Suppr超能文献

高剂量异亮氨酸可稳定细胞核中的PTEN,从而抑制肺癌的增殖。

High dose isoleucine stabilizes nuclear PTEN to suppress the proliferation of lung cancer.

作者信息

Wang Haiqing, Chen Sen, Kang Wenhui, Ding Bojiao, Cui Shulan, Zhou Li, Zhang Na, Luo Huiying, Wang Mingjuan, Zhang Fan, Zhao Zezhou, Guo Zihu, Wang Chao, Li Liang, Wang Zhengzhong, Chen Xuetong, Wang Yonghua

机构信息

Key Laboratory of Resource Biology and Biotechnology in Western China, Ministry of Education, School of Life Sciences, Northwest University, No. 229 Taibai North Road, Xi'an, 710069, Shaanxi, China.

Immune Cells and Antibody Engineering Research Center in University of Guizhou Province, Key Laboratory of Biology and Medical Engineering, School of Biology and Engineering (School of Modern Industry for Health and Medicine), Guizhou Medical University, Guiyang, 550025, China.

出版信息

Discov Oncol. 2023 Feb 23;14(1):25. doi: 10.1007/s12672-023-00634-1.

Abstract

PURPOSE

Cancer cells require a supply of amino acids, particularly essential amino acids such as branched-chain amino acids (BCAAs, i.e., valine, leucine, and isoleucine), to meet the increased nutrient demands of malignant tumors. The cell-autonomous and non-autonomous roles of altered BCAA supply have been implicated in cancer progression. The critical proteins involved in BCAA uptake, transport, metabolism, etc. serve as potential therapeutic biomarkers in human cancers. Here, we summarize the potential anti-tumor mechanism of BCAA by exploring the chain reaction triggered by increased BCAA supply in the tumor.

METHOD

A system-wide strategy was employed to provide a generic solution to establish the links between BCAA and cancer based on comprehensive omics, molecular experimentation, and data analysis.

RESULTS

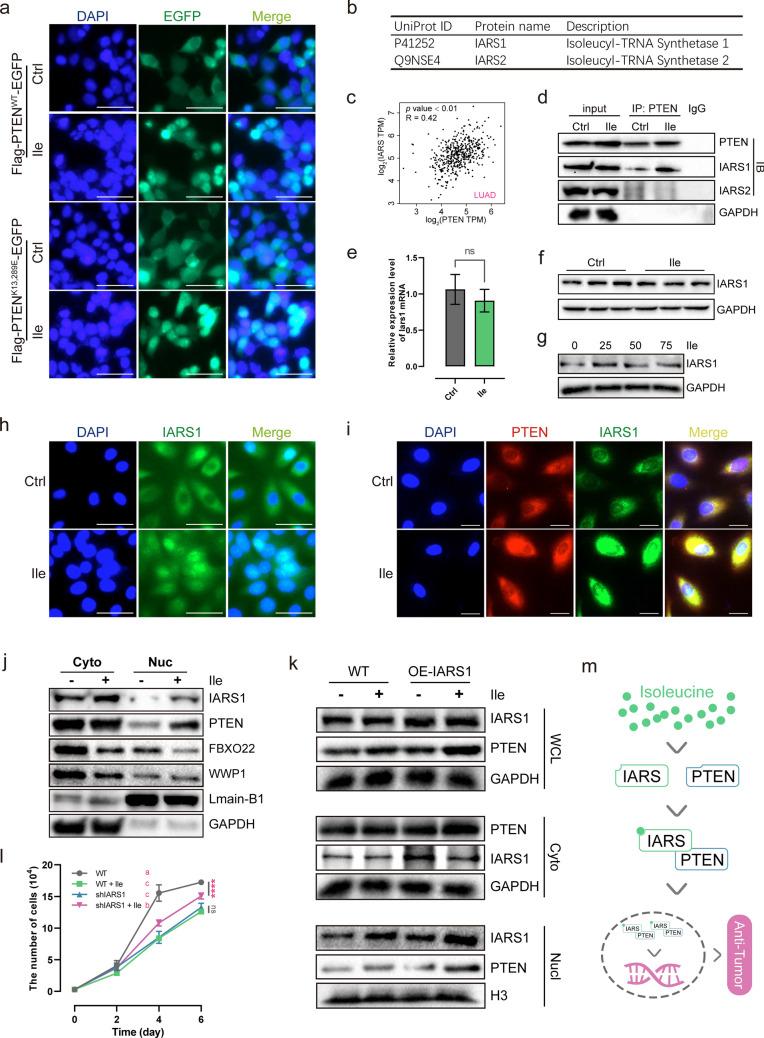
BCAA over-supplementation (900 mg/kg) significantly inhibited tumor growth and reduced tumor burden, with isoleucine having the most pronounced effect. Surprisingly, isoleucine inhibited tumor growth independently of mTORC1 activation, a classical amino acid sensor. Exploratory transcriptome analysis revealed that Phosphatase and tensin homolog (PTEN) is the critical factor in the anti-tumor effect of isoleucine. By inhibiting PTEN ubiquitination, isoleucine can promote PTEN nuclear import and maintain PTEN nuclear stability. Interestingly, this process was regulated by isoleucine-tRNA ligase, cytoplasmic (IARS), a direct target of isoleucine. We demonstrated the enhanced interaction between IARS and PTEN in the presence of excess isoleucine. At the same time, IARS knockout leads to loss of isoleucine tumor suppressor ability.

CONCLUSION

Overall, our results provide insights into the regulation of the IARS-PTEN anti-tumor axis by isoleucine and reveal a unique therapeutic approach based on enhancing cellular isoleucine supply.

摘要

目的

癌细胞需要氨基酸供应,尤其是必需氨基酸,如支链氨基酸(BCAAs,即缬氨酸、亮氨酸和异亮氨酸),以满足恶性肿瘤增加的营养需求。BCAA供应改变的细胞自主和非自主作用与癌症进展有关。参与BCAA摄取、运输、代谢等的关键蛋白可作为人类癌症潜在的治疗生物标志物。在此,我们通过探索肿瘤中BCAA供应增加引发的连锁反应,总结BCAA的潜在抗肿瘤机制。

方法

采用全系统策略,基于综合组学、分子实验和数据分析,提供一个通用解决方案来建立BCAA与癌症之间的联系。

结果

BCAA过量补充(900mg/kg)显著抑制肿瘤生长并减轻肿瘤负担,其中异亮氨酸的作用最为显著。令人惊讶的是,异亮氨酸独立于经典氨基酸传感器mTORC1激活来抑制肿瘤生长。探索性转录组分析表明,磷酸酶和张力蛋白同源物(PTEN)是异亮氨酸抗肿瘤作用的关键因素。通过抑制PTEN泛素化,异亮氨酸可促进PTEN核输入并维持PTEN核稳定性。有趣的是,这一过程受异亮氨酸直接靶点胞质异亮氨酸-tRNA连接酶(IARS)调控。我们证明了在异亮氨酸过量存在的情况下,IARS与PTEN之间的相互作用增强。同时,IARS基因敲除导致异亮氨酸的肿瘤抑制能力丧失。

结论

总体而言,我们的结果为异亮氨酸对IARS-PTEN抗肿瘤轴的调控提供了见解,并揭示了一种基于增强细胞异亮氨酸供应的独特治疗方法。

https://cdn.ncbi.nlm.nih.gov/pmc/blobs/d604/9950318/11d66c5cbd1d/12672_2023_634_Fig1_HTML.jpg

文献检索

告别复杂PubMed语法,用中文像聊天一样搜索,搜遍4000万医学文献。AI智能推荐,让科研检索更轻松。

立即免费搜索

文件翻译

保留排版,准确专业,支持PDF/Word/PPT等文件格式,支持 12+语言互译。

免费翻译文档

深度研究

AI帮你快速写综述,25分钟生成高质量综述,智能提取关键信息,辅助科研写作。

立即免费体验