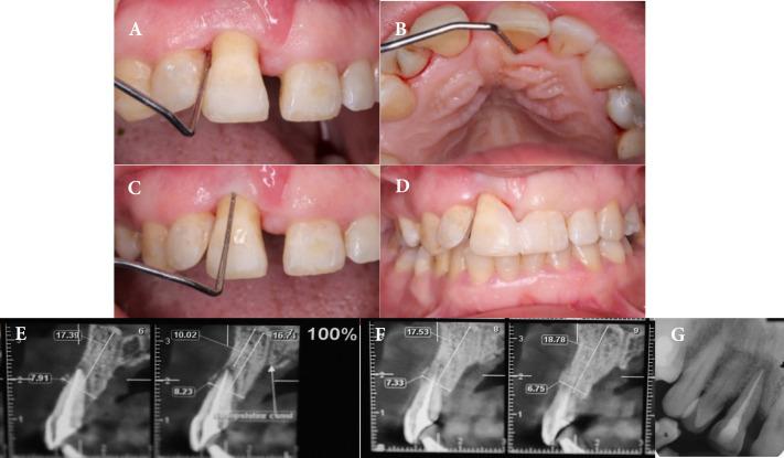
Endodontic-periodontal lesions have always been a challenge for treatment due to the reduced success rate in comparison to endodontic or periodontal lesions alone. This case report describes surgical/endodontic management of supra-erupted non-vital maxillary incisor with primary periodontal and secondary endodontic lesions with mobility grade III and severe horizontal and vertical loss of attachment apparatus in a 55 years old woman with aggressive periodontitis. The successful results at one-year follow-up revealed that with an appropriate case selection strategy, proper regeneration method and soft tissue enhancement, severe combined endo-perio lesions may treat.
牙髓-牙周联合病变的治疗一直是一项挑战,因为与单纯的牙髓或牙周病变相比,其成功率较低。本病例报告描述了一名55岁患有侵袭性牙周炎的女性,其右上颌无活力且伸长的切牙伴有原发性牙周病变和继发性牙髓病变,牙齿松动III度,附着装置严重水平和垂直丧失,对其进行了外科/牙髓治疗。一年随访的成功结果表明,通过适当的病例选择策略、合适的再生方法和软组织增强,严重的牙髓-牙周联合病变是可以治疗的。