Suppr超能文献

降结肠肿物伴波氏疝梗阻:病例报告

Obstructed Descending Colon Mass Presented With Bochdalek Hernia: A Case Report.

作者信息

Eslamian Mohammad, Goharian Maryam, Ghasempour Dabaghi Ghazal, Rabiee Rad Mehrdad

机构信息

Department of Surgery, School of Medicine, Isfahan University of Medical Sciences, Isfahan, Iran.

Department of Obstetrics and Gynecology, School of Medicine, Isfahan University of Medical Sciences, Isfahan, Iran.

出版信息

Clin Med Insights Case Rep. 2023 Feb 11;16:11795476231153283. doi: 10.1177/11795476231153283. eCollection 2023.

Abstract

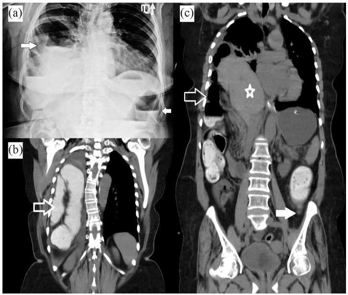
The adult Bochdalek hernia is one of the right-sided diaphragmatic hernias that less than 30 cases reported until now. Here, we report a 64-year-old female patient who presented with dyspnea, abdominal pain, and nausea. Primary imaging showed a right-sided diaphragmatic hernia that contained the liver and right colon. At first, the patient underwent a right posterior thoracotomy, and the diaphragmatic defect was repaired. After 2 days, abdominal peritonitis happened then a midline laparotomy was performed. Finally, it was clear that the main problem was the obstructed and perforated descending colon mass that was presented with Bockdalek hernia. Unfortunately, the patient passed away 2 days after the operation. It should be considered that an increase in intra-abdominal pressure like the presence of obstructed colon mass can cause this rare hernia and It is important to determine the reason for the presentation of the symptomatic Bochdalek hernia in adult patients.

摘要

成人博赫达勒克疝是右侧膈疝之一,迄今为止报道的病例不足30例。在此,我们报告一名64岁女性患者,她出现呼吸困难、腹痛和恶心症状。初步影像学检查显示右侧膈疝,疝内容物为肝脏和右结肠。起初,患者接受了右后外侧开胸手术,修复了膈肌缺损。术后2天,发生了腹部腹膜炎,随后进行了正中剖腹手术。最终明确主要问题是伴有博赫达勒克疝出现的降结肠肿块梗阻并穿孔。不幸的是,患者术后2天死亡。应考虑到像结肠肿块梗阻这样的腹内压升高可导致这种罕见疝,确定成人患者出现有症状的博赫达勒克疝的原因很重要。

https://cdn.ncbi.nlm.nih.gov/pmc/blobs/3322/9926363/1c477c084401/10.1177_11795476231153283-fig1.jpg

文献检索

告别复杂PubMed语法,用中文像聊天一样搜索,搜遍4000万医学文献。AI智能推荐,让科研检索更轻松。

立即免费搜索

文件翻译

保留排版,准确专业,支持PDF/Word/PPT等文件格式,支持 12+语言互译。

免费翻译文档

深度研究

AI帮你快速写综述,25分钟生成高质量综述,智能提取关键信息,辅助科研写作。

立即免费体验