Suppr超能文献

电化学疗法治疗外阴癌复发 - 对治疗失败的可能原因进行详细分析。

Treatment of vulvar cancer recurrences with electrochemotherapy - a detailed analysis of possible causes for unsuccessful treatment.

机构信息

Department of Gynecological Oncology, Institute of Oncology Ljubljana, Ljubljana, Slovenia.

Medical Faculty Ljubljana, University of Ljubljana, Ljubljana, Slovenia.

出版信息

Radiol Oncol. 2023 Feb 17;57(1):121-126. doi: 10.2478/raon-2023-0010. eCollection 2023 Mar 1.

Abstract

BACKGROUND

Electrochemotherapy has good local effectiveness in the treatment of vulvar cancer. Most studies have reported the safety and effectiveness of electrochemotherapy for palliative treatment of gynecological cancers and mostly vulvar squamous cell carcinoma. Some tumors, however, fail to respond to electrochemotherapy. The biological features/determinants for the nonresponsiveness are not determined yet.

PATIENT AND METHODS

A recurrence of vulvar squamous cell carcinoma was treated by electrochemotherapy using intravenous administration of bleomycin. The treatment was performed by hexagonal electrodes according to standard operating procedures. We analyzed the factors that could determine nonresponsiveness to electrochemotherapy.

RESULTS

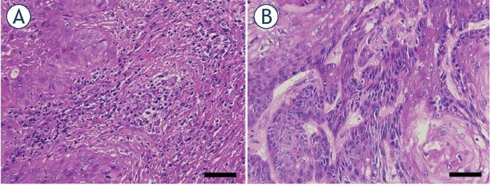
Based on the presented case of nonresponsive vulvar recurrence to electrochemotherapy, we hypothesize that the vasculature of the tumors prior to treatment may predict the response to electrochemotherapy. The histological analysis showed minimal presence of blood vessels in the tumor. Thus, low perfusion may reduce drug delivery and lead to a lower response rate because of the minor antitumor effectiveness of vascular disruption. In this case, no immune response in the tumor was elicited by electrochemotherapy.

CONCLUSIONS

In this case, of nonresponsive vulvar recurrence treated by electrochemotherapy, we analyzed possible factors that could predict treatment failure. Based on histological analysis, low vascularization of the tumor was observed, which hampered drug delivery and distribution and resulted in no vascular disrupting action of electro-chemotherapy. All these factors could contribute to ineffective treatment with electrochemotherapy.

摘要

背景

电化学疗法在治疗外阴癌方面具有良好的局部疗效。大多数研究报告了电化学疗法治疗妇科癌症(主要是外阴鳞状细胞癌)姑息治疗的安全性和有效性。然而,一些肿瘤对电化学疗法没有反应。对于无反应的生物学特征/决定因素尚未确定。

患者和方法

采用静脉注射博来霉素的电化学疗法治疗外阴鳞状细胞癌复发。根据标准操作程序使用六边形电极进行治疗。我们分析了可确定对电化学疗法无反应的因素。

结果

基于对外阴复发对电化学疗法无反应的病例分析,我们假设治疗前肿瘤的血管可能预测对电化学疗法的反应。组织学分析显示肿瘤中血管的存在极少。因此,低灌注可能会减少药物输送,并由于血管破坏的抗肿瘤作用较小而导致较低的反应率。在这种情况下,电化学疗法未在肿瘤中引发免疫反应。

结论

在本病例中,对外阴复发采用电化学疗法治疗无反应,我们分析了可能预测治疗失败的因素。基于组织学分析,观察到肿瘤的血管化程度低,这阻碍了药物输送和分布,导致电化学疗法没有血管破坏作用。所有这些因素都可能导致电化学疗法治疗效果不佳。

https://cdn.ncbi.nlm.nih.gov/pmc/blobs/fd30/10039473/d1fac316752b/raon-57-121-g001.jpg

文献AI研究员

20分钟写一篇综述,助力文献阅读效率提升50倍。

立即体验

用中文搜PubMed

大模型驱动的PubMed中文搜索引擎

马上搜索

文档翻译

学术文献翻译模型,支持多种主流文档格式。

立即体验