Suppr超能文献

lncRNA 通过破坏 WWP2 介导的 Notch1 泛素化促进转移。

lncRNA promotes metastasis by disrupting the WWP2-mediated ubiquitination of Notch1.

机构信息

MOE Laboratory of Biosystem Homeostasis and Protection, College of Life Sciences, Zhejiang University, Hangzhou, Zhejiang 310058, China.

Cancer Center, Zhejiang University, Hangzhou, Zhejiang 310058, China.

出版信息

Proc Natl Acad Sci U S A. 2023 Feb 21;120(8):e2206694120. doi: 10.1073/pnas.2206694120. Epub 2023 Feb 16.

Abstract

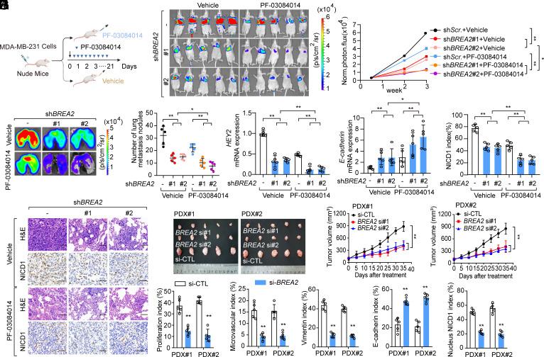
Notch has been implicated in human cancers and is a putative therapeutic target. However, the regulation of Notch activation in the nucleus remains largely uncharacterized. Therefore, characterizing the detailed mechanisms governing Notch degradation will identify attractive strategies for treating Notch-activated cancers. Here, we report that the long noncoding RNA (lncRNA) drives breast cancer metastasis by stabilizing the Notch1 intracellular domain (NICD1). Moreover, we reveal WW domain containing E3 ubiquitin protein ligase 2 (WWP2) as an E3 ligase for NICD1 at K1821 and a suppressor of breast cancer metastasis. Mechanistically, impairs WWP2-NICD1 complex formation and in turn stabilizes NICD1, leading to Notch signaling activation and lung metastasis. loss sensitizes breast cancer cells to inhibition of Notch signaling and suppresses the growth of breast cancer patient-derived xenograft tumors, highlighting its therapeutic potential in breast cancer. Taken together, these results reveal the lncRNA as a putative regulator of Notch signaling and an oncogenic player driving breast cancer metastasis.

摘要

Notch 已被牵涉到人类癌症中,是一个潜在的治疗靶点。然而,Notch 在核内的激活调控在很大程度上仍未被阐明。因此,对 Notch 降解的详细机制进行剖析,将为 Notch 激活型癌症的治疗确定有吸引力的策略。在这里,我们报告长链非编码 RNA(lncRNA)通过稳定 Notch1 细胞内结构域(NICD1)促进乳腺癌转移。此外,我们揭示了含有 WW 结构域的 E3 泛素蛋白连接酶 2(WWP2)作为 NICD1 在 K1821 的 E3 连接酶,以及乳腺癌转移的抑制因子。在机制上, 破坏了 WWP2-NICD1 复合物的形成,进而稳定了 NICD1,导致 Notch 信号的激活和肺转移。 缺失使乳腺癌细胞对 Notch 信号抑制敏感,并抑制乳腺癌患者来源的异种移植肿瘤的生长,突出了其在乳腺癌中的治疗潜力。综上所述,这些结果揭示了 lncRNA 是 Notch 信号的一个潜在调节因子,也是驱动乳腺癌转移的致癌因子。

https://cdn.ncbi.nlm.nih.gov/pmc/blobs/7e4b/9974429/f819f91d7eb5/pnas.2206694120fig01.jpg

文献检索

告别复杂PubMed语法,用中文像聊天一样搜索,搜遍4000万医学文献。AI智能推荐,让科研检索更轻松。

立即免费搜索

文件翻译

保留排版,准确专业,支持PDF/Word/PPT等文件格式,支持 12+语言互译。

免费翻译文档

深度研究

AI帮你快速写综述,25分钟生成高质量综述,智能提取关键信息,辅助科研写作。

立即免费体验