• 文献检索
  • 文档翻译
  • 深度研究
  • 学术资讯
  • Suppr Zotero 插件Zotero 插件
  • 邀请有礼
  • 套餐&价格
  • 历史记录
应用&插件
Suppr Zotero 插件Zotero 插件浏览器插件Mac 客户端Windows 客户端微信小程序
定价
高级版会员购买积分包购买API积分包
服务
文献检索文档翻译深度研究API 文档MCP 服务
关于我们
关于 Suppr公司介绍联系我们用户协议隐私条款
关注我们

Suppr 超能文献

核心技术专利:CN118964589B侵权必究
粤ICP备2023148730 号-1Suppr @ 2026

文献检索

告别复杂PubMed语法,用中文像聊天一样搜索,搜遍4000万医学文献。AI智能推荐,让科研检索更轻松。

立即免费搜索

文件翻译

保留排版,准确专业,支持PDF/Word/PPT等文件格式,支持 12+语言互译。

免费翻译文档

深度研究

AI帮你快速写综述,25分钟生成高质量综述,智能提取关键信息,辅助科研写作。

立即免费体验

不同吸胀条件下大豆种子胚轴胚根细胞中脂滴的定位表明其在耐干性中的作用。

Localization of Lipid Droplets in Embryonic Axis Radicle Cells of Soybean Seeds under Various Imbibition Regimes Indicates Their Role in Desiccation Tolerance.

作者信息

Khanam Salma, Atsuzawa Kimie, Kaneko Yasuko

机构信息

Graduate School of Science and Engineering, Saitama University, Saitama 338-8570, Japan.

Comprehensive Analysis Center for Science, Saitama University, Saitama 338-8570, Japan.

出版信息

Plants (Basel). 2023 Feb 10;12(4):799. doi: 10.3390/plants12040799.

DOI:10.3390/plants12040799
PMID:36840147
原文链接:https://pmc.ncbi.nlm.nih.gov/articles/PMC9958736/
Abstract

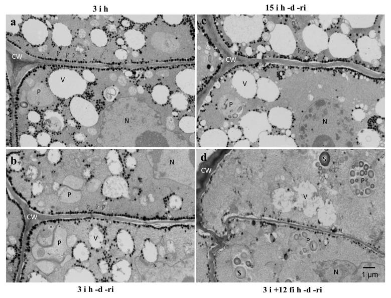
Desiccation tolerance allows plant seeds to remain viable during desiccation and subsequent re-hydration. In this study, we tried to develop an experimental system to understand the difference between desiccation tolerant and desiccation sensitive radicle cells by examining excised embryonic axes after re-desiccation and subsequent imbibition under various regimes. Embryonic axes excised from soybean ( (L.) Merr.) seeds imbibed for 3 h to 15 h which remained attached to the cotyledons during imbibition would grow normally after 24 h of desiccation and re-imbibition on wet filter paper. By contrast, when the embryonic axes excised after 3 h imbibition of seeds were kept on wet filter paper for 12 h to 16 h, their growth was significantly retarded after 24 h of desiccation and subsequent re-imbibition. Numerous lipid droplets were observed lining the plasma membrane and tonoplasts in radicle cells of desiccation tolerant embryonic axes before and after desiccation treatment. By contrast, the lipid droplets lining the plasma membrane and tonoplasts became very sparse in radicle cells that were placed for longer times on wet filter paper before desiccation. We observed a clear correlation between the amount of lipid droplets lining plasma membranes and the ability to grow after desiccation and re-imbibition of the excised embryonic axes. In addition to the reduction of lipid droplets in the cells, a gradual increase in starch grains was observed. Large starch grains accumulated in the radicle cells of those axes that failed to grow further.

摘要

耐干燥性使植物种子在干燥及随后的再水化过程中仍能保持活力。在本研究中,我们试图建立一个实验系统,通过在各种条件下对再干燥和随后吸水后的离体胚轴进行检测,来了解耐干燥和对干燥敏感的胚根细胞之间的差异。从大豆((L.) Merr.)种子中切下的胚轴在吸水3小时至15小时期间与子叶相连,在湿滤纸上干燥24小时并再吸水后能正常生长。相比之下,当种子吸水3小时后切下的胚轴在湿滤纸上放置12小时至16小时,在干燥24小时及随后再吸水后其生长显著受阻。在耐干燥胚轴的胚根细胞干燥处理前后,观察到大量脂滴排列在质膜和液泡膜内。相比之下,在干燥前在湿滤纸上放置较长时间的胚根细胞中排列在质膜和液泡膜内的脂滴变得非常稀少。我们观察到排列在质膜内的脂滴数量与离体胚轴干燥和再吸水后的生长能力之间存在明显的相关性。除了细胞内脂滴减少外,还观察到淀粉粒逐渐增加。在那些不能进一步生长的胚轴的胚根细胞中积累了大的淀粉粒。

https://cdn.ncbi.nlm.nih.gov/pmc/blobs/86fe/9958736/aa5031f6716c/plants-12-00799-g009.jpg
https://cdn.ncbi.nlm.nih.gov/pmc/blobs/86fe/9958736/07bf83f77ef0/plants-12-00799-g001.jpg
https://cdn.ncbi.nlm.nih.gov/pmc/blobs/86fe/9958736/b96aa0a01a50/plants-12-00799-g002.jpg
https://cdn.ncbi.nlm.nih.gov/pmc/blobs/86fe/9958736/009d955d5238/plants-12-00799-g003.jpg
https://cdn.ncbi.nlm.nih.gov/pmc/blobs/86fe/9958736/bbed8185e1cd/plants-12-00799-g004.jpg
https://cdn.ncbi.nlm.nih.gov/pmc/blobs/86fe/9958736/f6e4894f6dc6/plants-12-00799-g005.jpg
https://cdn.ncbi.nlm.nih.gov/pmc/blobs/86fe/9958736/b79f079f29d5/plants-12-00799-g006.jpg
https://cdn.ncbi.nlm.nih.gov/pmc/blobs/86fe/9958736/b06d31a8a703/plants-12-00799-g007.jpg
https://cdn.ncbi.nlm.nih.gov/pmc/blobs/86fe/9958736/a339ffd9e0e4/plants-12-00799-g008.jpg
https://cdn.ncbi.nlm.nih.gov/pmc/blobs/86fe/9958736/aa5031f6716c/plants-12-00799-g009.jpg
https://cdn.ncbi.nlm.nih.gov/pmc/blobs/86fe/9958736/07bf83f77ef0/plants-12-00799-g001.jpg
https://cdn.ncbi.nlm.nih.gov/pmc/blobs/86fe/9958736/b96aa0a01a50/plants-12-00799-g002.jpg
https://cdn.ncbi.nlm.nih.gov/pmc/blobs/86fe/9958736/009d955d5238/plants-12-00799-g003.jpg
https://cdn.ncbi.nlm.nih.gov/pmc/blobs/86fe/9958736/bbed8185e1cd/plants-12-00799-g004.jpg
https://cdn.ncbi.nlm.nih.gov/pmc/blobs/86fe/9958736/f6e4894f6dc6/plants-12-00799-g005.jpg
https://cdn.ncbi.nlm.nih.gov/pmc/blobs/86fe/9958736/b79f079f29d5/plants-12-00799-g006.jpg
https://cdn.ncbi.nlm.nih.gov/pmc/blobs/86fe/9958736/b06d31a8a703/plants-12-00799-g007.jpg
https://cdn.ncbi.nlm.nih.gov/pmc/blobs/86fe/9958736/a339ffd9e0e4/plants-12-00799-g008.jpg
https://cdn.ncbi.nlm.nih.gov/pmc/blobs/86fe/9958736/aa5031f6716c/plants-12-00799-g009.jpg

相似文献

1
Localization of Lipid Droplets in Embryonic Axis Radicle Cells of Soybean Seeds under Various Imbibition Regimes Indicates Their Role in Desiccation Tolerance.不同吸胀条件下大豆种子胚轴胚根细胞中脂滴的定位表明其在耐干性中的作用。
Plants (Basel). 2023 Feb 10;12(4):799. doi: 10.3390/plants12040799.
2
Using a novel CLEM system to localize lipid droplets and membranes in desiccated embryonic axis cells of soybean seeds.使用一种新型的细胞光镜和电镜联合技术系统来定位大豆种子干燥胚轴细胞中的脂滴和膜。
Microscopy (Oxf). 2023 Nov 24;72(6):506-510. doi: 10.1093/jmicro/dfad017.
3
Physiological and biochemical changes during the loss of desiccation tolerance in germinating Adenanthera pavonina L. seeds.萌发期海红豆种子脱水耐性丧失过程中的生理生化变化
An Acad Bras Cienc. 2015 Oct-Dec;87(4):2001-11. doi: 10.1590/0001-3765201520140195. Epub 2015 Nov 27.
4
Maturation proteins associated with desiccation tolerance in soybean.与大豆耐旱性相关的成熟蛋白。
Plant Physiol. 1991 Jul;96(3):868-74. doi: 10.1104/pp.96.3.868.
5
Water Relations of Seed Development and Germination in Muskmelon (Cucumis melo L.) : V. Water Relations of Imbibition and Germination.甜瓜(黄瓜属甜瓜种)种子发育与萌发的水分关系:V. 吸胀与萌发的水分关系
Plant Physiol. 1990 Apr;92(4):1046-52. doi: 10.1104/pp.92.4.1046.
6
Changing desiccation tolerance of pea embryo protoplasts during germination.豌豆胚原生质体在萌发过程中脱水耐受性的变化
J Exp Bot. 2003 Jun;54(387):1607-14. doi: 10.1093/jxb/erg170. Epub 2003 Apr 28.
7
Dehydration Injury in Germinating Soybean (Glycine max L. Merr.) Seeds.发芽大豆(Glycine max L. Merr.)种子的脱水损伤
Plant Physiol. 1983 Jul;72(3):620-4. doi: 10.1104/pp.72.3.620.
8
Sugars and desiccation tolerance in seeds.种子中的糖类与脱水耐受性
Plant Physiol. 1988 Nov;88(3):829-32. doi: 10.1104/pp.88.3.829.
9
The role of recovery of mitochondrial structure and function in desiccation tolerance of pea seeds.线粒体结构和功能的恢复在豌豆种子耐旱性中的作用。
Physiol Plant. 2012 Jan;144(1):20-34. doi: 10.1111/j.1399-3054.2011.01518.x. Epub 2011 Oct 19.
10
Characterization of Solute Efflux from Dehydration Injured Soybean (Glycine max L. Merr) Seeds.脱水损伤大豆(Glycine max L. Merr)种子溶质外排的特性分析
Plant Physiol. 1983 Aug;72(4):911-4. doi: 10.1104/pp.72.4.911.

本文引用的文献

1
The Orthodox Dry Seeds Are Alive: A Clear Example of Desiccation Tolerance.正统干燥种子具有活力:耐旱性的一个明显例子。
Plants (Basel). 2021 Dec 22;11(1):20. doi: 10.3390/plants11010020.
2
The Role of Triacylglycerol in the Protection of Cells against Lipotoxicity under Drought in Lolium multiflorum/Festucaarundinacea Introgression Forms.三酰甘油在多花黑麦草/高羊茅渐渗系抵御干旱条件下脂肪毒性中的作用。
Plant Cell Physiol. 2022 Mar 11;63(3):353-368. doi: 10.1093/pcp/pcac003.
3
Desiccation Tolerance as the Basis of Long-Term Seed Viability.
耐旱性作为长期种子活力的基础。
Int J Mol Sci. 2020 Dec 24;22(1):101. doi: 10.3390/ijms22010101.
4
Metabolic and functional connections between cytoplasmic and chloroplast triacylglycerol storage.细胞质和叶绿体三酰甘油储存之间的代谢和功能联系。
Prog Lipid Res. 2020 Nov;80:101069. doi: 10.1016/j.plipres.2020.101069. Epub 2020 Oct 27.
5
Lipid droplets in plants and algae: Distribution, formation, turnover and function.植物和藻类中的脂滴:分布、形成、周转和功能。
Semin Cell Dev Biol. 2020 Dec;108:82-93. doi: 10.1016/j.semcdb.2020.02.014. Epub 2020 Mar 5.
6
Dynamic changes in membrane lipid composition of leaves of winter wheat seedlings in response to PEG-induced water stress.PEG 诱导水分胁迫下冬小麦幼苗叶片膜脂组成的动态变化。
BMC Plant Biol. 2020 Feb 21;20(1):84. doi: 10.1186/s12870-020-2257-1.
7
Functions of triacylglycerols during plant development and stress.植物发育和胁迫过程中三酰甘油的功能。
Curr Opin Biotechnol. 2018 Feb;49:191-198. doi: 10.1016/j.copbio.2017.09.003. Epub 2017 Oct 5.
8
Late seed maturation: drying without dying.种子成熟后期:干燥而不死亡。
J Exp Bot. 2017 Feb 1;68(4):827-841. doi: 10.1093/jxb/erw363.
9
Acquisition and loss of desiccation tolerance in seeds: from experimental model to biological relevance.种子中干燥耐受性的获得与丧失:从实验模型到生物学意义
Planta. 2015 Mar;241(3):563-77. doi: 10.1007/s00425-014-2240-x. Epub 2015 Jan 8.
10
Effects of trans fats on prostacyclin production.反式脂肪酸对前列环素生成的影响。
Scand Cardiovasc J. 2013 Dec;47(6):377-82. doi: 10.3109/14017431.2013.856462. Epub 2013 Nov 14.