Suppr超能文献

一名28岁男性因颈胸交界处幼年性黄色肉芽肿导致压迫性脊髓病的病例。

Case of compressive myelopathy due to juvenile xanthogranuloma of cervicothoracic junction in a 28-year-old male.

作者信息

Baskoro Wisnu, Pratama Muhammad Fakhri Raiyan, Christi Ayu Yoniko, Faris Muhammad, Subagio Eko Agus, Wicaksono Pandu, Kameswari Bidari

机构信息

Department of Neurosurgery, Dr. Soeradji Tirtonegoro Central Public Hospital, Klaten, Indonesia.

Department of Neurosurgery, Universitas Airlangga - Dr. Soetomo General Academic Hospital, Surabaya, Indonesia.

出版信息

Surg Neurol Int. 2023 Jan 20;14:17. doi: 10.25259/SNI_1129_2022. eCollection 2023.

Abstract

BACKGROUND

Juvenile xanthogranuloma (JXG) is a proliferative disorder of non-Langerhans histiocytes. The lesions typically occur in children as solitary cutaneous lesions, but are only rarely found in adults in their late twenties to thirties. Approximately 5-10% of JXG are extracutaneous in location, with spinal JXG being only rarely encountered. Here, we described a 28-year-old male with an extradural spinal JXG resulting in severe C6- T1 spinal cord compression and a progressive quadriparesis that warranted a decompressive laminectomy/C6-T2 fusion.

CASE DESCRIPTION

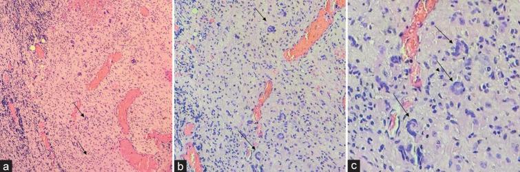
A 28-year-old male presented with a progressive quadriparesis of 12 months' duration that rapidly worsened over the last 3 months. When the MRI revealed severe cord epidural C6-T1 cord compression, the patient successfully underwent a C6-T1 laminectomy for gross total tumor excision followed by a C6-T2 instrumented fusion. The histopathology confirmed the diagnosis of a spinal JXG.

CONCLUSION

Spinal JXGs in adults are only rarely encountered and should be treated with gross total tumor excision with/without fusion to achieve the best long-term outcomes.

摘要

背景

幼年性黄色肉芽肿(JXG)是一种非朗格汉斯组织细胞的增殖性疾病。病变通常在儿童期表现为孤立性皮肤损害,但在20多岁至30多岁的成年人中很少见。约5%-10%的JXG位于皮肤外,脊髓JXG则极为罕见。在此,我们报告一例28岁男性,患有硬膜外脊髓JXG,导致严重的C6-T1脊髓压迫和进行性四肢瘫,需行减压性椎板切除术/C6-T2融合术。

病例描述

一名28岁男性,出现进行性四肢瘫12个月,在过去3个月迅速加重。MRI显示严重的硬膜外C6-T1脊髓压迫,患者成功接受了C6-T1椎板切除术以完整切除肿瘤,随后进行了C6-T2器械辅助融合术。组织病理学确诊为脊髓JXG。

结论

成人脊髓JXG极为罕见,应通过完整切除肿瘤并酌情进行融合术来治疗,以获得最佳的长期疗效。

https://cdn.ncbi.nlm.nih.gov/pmc/blobs/4d3c/9899458/57c6196fba3e/SNI-14-17-g001.jpg

文献AI研究员

20分钟写一篇综述,助力文献阅读效率提升50倍。

立即体验

用中文搜PubMed

大模型驱动的PubMed中文搜索引擎

马上搜索

文档翻译

学术文献翻译模型,支持多种主流文档格式。

立即体验