Department of Radiology, the First Medical Center, Chinese PLA General Hospital, Beijing, China.
Department of Radiology, Chinese PAP Hospital of Beijing, Beijing, China.
Front Immunol. 2023 Jan 12;13:1057535. doi: 10.3389/fimmu.2022.1057535. eCollection 2022.
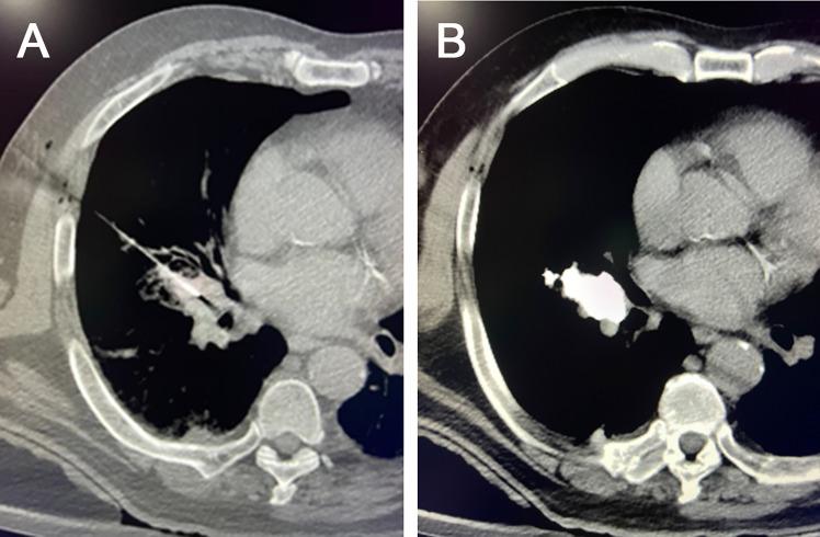
Chemical ablation was designed to inject chemical agents directly into solid tumors to kill cells and is currently only used clinically for the palliative treatment of tumors. The application and combination of different drugs, from anhydrous ethanol, and glacial acetic acid to epi-amycin, have been clinically tested for a long time. The effectiveness is unsatisfactory due to chemical agents' poor diffusion and concentration. Immunotherapy is considered a prospective oncologic therapeutic. Still, the clinical applications were limited by the low response rate of patients to immune drugs and the immune-related adverse effects caused by high doses. The advent of intratumoral immunotherapy has well addressed these issues. However, the efficacy of intratumoral immunotherapy alone is uncertain, as suggested by the results of preclinical and clinical studies. In this study, we will focus on the research of immunosuppressive tumor microenvironment with chemoablation and intratumoral immunotherapy, the synergistic effect between chemotherapeutic drugs and immunotherapy. We propose a new concept of intratumoral chemo-immunoablation. The concept opens a new perspective for tumor treatment from direct killing of tumor cells while, enhancing systemic anti-tumor immune response, and significantly reducing adverse effects of drugs.
化学消融旨在将化学药物直接注入实体瘤以杀死细胞,目前仅在临床上用于肿瘤的姑息治疗。不同药物的应用和组合,从无水乙醇和冰醋酸到表阿霉素,已经在临床上进行了长期的测试。由于化学药物扩散和浓度不佳,其效果并不理想。免疫疗法被认为是一种有前途的肿瘤治疗方法。然而,由于患者对免疫药物的反应率低以及高剂量引起的免疫相关不良反应,其临床应用受到限制。肿瘤内免疫疗法的出现很好地解决了这些问题。然而,正如临床前和临床研究的结果所示,单独使用肿瘤内免疫疗法的疗效并不确定。在这项研究中,我们将重点研究化学消融和肿瘤内免疫疗法的免疫抑制肿瘤微环境、化疗药物和免疫疗法的协同作用。我们提出了肿瘤内化疗-免疫消融的新概念。该概念为肿瘤治疗开辟了一个新的视角,即直接杀死肿瘤细胞,同时增强全身抗肿瘤免疫反应,显著降低药物的不良反应。