• 文献检索
  • 文档翻译
  • 深度研究
  • 学术资讯
  • Suppr Zotero 插件Zotero 插件
  • 邀请有礼
  • 套餐&价格
  • 历史记录
应用&插件
Suppr Zotero 插件Zotero 插件浏览器插件Mac 客户端Windows 客户端微信小程序
定价
高级版会员购买积分包购买API积分包
服务
文献检索文档翻译深度研究API 文档MCP 服务
关于我们
关于 Suppr公司介绍联系我们用户协议隐私条款
关注我们

Suppr 超能文献

核心技术专利:CN118964589B侵权必究
粤ICP备2023148730 号-1Suppr @ 2026

文献检索

告别复杂PubMed语法,用中文像聊天一样搜索,搜遍4000万医学文献。AI智能推荐,让科研检索更轻松。

立即免费搜索

文件翻译

保留排版,准确专业,支持PDF/Word/PPT等文件格式,支持 12+语言互译。

免费翻译文档

深度研究

AI帮你快速写综述,25分钟生成高质量综述,智能提取关键信息,辅助科研写作。

立即免费体验

肾细胞癌T分期:术前增强计算机断层扫描的诊断准确性

Renal cell carcinoma T staging: Diagnostic accuracy of preoperative contrast-enhanced computed tomography.

作者信息

Fateh Salah M, Arkawazi Lusan A, Tahir Soran H, Rashid Rezheen J, Rahman Dalshad H, Aghaways Ismaeel, Kakamad Fahmi H, Salih Abdulwahid M, Bapir Rawa, Fakhralddin Saman S, Fattah Fattah H, Abdalla Berun A, Mohammed Shvan H

机构信息

College of Medicine, University of Sulaimani, Sulaimani, Kurdistan 46000, Republic of Iraq.

Department of Scientific Affairs, Smart Health Tower, Sulaimani, Kurdistan 46000, Republic of Iraq.

出版信息

Mol Clin Oncol. 2023 Jan 11;18(2):11. doi: 10.3892/mco.2023.2607. eCollection 2023 Feb.

DOI:10.3892/mco.2023.2607
PMID:36761384
原文链接:https://pmc.ncbi.nlm.nih.gov/articles/PMC9892965/
Abstract

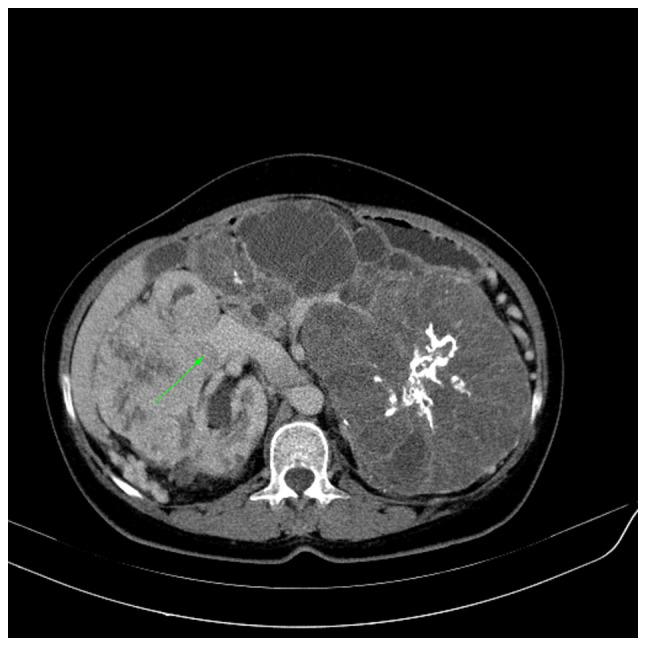
Renal cell carcinoma (RCC) accounts for 1-2% of all malignancies and is the most common renal tumor in adults. Imaging studies are used for diagnosis and staging. Tumor-Node-Metastasis staging strongly affects prognosis and management, while contrast-enhanced computed tomography (CECT) is regarded as a standard imaging technique for local and distant staging. The present study aimed to evaluate the accuracy of CECT for the preoperative staging of RCC by using surgical and pathological staging as the reference methods. This single-center prospective study was conducted between October 2019 and November 2021. The preoperative abdominal CT scans of patients suspected of having RCC were reviewed. Imaging data were collected, including tumor side and size, and perinephric fat invasion. Intraoperative notes were recorded, including the operation type, perinephric fat invasion, renal vein (RV) or inferior vena cava (IVC) tumor extension, and surrounding organ invasion. pathological data were collected on tumor size, RCC type, presence of clear margins, presence of renal capsule or perinephric fat invasion, renal sinus or pelvicalyceal system (PCS) invasion, segmental or main RV extension, and the involvement of Gerota's fascia and nearby organs. Preoperative CECT revealed that 42 out of 59 tumors had a greater maximum diameter than the pathological specimen, with an overall disparity of 0.25 cm. The specificity of CT for the detection of tumor invasion of the perinephric and renal sinus fat and PCS was 95%, and the sensitivity ranged from 80 to 88%. CT had an 83% sensitivity and a 95 specificity in detecting T4 stage cancer, with a 100% specificity for adrenal invasion. The concordance between radiographic and histological results for RV and IVC involvement was high, with specificities of 94 and 98%, and sensitivities of 80 and 100%, respectively. Overall accuracy for correct T staging was 80%. In conclusion, CECT is accurate in the local T staging of RCC, with high sensitivity and specificity for estimating tumor size and detecting extension to nearby structures and venous invasion.

摘要

肾细胞癌(RCC)占所有恶性肿瘤的1%-2%,是成人中最常见的肾脏肿瘤。影像学检查用于诊断和分期。肿瘤-淋巴结-转移分期对预后和治疗有很大影响,而对比增强计算机断层扫描(CECT)被视为局部和远处分期的标准影像学技术。本研究旨在以手术和病理分期作为参考方法,评估CECT对RCC术前分期的准确性。这项单中心前瞻性研究于2019年10月至2021年11月进行。对疑似患有RCC患者的术前腹部CT扫描进行了回顾。收集了影像学数据,包括肿瘤侧别和大小以及肾周脂肪浸润情况。记录了术中情况,包括手术类型、肾周脂肪浸润、肾静脉(RV)或下腔静脉(IVC)肿瘤延伸以及周围器官浸润情况。收集了病理数据,包括肿瘤大小、RCC类型、切缘情况、肾包膜或肾周脂肪浸润情况、肾窦或肾盂肾盏系统(PCS)浸润情况、节段性或主RV延伸情况以及肾周筋膜和附近器官的受累情况。术前CECT显示,59个肿瘤中有42个的最大直径大于病理标本,总体差异为0.25厘米。CT检测肾周和肾窦脂肪及PCS肿瘤浸润的特异性为95%,敏感性范围为80%-88%。CT检测T4期癌症的敏感性为83%,特异性为95%,对肾上腺浸润的特异性为100%。对于RV和IVC受累情况,影像学和组织学结果之间的一致性较高,特异性分别为94%和98%,敏感性分别为80%和100%。正确T分期的总体准确率为80%。总之,CECT在RCC的局部T分期中是准确的,在估计肿瘤大小以及检测向附近结构的延伸和静脉侵犯方面具有高敏感性和特异性。

https://cdn.ncbi.nlm.nih.gov/pmc/blobs/10f9/9892965/c0b27f4a5487/mco-18-02-02607-g02.jpg
https://cdn.ncbi.nlm.nih.gov/pmc/blobs/10f9/9892965/5abdfc04bcbc/mco-18-02-02607-g00.jpg
https://cdn.ncbi.nlm.nih.gov/pmc/blobs/10f9/9892965/0f0c954b12f0/mco-18-02-02607-g01.jpg
https://cdn.ncbi.nlm.nih.gov/pmc/blobs/10f9/9892965/c0b27f4a5487/mco-18-02-02607-g02.jpg
https://cdn.ncbi.nlm.nih.gov/pmc/blobs/10f9/9892965/5abdfc04bcbc/mco-18-02-02607-g00.jpg
https://cdn.ncbi.nlm.nih.gov/pmc/blobs/10f9/9892965/0f0c954b12f0/mco-18-02-02607-g01.jpg
https://cdn.ncbi.nlm.nih.gov/pmc/blobs/10f9/9892965/c0b27f4a5487/mco-18-02-02607-g02.jpg

相似文献

1
Renal cell carcinoma T staging: Diagnostic accuracy of preoperative contrast-enhanced computed tomography.肾细胞癌T分期:术前增强计算机断层扫描的诊断准确性
Mol Clin Oncol. 2023 Jan 11;18(2):11. doi: 10.3892/mco.2023.2607. eCollection 2023 Feb.
2
Prognostic value of renal vein and inferior vena cava involvement in renal cell carcinoma.肾静脉及下腔静脉受累在肾细胞癌中的预后价值
Eur Urol. 2009 Feb;55(2):452-9. doi: 10.1016/j.eururo.2008.07.053. Epub 2008 Aug 5.
3
Stage T3a renal cell carcinoma: staging accuracy of CT for sinus fat, perinephric fat or renal vein invasion.T3a期肾细胞癌:CT对窦脂肪、肾周脂肪或肾静脉侵犯的分期准确性
Br J Radiol. 2015 Jan;88(1045):20140504. doi: 10.1259/bjr.20140504.
4
Accuracy of preoperative CT T staging of renal cell carcinoma: which features predict advanced stage?肾细胞癌术前CT T分期的准确性:哪些特征可预测晚期?
Clin Radiol. 2015 Aug;70(8):822-9. doi: 10.1016/j.crad.2015.03.013. Epub 2015 May 5.
5
The accuracy of multidetector Computed Tomography for preoperative staging of renal cell carcinoma.多层螺旋 CT 对术前肾癌分期的准确性。
Int Braz J Urol. 2012 Sep-Oct;38(5):627-36. doi: 10.1590/s1677-55382012000500007.
6
Diagnostic value of MDCT in determining the perinephric fat tissue and renal sinus invasion in patients with clear cell renal cell carcinoma.多层螺旋 CT 对肾透明细胞癌患者肾周脂肪组织及肾窦侵犯的诊断价值。
Niger J Clin Pract. 2021 Apr;24(4):489-495. doi: 10.4103/njcp.njcp_242_20.
7
Is multidetector CT-scan able to detect T3a renal tumor before surgery?多排螺旋CT扫描能否在手术前检测出T3a期肾肿瘤?
Scand J Urol. 2019 Oct;53(5):350-355. doi: 10.1080/21681805.2019.1675756. Epub 2019 Oct 12.
8
Diagnostic value of multidetector computed tomography for renal sinus fat invasion in renal cell carcinoma patients.多排螺旋计算机断层扫描对肾细胞癌患者肾窦脂肪浸润的诊断价值
Eur J Radiol. 2014 Jun;83(6):914-918. doi: 10.1016/j.ejrad.2014.02.025. Epub 2014 Mar 22.
9
Update on the Role of Imaging in Clinical Staging and Restaging of Renal Cell Carcinoma Based on the AJCC 8th Edition, From the Special Series on Cancer Staging.基于第 8 版 AJCC 的肾癌临床分期和再分期中影像学作用的更新,选自癌症分期特刊。
AJR Am J Roentgenol. 2021 Sep;217(3):541-555. doi: 10.2214/AJR.21.25493. Epub 2021 Mar 24.
10
Tumor size and Fuhrman grade further enhance the prognostic impact of perinephric fat invasion and renal vein extension in T3a staging of renal cell carcinoma.肿瘤大小和富尔曼分级进一步增强了肾周脂肪浸润和肾静脉受累在肾细胞癌T3a分期中的预后影响。
Int J Urol. 2017 Jan;24(1):51-58. doi: 10.1111/iju.13237. Epub 2016 Oct 18.

引用本文的文献

1
Accuracy of Contrast-enhanced CT in Diagnosing Small-sized cT3a Renal Cell Carcinoma and Analysis of Factors Predicting Downstaging to pT1.对比增强CT诊断小尺寸cT3a期肾细胞癌的准确性及预测降期为pT1期的因素分析
In Vivo. 2025 Sep-Oct;39(5):2787-2793. doi: 10.21873/invivo.14077.
2
Enhanced staging of renal cell carcinoma using tumor morphology features: model development and multi-source validation.利用肿瘤形态学特征增强肾细胞癌分期:模型开发与多源验证
NPJ Digit Med. 2025 May 24;8(1):305. doi: 10.1038/s41746-025-01723-x.
3
Using deep learning to differentiate among histology renal tumor types in computed tomography scans.

本文引用的文献

1
WHO/ISUP classification, grading and pathological staging of renal cell carcinoma: standards and controversies.世界卫生组织/国际泌尿病理学会分类、分级和病理分期系统在肾细胞癌中的应用:标准与争议。
World J Urol. 2018 Dec;36(12):1913-1926. doi: 10.1007/s00345-018-2447-8. Epub 2018 Aug 19.
2
Metastatic renal cell carcinoma: Patterns and predictors of metastases-A contemporary population-based series.转移性肾细胞癌:转移模式与预测因素——一项基于当代人群的系列研究
Urol Oncol. 2017 Nov;35(11):661.e7-661.e14. doi: 10.1016/j.urolonc.2017.06.060. Epub 2017 Jul 17.
3
Renal cell carcinoma.
利用深度学习在计算机断层扫描中区分组织学类型的肾肿瘤。
BMC Med Imaging. 2025 Feb 26;25(1):66. doi: 10.1186/s12880-025-01606-3.
4
Diagnostic performance of CT for extrarenal fat invasion in renal cell carcinoma: a meta-analysis and systematic review.CT对肾细胞癌肾外脂肪浸润的诊断性能:一项荟萃分析和系统评价
Insights Imaging. 2025 Jan 15;16(1):19. doi: 10.1186/s13244-024-01889-0.
5
The Current State of the Diagnoses and Treatments for Clear Cell Renal Cell Carcinoma.透明细胞肾细胞癌的诊断与治疗现状
Cancers (Basel). 2024 Dec 1;16(23):4034. doi: 10.3390/cancers16234034.
6
Diagnostic value of contrast-enhanced CT in clear cell renal cell carcinoma: a systematic review and meta-analysis.增强 CT 对透明细胞肾细胞癌的诊断价值:系统评价和荟萃分析。
BMC Urol. 2024 Sep 2;24(1):189. doi: 10.1186/s12894-024-01574-w.
7
Preoperative prediction of renal fibrous capsule invasion in clear cell renal cell carcinoma using CT-based radiomics model.基于 CT 影像组学模型预测透明细胞肾细胞癌肾纤维囊侵犯的术前预测。
Br J Radiol. 2024 Sep 1;97(1161):1557-1567. doi: 10.1093/bjr/tqae122.
8
Prognostic factors in renal cell carcinoma: A single‑center study.肾细胞癌的预后因素:一项单中心研究。
Mol Clin Oncol. 2023 Jul 14;19(3):66. doi: 10.3892/mco.2023.2662. eCollection 2023 Sep.
肾细胞癌。
Nat Rev Dis Primers. 2017 Mar 9;3:17009. doi: 10.1038/nrdp.2017.9.
4
The effect of discrepancy between radiologic size and pathologic tumor size in renal cell cancer.肾细胞癌中放射学大小与病理肿瘤大小差异的影响。
Springerplus. 2016 Jun 27;5(1):899. doi: 10.1186/s40064-016-2645-z. eCollection 2016.
5
Advances of multidetector computed tomography in the characterization and staging of renal cell carcinoma.多排螺旋计算机断层扫描在肾细胞癌特征描述和分期中的进展
World J Radiol. 2015 Jun 28;7(6):110-27. doi: 10.4329/wjr.v7.i6.110.
6
Accuracy of preoperative CT T staging of renal cell carcinoma: which features predict advanced stage?肾细胞癌术前CT T分期的准确性:哪些特征可预测晚期?
Clin Radiol. 2015 Aug;70(8):822-9. doi: 10.1016/j.crad.2015.03.013. Epub 2015 May 5.
7
A comparison of radiologic tumor volume and pathologic tumor volume in renal cell carcinoma (RCC).肾细胞癌(RCC)中放射学肿瘤体积与病理学肿瘤体积的比较。
PLoS One. 2015 Mar 23;10(3):e0122019. doi: 10.1371/journal.pone.0122019. eCollection 2015.
8
Stage T3a renal cell carcinoma: staging accuracy of CT for sinus fat, perinephric fat or renal vein invasion.T3a期肾细胞癌:CT对窦脂肪、肾周脂肪或肾静脉侵犯的分期准确性
Br J Radiol. 2015 Jan;88(1045):20140504. doi: 10.1259/bjr.20140504.
9
Surgical management of renal cell carcinoma: Canadian Kidney Cancer Forum Consensus.肾细胞癌的外科治疗:加拿大肾癌论坛共识
Can Urol Assoc J. 2014 May;8(5-6):E398-412. doi: 10.5489/cuaj.1894.
10
Role of CT in the assessment of muscular venous branch invasion in patients with renal cell carcinoma.CT 在评估肾细胞癌患者肌静脉分支侵犯中的作用。
AJR Am J Roentgenol. 2013 Oct;201(4):847-52. doi: 10.2214/AJR.12.10496.