Yang Haitang, Gao Yanyun, Xu Duo, Xu Ke, Liang Shun-Qing, Yang Zhang, Scherz Amina, Hall Sean R R, Forster Stefan, Berezowska Sabina, Yao Feng, Ochsenbein Adrian F, Marti Thomas M, Kocher Gregor J, Schmid Ralph A, Dorn Patrick, Peng Ren-Wang
Department of Thoracic Surgery, Shanghai Chest Hospital, Shanghai Jiao Tong University, 200030, Shanghai, China.
Department of General Thoracic Surgery, Department of BioMedical Research (DBMR), Inselspital, Bern University Hospital, University of Bern, 3008, Bern, Switzerland.
Cell Death Discov. 2023 Feb 10;9(1):55. doi: 10.1038/s41420-023-01307-2.
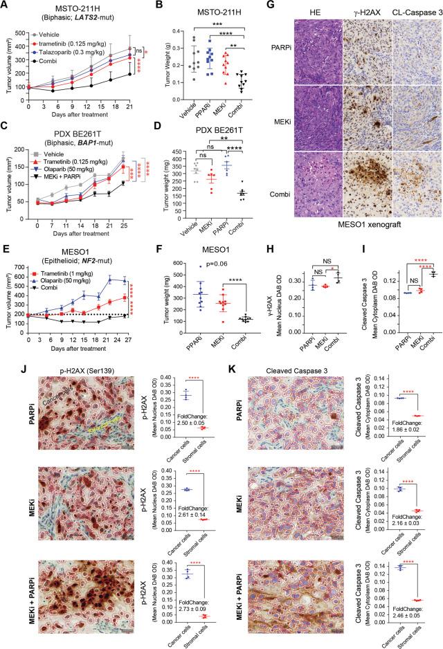
Malignant pleural mesothelioma (MPM) is a lethal malignancy etiologically caused by asbestos exposure, for which there are few effective treatment options. Although asbestos carcinogenesis is associated with reactive oxygen species (ROS), the bona fide oncogenic signaling pathways that regulate ROS homeostasis and bypass ROS-evoked apoptosis in MPM are poorly understood. In this study, we demonstrate that the mitogen-activated protein kinase (MAPK) pathway RAS-RAF-MEK-ERK is hyperactive and a molecular driver of MPM, independent of histological subtypes and genetic heterogeneity. Suppression of MAPK signaling by clinically approved MEK inhibitors (MEKi) elicits PARP1 to protect MPM cells from the cytotoxic effects of MAPK pathway blockage. Mechanistically, MEKi induces impairment of homologous recombination (HR) repair proficiency and mitochondrial metabolic activity, which is counterbalanced by pleiotropic PARP1. Consequently, the combination of MEK with PARP inhibitors enhances apoptotic cell death in vitro and in vivo that occurs through coordinated upregulation of cytotoxic ROS in MPM cells, suggesting a mechanism-based, readily translatable strategy to treat this daunting disease. Collectively, our studies uncover a previously unrecognized scenario that hyperactivation of the MAPK pathway is an essential feature of MPM and provide unprecedented evidence that MAPK signaling cooperates with PARP1 to homeostatically maintain ROS levels and escape ROS-mediated apoptosis.
恶性胸膜间皮瘤(MPM)是一种由接触石棉导致的致命性恶性肿瘤,针对该病几乎没有有效的治疗方案。尽管石棉致癌作用与活性氧(ROS)有关,但调节MPM中ROS稳态并绕过ROS引发的细胞凋亡的真正致癌信号通路仍知之甚少。在本研究中,我们证明丝裂原活化蛋白激酶(MAPK)通路RAS-RAF-MEK-ERK过度活跃,是MPM的分子驱动因素,与组织学亚型和基因异质性无关。临床批准的MEK抑制剂(MEKi)抑制MAPK信号传导会引发PARP1保护MPM细胞免受MAPK通路阻断的细胞毒性作用。从机制上讲,MEKi会导致同源重组(HR)修复能力和线粒体代谢活性受损,而多效性PARP1可对此进行平衡。因此,MEK与PARP抑制剂联合使用可在体外和体内增强凋亡性细胞死亡,这是通过MPM细胞中细胞毒性ROS的协同上调实现的,提示了一种基于机制的、易于转化的治疗这种难治性疾病的策略。总的来说,我们的研究揭示了一种以前未被认识的情况,即MAPK通路的过度激活是MPM的一个基本特征,并提供了前所未有的证据,表明MAPK信号传导与PARP1协同作用以稳态维持ROS水平并逃避ROS介导的细胞凋亡。