Department of Chemistry and Biochemistry, University of Delaware, Newark, DE 19716, USA.
Department of Chemistry and Biochemistry, University of Delaware, Newark, DE 19716, USA.
J Mol Biol. 2023 Apr 15;435(8):168008. doi: 10.1016/j.jmb.2023.168008. Epub 2023 Feb 10.
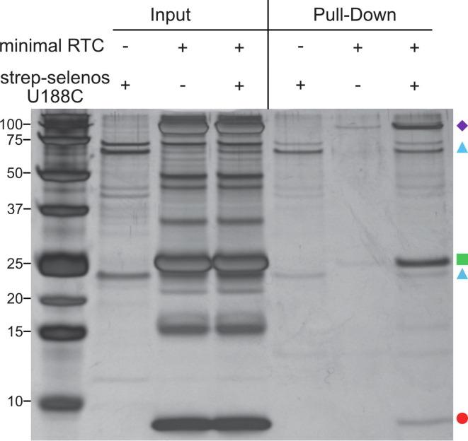
The severe acute respiratory syndrome coronavirus-2 (SARS-CoV-2) replicates and evades detection using ER membranes and their associated protein machinery. Among these hijacked human proteins is selenoprotein S (selenos). This selenoprotein takes part in the protein quality control, signaling, and the regulation of cytokine secretion. While the role of selenos in the viral life cycle is not yet known, it has been reported to interact with SARS-CoV-2 nonstructural protein 7 (nsp7), a viral protein essential for the replication of the virus. We set to study whether selenos and nsp7 interact directly and if they can still bind when nsp7 is bound to the replication and transcription complex of the virus. Using biochemical assays, we show that selenos binds directly to nsp7. In addition, we found that selenos can bind to nsp7 when it is in a complex with the coronavirus's minimal replication and transcription complex, comprised of nsp7, nsp8, and the RNA-dependent RNA polymerase nsp12. In addition, through crosslinking experiments, we mapped the interaction sites of selenos and nsp7 in the replication complex and showed that the hydrophobic segment of selenos is essential for binding to nsp7. This arrangement leaves an extended helix and the intrinsically disordered segment of selenos-including the reactive selenocysteine-exposed and free to potentially recruit additional proteins to the replication and transcription complex.
严重急性呼吸系统综合症冠状病毒 2 型(SARS-CoV-2)利用内质网膜及其相关蛋白机制进行复制和逃避检测。在这些被劫持的人类蛋白中有一种是硒蛋白 S(selenos)。这种硒蛋白参与蛋白质质量控制、信号转导以及细胞因子分泌的调节。虽然 selenos 在病毒生命周期中的作用尚不清楚,但据报道它与 SARS-CoV-2 的非结构蛋白 7(nsp7)相互作用,nsp7 是病毒复制所必需的病毒蛋白。我们着手研究 selenos 和 nsp7 是否直接相互作用,以及当 nsp7 与病毒的复制和转录复合物结合时它们是否仍然可以结合。通过生化分析,我们表明 selenos 直接与 nsp7 结合。此外,我们发现当 selenos 与冠状病毒最小的复制和转录复合物结合时,它也可以与 nsp7 结合,该复合物由 nsp7、nsp8 和 RNA 依赖性 RNA 聚合酶 nsp12 组成。此外,通过交联实验,我们确定了 selenos 和 nsp7 在复制复合物中的相互作用位点,并表明 selenos 的疏水区段对于与 nsp7 结合至关重要。这种排列方式使 selenos 的延伸螺旋和固有无序段暴露并自由,有可能将其他蛋白质募集到复制和转录复合物中。