Suppr超能文献

全身性水肿作为儿童肠扭转的一种表现:一名11岁尼日利亚男孩的诊断和管理挑战

Anasarca as a manifestation of childhood volvulus: Diagnostic and management challenges in an 11-year old Nigerian boy.

作者信息

Babatola Adefunke Olarinre, Ige Joshua Taye, Adeniyi Adewuyi Temidayo, Abidoye Ibukun Anuoluwa, Joseph Olarewaju, Olorunfunmi Joshua, Ilori Benjamin Folorunsho, Komolafe Akinwumi Kolawole, Olatunya Oladele Simeon

机构信息

Department of Pediatrics and Child Health, Ekiti State University Teaching Hospital, Ado Ekiti, Ekiti State, Nigeria.

Department of Surgery, Ekiti State University Teaching Hospital, Ado Ekiti, Ekiti State, Nigeria.

出版信息

Caspian J Intern Med. 2023 Winter;14(1):138-142. doi: 10.22088/cjim.14.1.138.

Abstract

BACKGROUND

Small intestine volvulus occurs more commonly among younger children. It often poses diagnostic challenges when it occurs in older children and adults. For good clinical outcomes, it is essential to have prompt presentation, diagnosis and early intervention. Anasarca is not a common clinical manifestation of small intestine volvulus.

CASE PRESENTATION

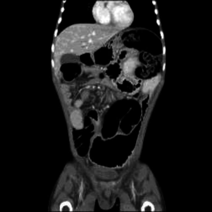
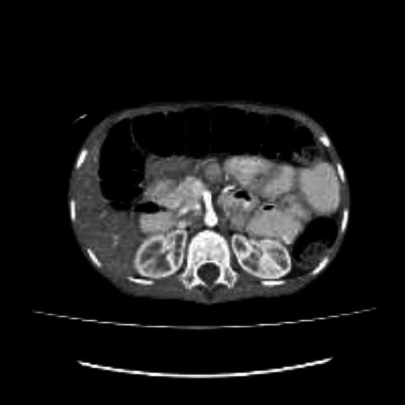
We report this unusual presentation of small intestine volvulus in an 11-year old Nigerian boy who first presented only with anasarca. While being investigated for the cause of the anasarca, he developed features of acute abdomen thought to be spontaneous bacteria peritonitis initially. He had surgery where the diagnosis of small intestine volvulus was made.

CONCLUSION

The diagnosis and management of both anasarca and small intestine volvulus could be fraught with challenges. It is possible that anasarca can be the first manifestation of small intestine volvulus.

摘要

背景

小肠扭转在年幼儿童中更为常见。当它发生在大龄儿童和成人中时,常常带来诊断挑战。为获得良好的临床结果,及时就诊、诊断和早期干预至关重要。全身性水肿并非小肠扭转的常见临床表现。

病例报告

我们报告一名11岁尼日利亚男孩小肠扭转的这一不寻常表现,他最初仅表现为全身性水肿。在对全身性水肿的病因进行检查时,他出现了急腹症症状,最初被认为是自发性细菌性腹膜炎。他接受了手术,术中诊断为小肠扭转。

结论

全身性水肿和小肠扭转的诊断与治疗都可能充满挑战。全身性水肿有可能是小肠扭转的首发表现。

https://cdn.ncbi.nlm.nih.gov/pmc/blobs/e6e8/9878898/90e068444701/cjim-14-138-g001.jpg

文献AI研究员

20分钟写一篇综述,助力文献阅读效率提升50倍。

立即体验

用中文搜PubMed

大模型驱动的PubMed中文搜索引擎

马上搜索

文档翻译

学术文献翻译模型,支持多种主流文档格式。

立即体验