Crețu Oana Iulia, Stepan Alex Emilian, Simionescu Cristiana Eugenia, Marinescu Daniela, Stepan Mioara Desdemona
PhD Student, Department of Pathology, University of Medicine and Pharmacy of Craiova, Romania.
Department of Pathology, University of Medicine and Pharmacy of Craiova, Romania.
Curr Health Sci J. 2022 Jul-Sep;48(3):284-291. doi: 10.12865/CHSJ.48.03.06. Epub 2022 Sep 30.
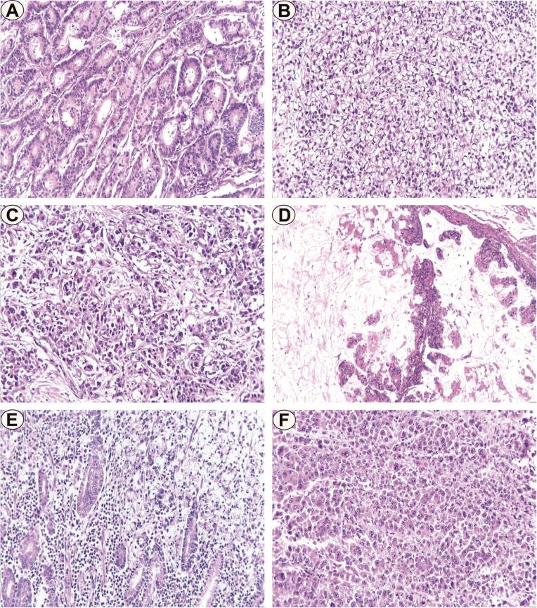
Gastric adenocarcinomas are lesions that raise important issues in clinical practice, due to their incidence and biological behavior. Over time, various systems have been used for classifying and grading of gastric adenocarcinomas, in the hope of increasing the diagnostic accuracy. In this study we statistically analyzed 112 cases of gastric adenocarcinomas in relation to different classification and grading systems, in order to identify their efficacy and concordance in the histopathological diagnosis. The results indicated a significant association of the Lauren and World Health Organization 2019 classifications and also between these and the three-tier and two-tier grading systems, which supports their practical utility in establishing the diagnosis and assessment of the tumor aggressiveness, for the differentiated therapy.
胃腺癌因其发病率和生物学行为,在临床实践中引发了重要问题。随着时间的推移,人们使用了各种系统对胃腺癌进行分类和分级,以期提高诊断准确性。在本研究中,我们对112例胃腺癌病例与不同分类和分级系统进行了统计学分析,以确定它们在组织病理学诊断中的有效性和一致性。结果表明,劳伦分类法与世界卫生组织2019年分类法之间存在显著关联,并且这两种分类法与三级和二级分级系统之间也存在显著关联,这支持了它们在确立诊断和评估肿瘤侵袭性以进行差异化治疗方面的实际效用。