Suppr超能文献

梅耶-罗基坦斯基-库斯特-豪泽综合征伴全内脏转位:一例罕见病例报告。

Mayer-Rokitansky-Küster-Hauser Syndrome with Situs Inversus Totalis: A Rare Case Report.

机构信息

Department of Radiology, Faculty of Medicine Universitas Padjadjaran, Bandung, West Java, Indonesia.

出版信息

Am J Case Rep. 2023 Feb 11;24:e939011. doi: 10.12659/AJCR.939011.

Abstract

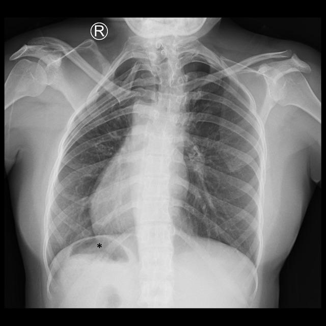
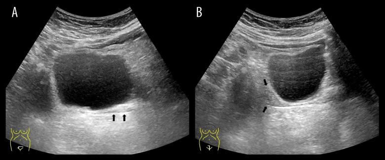
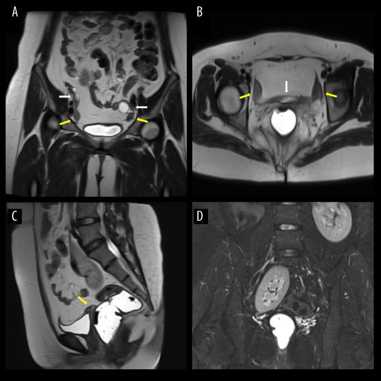
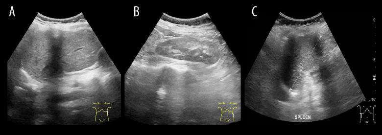
BACKGROUND Mayer-Rokitansky-Kuster-Hauser (MRKH) syndrome is a complex disorder of the female reproductive system that results in an absent uterus and vagina. MRKH syndrome can be an isolated anomaly (typical) or accompanied by other organ anomalies (atypical). Due to the similarity of symptoms with other congenital gynecological diseases, imaging modalities remain the most important tools in establishing the diagnosis by visualizing internal genital and detecting possible organ malformations. CASE REPORT We present a very rare case of a female with primary amenorrhea. Pelvic magnetic resonance imaging (MRI) showed the absence of a uterus and vagina with possible Mullerian remnants, as well as an incidental finding of a right ectopic kidney. Abdominal ultrasonography and chest X-ray showed that the patient also had situs inversus totalis. CONCLUSIONS MRKH syndrome may be associated with situs inversus totalis due to possible early embryologic malformations causing both conditions; however, the exact mechanism is still unknown. This report should serve as a more recent attempt to question whether situs inversus totalis is related to MRKH and to emphasize the importance of imaging modalities, especially MRI, in establishing the diagnosis of MRKH syndrome and the associated malformations.

摘要

背景

Mayer-Rokitansky-Kuster-Hauser(MRKH)综合征是一种女性生殖系统的复杂疾病,导致子宫和阴道缺失。MRKH 综合征可以是孤立的异常(典型)或伴有其他器官异常(非典型)。由于与其他先天性妇科疾病的症状相似,影像学仍然是通过可视化内部生殖器和检测可能的器官畸形来确立诊断的最重要工具。

病例报告

我们介绍了一例女性原发性闭经的极罕见病例。盆腔磁共振成像(MRI)显示子宫和阴道缺失,可能有苗勒管残余物,以及右侧异位肾的意外发现。腹部超声和胸部 X 线检查显示患者还患有全内脏转位。

结论

MRKH 综合征可能与全内脏转位有关,因为早期胚胎畸形可能导致这两种情况;然而,确切的机制尚不清楚。本报告旨在进一步探讨全内脏转位是否与 MRKH 有关,并强调影像学,特别是 MRI,在确立 MRKH 综合征及其相关畸形的诊断中的重要性。

https://cdn.ncbi.nlm.nih.gov/pmc/blobs/18cb/9930612/5ea7c1d5e43d/amjcaserep-24-e939011-g001.jpg

文献AI研究员

20分钟写一篇综述,助力文献阅读效率提升50倍。

立即体验

用中文搜PubMed

大模型驱动的PubMed中文搜索引擎

马上搜索

文档翻译

学术文献翻译模型,支持多种主流文档格式。

立即体验