• 文献检索
  • 文档翻译
  • 深度研究
  • 学术资讯
  • Suppr Zotero 插件Zotero 插件
  • 邀请有礼
  • 套餐&价格
  • 历史记录
应用&插件
Suppr Zotero 插件Zotero 插件浏览器插件Mac 客户端Windows 客户端微信小程序
定价
高级版会员购买积分包购买API积分包
服务
文献检索文档翻译深度研究API 文档MCP 服务
关于我们
关于 Suppr公司介绍联系我们用户协议隐私条款
关注我们

Suppr 超能文献

核心技术专利:CN118964589B侵权必究
粤ICP备2023148730 号-1Suppr @ 2026

文献检索

告别复杂PubMed语法,用中文像聊天一样搜索,搜遍4000万医学文献。AI智能推荐,让科研检索更轻松。

立即免费搜索

文件翻译

保留排版,准确专业,支持PDF/Word/PPT等文件格式,支持 12+语言互译。

免费翻译文档

深度研究

AI帮你快速写综述,25分钟生成高质量综述,智能提取关键信息,辅助科研写作。

立即免费体验

氧化苦参碱基于SOCS1/JAK-STAT3通路对小鼠特应性皮炎的作用机制

The mechanism of oxymatrine on atopic dermatitis in mice based on SOCS1/JAK-STAT3 pathway.

作者信息

Han Xianwei, Ma Tianming, Wang Qiang, Jin Chunlin, Han Yusheng, Liu Guijun, Li Hao

机构信息

Department of Dermatology, The Seventh People's Hospital of Shenyang, Shenyang, China.

The Second Hospital of Heilongjiang University of Chinese Medicine, Harbin, China.

出版信息

Front Pharmacol. 2023 Jan 10;13:1091090. doi: 10.3389/fphar.2022.1091090. eCollection 2022.

DOI:10.3389/fphar.2022.1091090
PMID:36703757
原文链接:https://pmc.ncbi.nlm.nih.gov/articles/PMC9872557/
Abstract

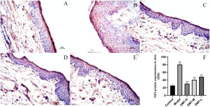
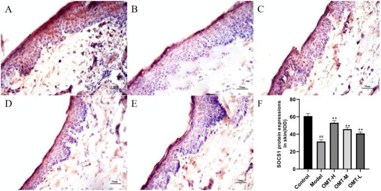
Based on the suppressor of cytokine signaling 1 (SOCS1)/Janus kinase (JAK)/signal transducer and activator of transcription 3 (STAT3) pathway, the mechanism of oxymatrine in the treatment of atopic dermatitis (AD) was preliminarily explored in this study. C57BL/6 mice were induced to establish AD model by smearing carbotriol (MC903) on their back. The AD mice were randomly divided into model group, oxymatrine groups with three dosages (25, 50 and 100 mg/kg), ( = 10). Oxymatrine groups were intragastric administered once daily for 14 days. The same volume of saline was given in the normal control group and model group once daily for 14 days. Subsequently, HE staining was used to observe the pathological changes of skin tissue, ELISA was used to detect the levels of serum inflammatory factors including interleukin-4, 6 and 17 (IL-4, IL-6, and IL-17), tumor necrosis factor-α (TNF-α) and immunoglobulin E (IgE). Immunohistochemistry was used to detect the expression of suppressor of cytokine signaling 1 and CD3 in skin tissue, and Western blotting was used to detect the proteins in suppressor of cytokine signaling 1/JAK-STAT3 pathway. Compared with the normal control group, the pathological damage of mice in the model group, such as skin hyperplasia, edema, congestion and inflammatory infiltration, aggravated increased significantly. And the expression of serum inflammatory factors, CD3 positive expression and JAK-STAT3 pathway protein in the model group were increased ( < .05), and the expression of suppressor of cytokine signaling 1 protein ( < .05) was decreased. Compared with the model group, the above pathological damage of the mice was reduced, and the serum inflammatory factors, JAK-STAT3 pathway protein, and CD3 positive expression were decreased as a dose-dependant manner ( < .05), and the expression of suppressor of cytokine signaling 1 protein was increased as a dose-dependent manner ( < .05). Oxymatrine can improve the skin inflammation symptoms of AD mice by up regulating the expression of suppressor of cytokine signaling 1, inhibiting the activation of JAK-STAT3 pathway and blocking the activation of T lymphocytes.

摘要

基于细胞因子信号转导抑制因子1(SOCS1)/Janus激酶(JAK)/信号转导子和转录激活子3(STAT3)通路,本研究初步探讨了氧化苦参碱治疗特应性皮炎(AD)的机制。通过在C57BL/6小鼠背部涂抹卡泊三醇(MC903)诱导建立AD模型。将AD小鼠随机分为模型组、三个剂量(25、50和100mg/kg)的氧化苦参碱组(每组n = 10)。氧化苦参碱组每天灌胃给药1次,连续14天。正常对照组和模型组每天给予相同体积的生理盐水,连续14天。随后,采用苏木精-伊红(HE)染色观察皮肤组织的病理变化,采用酶联免疫吸附测定(ELISA)检测血清中白细胞介素-4、6和17(IL-4、IL-6和IL-17)、肿瘤坏死因子-α(TNF-α)和免疫球蛋白E(IgE)等炎症因子水平。采用免疫组织化学检测皮肤组织中细胞因子信号转导抑制因子1和CD3的表达,采用蛋白质印迹法检测细胞因子信号转导抑制因子1/JAK-STAT3通路中的蛋白。与正常对照组相比,模型组小鼠皮肤增生、水肿、充血和炎症浸润等病理损伤明显加重。模型组血清炎症因子表达、CD3阳性表达及JAK-STAT3通路蛋白表达均升高(P < 0.05),细胞因子信号转导抑制因子1蛋白表达降低(P < 0.05)。与模型组相比,小鼠上述病理损伤减轻,血清炎症因子、JAK-STAT3通路蛋白及CD3阳性表达呈剂量依赖性降低(P < 0.05),细胞因子信号转导抑制因子1蛋白表达呈剂量依赖性升高(P < 0.05)。氧化苦参碱可通过上调细胞因子信号转导抑制因子1的表达、抑制JAK-STAT3通路的激活以及阻断T淋巴细胞的活化来改善AD小鼠的皮肤炎症症状。

https://cdn.ncbi.nlm.nih.gov/pmc/blobs/f294/9872557/59cd94a2aa3c/fphar-13-1091090-g006.jpg
https://cdn.ncbi.nlm.nih.gov/pmc/blobs/f294/9872557/89919381a456/fphar-13-1091090-g001.jpg
https://cdn.ncbi.nlm.nih.gov/pmc/blobs/f294/9872557/aa341bddc0cb/fphar-13-1091090-g002.jpg
https://cdn.ncbi.nlm.nih.gov/pmc/blobs/f294/9872557/444766a0b41c/fphar-13-1091090-g003.jpg
https://cdn.ncbi.nlm.nih.gov/pmc/blobs/f294/9872557/7bd6b458ef28/fphar-13-1091090-g004.jpg
https://cdn.ncbi.nlm.nih.gov/pmc/blobs/f294/9872557/2e774972203d/fphar-13-1091090-g005.jpg
https://cdn.ncbi.nlm.nih.gov/pmc/blobs/f294/9872557/59cd94a2aa3c/fphar-13-1091090-g006.jpg
https://cdn.ncbi.nlm.nih.gov/pmc/blobs/f294/9872557/89919381a456/fphar-13-1091090-g001.jpg
https://cdn.ncbi.nlm.nih.gov/pmc/blobs/f294/9872557/aa341bddc0cb/fphar-13-1091090-g002.jpg
https://cdn.ncbi.nlm.nih.gov/pmc/blobs/f294/9872557/444766a0b41c/fphar-13-1091090-g003.jpg
https://cdn.ncbi.nlm.nih.gov/pmc/blobs/f294/9872557/7bd6b458ef28/fphar-13-1091090-g004.jpg
https://cdn.ncbi.nlm.nih.gov/pmc/blobs/f294/9872557/2e774972203d/fphar-13-1091090-g005.jpg
https://cdn.ncbi.nlm.nih.gov/pmc/blobs/f294/9872557/59cd94a2aa3c/fphar-13-1091090-g006.jpg

相似文献

1
The mechanism of oxymatrine on atopic dermatitis in mice based on SOCS1/JAK-STAT3 pathway.氧化苦参碱基于SOCS1/JAK-STAT3通路对小鼠特应性皮炎的作用机制
Front Pharmacol. 2023 Jan 10;13:1091090. doi: 10.3389/fphar.2022.1091090. eCollection 2022.
2
Naringenin ameliorates atopic dermatitis by inhibiting inflammation and enhancing immunity through the JAK2/STAT3 pathway.柚皮苷通过抑制 JAK2/STAT3 通路的炎症和增强免疫来改善特应性皮炎。
Genes Genomics. 2024 Mar;46(3):333-340. doi: 10.1007/s13258-023-01457-8. Epub 2023 Oct 14.
3
[Action Mechanism of Ethambutol Tablets on Pulmonary Tuberculosis Rat Model Based on Janus Kinase/Signal Transducer and Activator of Transcription Signaling Pathway].基于Janus激酶/信号转导子和转录激活子信号通路的乙胺丁醇片对肺结核大鼠模型的作用机制
Zhongguo Yi Xue Ke Xue Yuan Xue Bao. 2022 Aug;44(4):555-562. doi: 10.3881/j.issn.1000-503X.14923.
4
Ghrelin inhibits inflammatory response and apoptosis of myocardial injury in septic rats through JAK/STAT signaling pathway.胃饥饿素通过 JAK/STAT 信号通路抑制脓毒症大鼠心肌损伤的炎症反应和细胞凋亡。
Eur Rev Med Pharmacol Sci. 2020 Nov;24(22):11740-11746. doi: 10.26355/eurrev_202011_23825.
5
Acute alcohol intake induces SOCS1 and SOCS3 and inhibits cytokine-induced STAT1 and STAT3 signaling in human monocytes.急性酒精摄入可诱导细胞因子信号转导抑制因子1(SOCS1)和细胞因子信号转导抑制因子3(SOCS3)的产生,并抑制人单核细胞中细胞因子诱导的信号转导子和转录激活子1(STAT1)及信号转导子和转录激活子3(STAT3)信号通路。
Alcohol Clin Exp Res. 2008 Sep;32(9):1565-73. doi: 10.1111/j.1530-0277.2008.00726.x. Epub 2008 Jul 9.
6
[Effect of moxibustion combined with acupoint catgut embedding on IL-6/JAK/STAT3 signaling pathway in colonic mucosa of ulcerative colitis rats].[艾灸联合穴位埋线对溃疡性结肠炎大鼠结肠黏膜IL-6/JAK/STAT3信号通路的影响]
Zhen Ci Yan Jiu. 2022 Jun 25;47(6):525-30. doi: 10.13702/j.1000-0607.20211375.
7
Ilex asprella aqueous extracts exert in vivo anti-inflammatory effects by regulating the NF-κB, JAK2/STAT3, and MAPK signaling pathways.苦丁茶水提物通过调控 NF-κB、JAK2/STAT3 和 MAPK 信号通路发挥体内抗炎作用。
J Ethnopharmacol. 2018 Oct 28;225:234-243. doi: 10.1016/j.jep.2018.06.037. Epub 2018 Jul 4.
8
Influence of roflumilast on sepsis mice through the JAK/STAT signaling pathway.罗氟司特通过 JAK/STAT 信号通路对脓毒症小鼠的影响。
Eur Rev Med Pharmacol Sci. 2019 Feb;23(3):1335-1341. doi: 10.26355/eurrev_201902_17028.
9
Aspirin Inhibits Carcinogenesis of Intestinal Mucosal Cells in UC Mice Through Inhibiting IL-6/JAK/STAT3 Signaling Pathway and Modulating Apoptosis and Proliferation.阿司匹林通过抑制 IL-6/JAK/STAT3 信号通路和调节细胞凋亡与增殖抑制 UC 小鼠肠黏膜细胞癌变。
Turk J Gastroenterol. 2022 Sep;33(9):731-742. doi: 10.5152/tjg.2022.21855.
10
[MOR106 alleviates inflammation in mice with atopic dermatitis by blocking the JAK2/STAT3 signaling pathway and inhibiting IL-17C-mediated Tfh cell differentiation].[MOR106通过阻断JAK2/STAT3信号通路并抑制IL-17C介导的Tfh细胞分化来减轻特应性皮炎小鼠的炎症反应]
Xi Bao Yu Fen Zi Mian Yi Xue Za Zhi. 2024 Jan;40(1):26-32.

引用本文的文献

1
The alleviating effect of Bai-Ju essence on atopic dermatitis through anti-inflammatory and skin barrier repair mechanisms.白菊精华通过抗炎和皮肤屏障修复机制对特应性皮炎的缓解作用。
Mol Cell Biochem. 2025 May 20. doi: 10.1007/s11010-025-05270-7.
2
Inflammatory Skin Diseases: Focus on the Role of Suppressors of Cytokine Signaling (SOCS) Proteins.炎症性皮肤病:聚焦细胞因子信号转导抑制蛋白(SOCS)的作用。
Cells. 2024 Mar 13;13(6):505. doi: 10.3390/cells13060505.
3
Therapeutic effects of the Qingre-Qushi recipe on atopic dermatitis through the regulation of gut microbiota and skin inflammation.

本文引用的文献

1
Oxymatrine inhibits neuroinflammation byRegulating M1/M2 polarization in N9 microglia through the TLR4/NF-κB pathway.氧化苦参碱通过 TLR4/NF-κB 通路调节 N9 小胶质细胞 M1/M2 极化抑制神经炎症。
Int Immunopharmacol. 2021 Nov;100:108139. doi: 10.1016/j.intimp.2021.108139. Epub 2021 Sep 10.
2
Oxymatrine protects cardiac allografts by regulating immunotolerant cells.氧化苦参碱通过调节免疫耐受细胞来保护心脏同种异体移植物。
Int Immunopharmacol. 2021 Nov;100:108080. doi: 10.1016/j.intimp.2021.108080. Epub 2021 Aug 25.
3
A comprehensive review of natural products against atopic dermatitis: Flavonoids, alkaloids, terpenes, glycosides and other compounds.
清热祛湿方通过调节肠道微生物群和皮肤炎症对特应性皮炎的治疗作用。
Heliyon. 2024 Feb 8;10(4):e26063. doi: 10.1016/j.heliyon.2024.e26063. eCollection 2024 Feb 29.
4
Anti-Inflammatory Effects of the LK5 Herbal Complex on LPS- and IL-4/IL-13-Stimulated HaCaT Cells and a DNCB-Induced Animal Model of Atopic Dermatitis in BALB/c Mice.LK5草药复合物对脂多糖和白细胞介素-4/白细胞介素-13刺激的HaCaT细胞以及二硝基氯苯诱导的BALB/c小鼠特应性皮炎动物模型的抗炎作用。
Pharmaceutics. 2023 Dec 27;16(1):40. doi: 10.3390/pharmaceutics16010040.
5
Formulation and Evaluation of PLGA Nanoparticulate-Based Microneedle System for Potential Treatment of Neurological Diseases.基于 PLGA 纳米粒的微针系统的配方与评价-用于治疗神经疾病的新策略。
Int J Nanomedicine. 2023 Jul 10;18:3745-3760. doi: 10.2147/IJN.S415728. eCollection 2023.
天然产物防治特应性皮炎的研究进展:黄酮类、生物碱类、萜类、糖苷及其他化合物。
Biomed Pharmacother. 2021 Aug;140:111741. doi: 10.1016/j.biopha.2021.111741. Epub 2021 Jun 2.
4
miR-150-Based RNA Interference Attenuates Tubulointerstitial Fibrosis through the SOCS1/JAK/STAT Pathway and .基于miR-150的RNA干扰通过SOCS1/JAK/STAT途径减轻肾小管间质纤维化 以及 。 (原文最后“and.”表述不完整,翻译可能存在一定局限性)
Mol Ther Nucleic Acids. 2020 Oct 14;22:871-884. doi: 10.1016/j.omtn.2020.10.008. eCollection 2020 Dec 4.
5
Testosterone regulates the intracellular bacterial community formation of uropathogenic Escherichia coli in prostate cells via STAT3.睾酮通过 STAT3 调节前列腺细胞中尿路致病性大肠杆菌的细胞内细菌群落形成。
Int J Med Microbiol. 2020 Oct;310(7):151450. doi: 10.1016/j.ijmm.2020.151450. Epub 2020 Aug 29.
6
High Frequency of Gamma Interferon-Producing PLZFRORγt Invariant Natural Killer 1 Cells Infiltrating Herpes Simplex Virus 1-Infected Corneas Is Associated with Asymptomatic Ocular Herpesvirus Infection.HSV-1 感染角膜中 IFN-γ 产生的 PLZF+RORγt+ 固有 NK1 细胞高频浸润与无症状眼部单纯疱疹病毒感染相关。
J Virol. 2020 Apr 16;94(9). doi: 10.1128/JVI.00140-20.
7
Oxymatrine exerts organ- and tissue-protective effects by regulating inflammation, oxidative stress, apoptosis, and fibrosis: From bench to bedside.氧化苦参碱通过调节炎症、氧化应激、细胞凋亡和纤维化发挥器官和组织保护作用:从实验室到临床。
Pharmacol Res. 2020 Jan;151:104541. doi: 10.1016/j.phrs.2019.104541. Epub 2019 Nov 13.
8
MALT1-Deficient Mice Develop Atopic-Like Dermatitis Upon Aging.MALT1 缺陷小鼠在衰老时会发展出特应性皮炎样皮肤病。
Front Immunol. 2019 Oct 1;10:2330. doi: 10.3389/fimmu.2019.02330. eCollection 2019.
9
Update on Atopic Dermatitis.特应性皮炎的最新进展
Acta Med Port. 2019 Sep 2;32(9):606-613. doi: 10.20344/amp.11963.
10
Asaronic Acid Attenuates Macrophage Activation toward M1 Phenotype through Inhibition of NF-κB Pathway and JAK-STAT Signaling in Glucose-Loaded Murine Macrophages.Asaronic 酸通过抑制葡萄糖负荷的鼠巨噬细胞中的 NF-κB 通路和 JAK-STAT 信号转导来减轻巨噬细胞向 M1 表型的激活。
J Agric Food Chem. 2019 Sep 11;67(36):10069-10078. doi: 10.1021/acs.jafc.9b03926. Epub 2019 Aug 26.