• 文献检索
  • 文档翻译
  • 深度研究
  • 学术资讯
  • Suppr Zotero 插件Zotero 插件
  • 邀请有礼
  • 套餐&价格
  • 历史记录
应用&插件
Suppr Zotero 插件Zotero 插件浏览器插件Mac 客户端Windows 客户端微信小程序
定价
高级版会员购买积分包购买API积分包
服务
文献检索文档翻译深度研究API 文档MCP 服务
关于我们
关于 Suppr公司介绍联系我们用户协议隐私条款
关注我们

Suppr 超能文献

核心技术专利:CN118964589B侵权必究
粤ICP备2023148730 号-1Suppr @ 2026

文献检索

告别复杂PubMed语法,用中文像聊天一样搜索,搜遍4000万医学文献。AI智能推荐,让科研检索更轻松。

立即免费搜索

文件翻译

保留排版,准确专业,支持PDF/Word/PPT等文件格式,支持 12+语言互译。

免费翻译文档

深度研究

AI帮你快速写综述,25分钟生成高质量综述,智能提取关键信息,辅助科研写作。

立即免费体验

法布里病:两例罕见表现病例报告。

Fabry Disease: Report of Two Cases with Uncommon Presentation.

作者信息

Prasad Pallavi, Singh Anshima, Yachha Monika, Agrawal Vinita, Pandey Rakesh, Jain Manoj, Bhadauria Dharmendra

机构信息

Department of Pathology, Sanjay Gandhi Post Graduate Institute of Medical Sciences, Lucknow, Uttar Pradesh, India.

Department of Nephrology, Sanjay Gandhi Post Graduate Institute of Medical Sciences, Lucknow, Uttar Pradesh, India.

出版信息

Indian J Nephrol. 2022 Nov-Dec;32(6):625-628. doi: 10.4103/ijn.ijn_263_21. Epub 2022 Oct 2.

DOI:10.4103/ijn.ijn_263_21
PMID:36704583
原文链接:https://pmc.ncbi.nlm.nih.gov/articles/PMC9872913/
Abstract

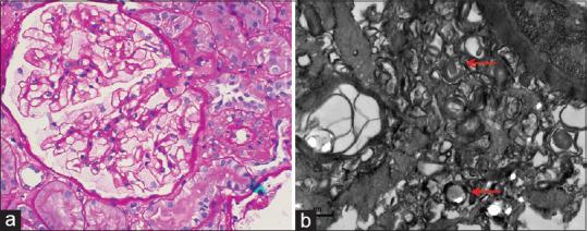
Fabry disease (FD) is a rare, lysosomal storage disorder characterized by multiorgan accumulation of predominantly globotriaosylceramide (GL3) and its metabolite. Resulting renal, cardiac, and cerebrovascular complications are crucial causes of morbidity and mortality in FD. Enzyme replacement therapy (ERT) shows promising outcomes for these patients, provided that therapy is initiated early. Thus, precise and early diagnosis of the disease is a pivotal factor determining the corollary of the disease. We report two cases of young adult males who presented to the nephrology department with proteinuria. A kidney biopsy was performed in both cases, which was suggestive of FD. The final conclusive diagnosis of FD was provided by electron microscopy.

摘要

法布里病(FD)是一种罕见的溶酶体贮积症,其特征是多器官中主要为Globotriaosylceramide(GL3)及其代谢产物的蓄积。由此导致的肾脏、心脏和脑血管并发症是法布里病发病和死亡的关键原因。酶替代疗法(ERT)对这些患者显示出有前景的疗效,前提是早期开始治疗。因此,疾病的准确早期诊断是决定疾病转归的关键因素。我们报告了两例成年男性患者,他们因蛋白尿就诊于肾内科。两例均进行了肾活检,提示为法布里病。法布里病的最终确诊由电子显微镜检查提供。

https://cdn.ncbi.nlm.nih.gov/pmc/blobs/e364/9872913/92c389cbfd4c/IJN-32-625-g002.jpg
https://cdn.ncbi.nlm.nih.gov/pmc/blobs/e364/9872913/66f9f4a38f64/IJN-32-625-g001.jpg
https://cdn.ncbi.nlm.nih.gov/pmc/blobs/e364/9872913/92c389cbfd4c/IJN-32-625-g002.jpg
https://cdn.ncbi.nlm.nih.gov/pmc/blobs/e364/9872913/66f9f4a38f64/IJN-32-625-g001.jpg
https://cdn.ncbi.nlm.nih.gov/pmc/blobs/e364/9872913/92c389cbfd4c/IJN-32-625-g002.jpg

相似文献

1
Fabry Disease: Report of Two Cases with Uncommon Presentation.法布里病:两例罕见表现病例报告。
Indian J Nephrol. 2022 Nov-Dec;32(6):625-628. doi: 10.4103/ijn.ijn_263_21. Epub 2022 Oct 2.
2
Anderson-Fabry disease: a multiorgan disease.安德森-法布里病:一种多系统疾病。
Curr Pharm Des. 2013;19(33):5974-96. doi: 10.2174/13816128113199990352.
3
Clinical relevance of globotriaosylceramide accumulation in Fabry disease and the effect of agalsidase beta in affected tissues.法布里病中Globotriaosylceramide蓄积的临床相关性及β-半乳糖苷酶对受累组织的影响。
Mol Genet Metab. 2022 Dec;137(4):328-341. doi: 10.1016/j.ymgme.2022.10.005. Epub 2022 Oct 29.
4
Fabry nephropathy before and after enzyme replacement therapy: important role of renal biopsy in patients with Fabry disease.酶替代疗法前后的法布里肾病:肾活检在法布里病患者中的重要作用
Kidney Res Clin Pract. 2021 Dec;40(4):611-619. doi: 10.23876/j.krcp.21.056. Epub 2021 Nov 29.
5
Fabry nephropathy: indications for screening and guidance for diagnosis and treatment by the European Renal Best Practice.法布里肾病:欧洲肾脏最佳实践的筛查指征及诊断和治疗指南。
Nephrol Dial Transplant. 2013 Mar;28(3):505-17. doi: 10.1093/ndt/gfs526. Epub 2012 Dec 12.
6
Diagnosis and Screening of Patients with Fabry Disease.法布里病患者的诊断与筛查
Ther Clin Risk Manag. 2020 Jun 22;16:551-558. doi: 10.2147/TCRM.S247814. eCollection 2020.
7
Fabry disease: diagnostic methods in nephrology practice.法布里病:肾脏病学实践中的诊断方法
Clin Nephrol. 2017;88(13):44-47. doi: 10.5414/CNP88FX28.
8
Enzyme Replacement Therapy During Pregnancy in Fabry Patients : Review of Published Cases of Live Births and a New Case of a Severely Affected Female with Fabry Disease and Pre-eclampsia Complicating Pregnancy.法布里病患者孕期的酶替代疗法:已发表的活产病例综述及一例患有法布里病且并发先兆子痫的重症女性新病例
JIMD Rep. 2019;44:93-101. doi: 10.1007/8904_2018_129. Epub 2018 Aug 17.
9
Enzyme replacement therapy for Fabry disease: a systematic review of available evidence.法布里病的酶替代疗法:现有证据的系统评价
Drugs. 2009 Nov 12;69(16):2179-205. doi: 10.2165/11318300-000000000-00000.
10
Late-Onset Fabry Disease Affecting the Kidneys and Liver While Sparing the Heart: A Case Report.迟发性法布里病累及肾脏和肝脏而未累及心脏:一例报告
Cureus. 2022 Nov 1;14(11):e30989. doi: 10.7759/cureus.30989. eCollection 2022 Nov.

引用本文的文献

1
Phenotypic Evolution in Fabry Disease: Our Experience in Indian Cohort.法布里病的表型演变:我们在印度队列中的经验
Indian J Clin Biochem. 2025 Apr;40(2):254-262. doi: 10.1007/s12291-023-01176-7. Epub 2024 Jan 10.

本文引用的文献

1
Renal Manifestations of Fabry Disease: A Narrative Review.法布里病的肾脏表现:一篇叙述性综述。
Can J Kidney Health Dis. 2021 Jan 19;8:2054358120985627. doi: 10.1177/2054358120985627. eCollection 2021.
2
Histiocytic and Nonhistiocytic Glomerular Lesions: Foam Cells and Their Mimickers.组织细胞性和非组织细胞性肾小球病变:泡沫细胞及其类似物。
Am J Kidney Dis. 2016 Feb;67(2):329-36. doi: 10.1053/j.ajkd.2015.07.040. Epub 2015 Nov 19.
3
Turbid white urine.浑浊白色尿液。
NDT Plus. 2010 Feb;3(1):45-7. doi: 10.1093/ndtplus/sfp135. Epub 2009 Sep 25.
4
Ten-year outcome of enzyme replacement therapy with agalsidase beta in patients with Fabry disease.法布里病患者使用β-半乳糖苷酶进行酶替代治疗的十年结果。
J Med Genet. 2015 May;52(5):353-8. doi: 10.1136/jmedgenet-2014-102797. Epub 2015 Mar 20.
5
Antiproteinuric therapy and fabry nephropathy: sustained reduction of proteinuria in patients receiving enzyme replacement therapy with agalsidase-beta.抗蛋白尿治疗与法布里肾病:接受β-半乳糖苷酶替代酶替代疗法患者蛋白尿的持续减少
J Am Soc Nephrol. 2007 Sep;18(9):2609-17. doi: 10.1681/ASN.2006121400. Epub 2007 Jul 26.
6
Fabry disease: baseline medical characteristics of a cohort of 1765 males and females in the Fabry Registry.法布里病:法布里登记处1765名男性和女性队列的基线医学特征
J Inherit Metab Dis. 2007 Apr;30(2):184-92. doi: 10.1007/s10545-007-0521-2. Epub 2007 Mar 8.
7
Fabry disease, an under-recognized multisystemic disorder: expert recommendations for diagnosis, management, and enzyme replacement therapy.法布里病,一种未得到充分认识的多系统疾病:关于诊断、管理及酶替代疗法的专家建议
Ann Intern Med. 2003 Feb 18;138(4):338-46. doi: 10.7326/0003-4819-138-4-200302180-00014.
8
Natural history of Fabry renal disease: influence of alpha-galactosidase A activity and genetic mutations on clinical course.法布里肾病的自然史:α-半乳糖苷酶A活性和基因突变对临床病程的影响。
Medicine (Baltimore). 2002 Mar;81(2):122-38. doi: 10.1097/00005792-200203000-00003.
9
Renal pathological changes in Fabry disease.法布里病的肾脏病理变化。
J Inherit Metab Dis. 2001;24 Suppl 2:66-70; discussion 65. doi: 10.1023/a:1012423924648.
10
Characterization of a mutant alpha-galactosidase gene product for the late-onset cardiac form of Fabry disease.法布里病迟发性心脏型突变α-半乳糖苷酶基因产物的特征分析
Biochem Biophys Res Commun. 1993 Dec 30;197(3):1585-9. doi: 10.1006/bbrc.1993.2659.