• 文献检索
  • 文档翻译
  • 深度研究
  • 学术资讯
  • Suppr Zotero 插件Zotero 插件
  • 邀请有礼
  • 套餐&价格
  • 历史记录
应用&插件
Suppr Zotero 插件Zotero 插件浏览器插件Mac 客户端Windows 客户端微信小程序
定价
高级版会员购买积分包购买API积分包
服务
文献检索文档翻译深度研究API 文档MCP 服务
关于我们
关于 Suppr公司介绍联系我们用户协议隐私条款
关注我们

Suppr 超能文献

核心技术专利:CN118964589B侵权必究
粤ICP备2023148730 号-1Suppr @ 2026

文献检索

告别复杂PubMed语法,用中文像聊天一样搜索,搜遍4000万医学文献。AI智能推荐,让科研检索更轻松。

立即免费搜索

文件翻译

保留排版,准确专业,支持PDF/Word/PPT等文件格式,支持 12+语言互译。

免费翻译文档

深度研究

AI帮你快速写综述,25分钟生成高质量综述,智能提取关键信息,辅助科研写作。

立即免费体验

G9a的高表达诱导肝癌细胞对顺铂耐药。

High Expression of G9a Induces Cisplatin Resistance in Hepatocellular Carcinoma.

作者信息

Fu Junhao, Yu Min, Xu Wenxia, Yu Shian

机构信息

Central Laboratory, Affiliated Jinhua Hospital, Zhejiang University School of Medicine, Jinhua, Zhejiang Province, China.

Department of Hepatobiliary and Pancreatic Surgery, Affiliated Jinhua Hospital, Zhejiang University School of Medicine, Jinhua, Zhejiang Province, China.

出版信息

Cell J. 2023 Feb 1;25(2):118-125. doi: 10.22074/cellj.2022.557564.1077.

DOI:10.22074/cellj.2022.557564.1077
PMID:36840458
原文链接:https://pmc.ncbi.nlm.nih.gov/articles/PMC9968374/
Abstract

OBJECTIVE

Chemotherapeutic drug resistance is the main obstacle that affects the efficacy of current therapies of hepatocellular carcinoma (HCC), which needs to be addressed urgently. High expression of histone methyltransferase G9a was reported to play a pivotal role in the progression of HCC. Regulatory mechanism of aberrant activation of G9a in HCC and the association with subsequent cisplatin (DDP) resistance still remains ambiguous. This study strived to investigate mechanism of G9a overexpression and its impact on cisplatin resistance in HCC cells.

MATERIALS AND METHODS

In this experimental study, we investigated effects of different concentrations of cisplatin in combination with BIX-01294 or PR-619 on viability and apoptosis of HuH7 and SNU387 cells via CCK-8 kit and flow cytometric analysis, respectively. Colony formation capacity was applied to evaluate effect of cisplatin with or without BIX-01294 on cell proliferation, and western blotting was used to verify expression level of the related proteins. Global mRNA expression profile analysis was adopted to identify differentially expressed genes associated with overexpression of G9a.

RESULTS

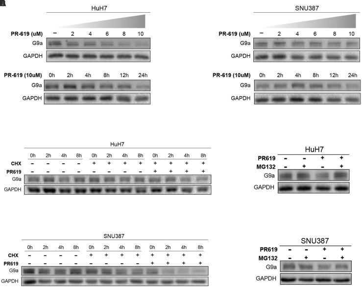
We observed that overexpression of G9a admittedly promoted cisplatin resistance in HCC cells. Global mRNA expression profile analysis after G9a inhibition showed that DNA repair and cell cycle progression were downregulated. Moreover, we identified that deubiquitination enzymes (DUBs) stabilized high expression of G9a in HCC through deubiquitination. Additionally, cisplatin could significantly inhibit proliferation of DUBs-deficient HCC cells, while promoting their apoptosis.

CONCLUSION

Collectively, our data indicated that DUBs stabilize G9a through deubiquitination, thereby participating in the cisplatin resistance of HCC cells. The elucidation of this mechanism contributes to propose a potential alternative intervention strategy for the treatment of HCC patients harboring high G9a levels.

摘要

目的

化疗耐药是影响当前肝细胞癌(HCC)治疗疗效的主要障碍,亟待解决。据报道,组蛋白甲基转移酶G9a的高表达在HCC进展中起关键作用。HCC中G9a异常激活的调控机制及其与随后顺铂(DDP)耐药的关联仍不明确。本研究旨在探讨G9a过表达的机制及其对HCC细胞顺铂耐药的影响。

材料与方法

在本实验研究中,我们分别通过CCK-8试剂盒和流式细胞术分析,研究了不同浓度顺铂联合BIX-01294或PR-619对HuH7和SNU387细胞活力和凋亡的影响。采用集落形成能力评估顺铂联合或不联合BIX-01294对细胞增殖的影响,并用蛋白质印迹法验证相关蛋白的表达水平。采用全基因组mRNA表达谱分析来鉴定与G9a过表达相关的差异表达基因。

结果

我们观察到G9a过表达确实促进了HCC细胞的顺铂耐药。G9a抑制后的全基因组mRNA表达谱分析表明,DNA修复和细胞周期进程下调。此外,我们发现去泛素化酶(DUBs)通过去泛素化稳定了HCC中G9a的高表达。此外,顺铂可显著抑制DUBs缺陷型HCC细胞的增殖,同时促进其凋亡。

结论

总体而言,我们的数据表明DUBs通过去泛素化稳定G9a,从而参与HCC细胞的顺铂耐药。对这一机制的阐明有助于提出一种潜在的替代干预策略,用于治疗G9a水平高的HCC患者。

https://cdn.ncbi.nlm.nih.gov/pmc/blobs/0f88/9968374/1450d210a5f9/Cell-J-25-118-g04.jpg
https://cdn.ncbi.nlm.nih.gov/pmc/blobs/0f88/9968374/0ab2933d67a7/Cell-J-25-118-g01.jpg
https://cdn.ncbi.nlm.nih.gov/pmc/blobs/0f88/9968374/9a1c09ba1214/Cell-J-25-118-g02.jpg
https://cdn.ncbi.nlm.nih.gov/pmc/blobs/0f88/9968374/79f5d909e49e/Cell-J-25-118-g03.jpg
https://cdn.ncbi.nlm.nih.gov/pmc/blobs/0f88/9968374/1450d210a5f9/Cell-J-25-118-g04.jpg
https://cdn.ncbi.nlm.nih.gov/pmc/blobs/0f88/9968374/0ab2933d67a7/Cell-J-25-118-g01.jpg
https://cdn.ncbi.nlm.nih.gov/pmc/blobs/0f88/9968374/9a1c09ba1214/Cell-J-25-118-g02.jpg
https://cdn.ncbi.nlm.nih.gov/pmc/blobs/0f88/9968374/79f5d909e49e/Cell-J-25-118-g03.jpg
https://cdn.ncbi.nlm.nih.gov/pmc/blobs/0f88/9968374/1450d210a5f9/Cell-J-25-118-g04.jpg

相似文献

1
High Expression of G9a Induces Cisplatin Resistance in Hepatocellular Carcinoma.G9a的高表达诱导肝癌细胞对顺铂耐药。
Cell J. 2023 Feb 1;25(2):118-125. doi: 10.22074/cellj.2022.557564.1077.
2
Histone lysine methyltransferase G9a is a novel epigenetic target for the treatment of hepatocellular carcinoma.组蛋白赖氨酸甲基转移酶G9a是治疗肝细胞癌的一个新的表观遗传靶点。
Oncotarget. 2017 Mar 28;8(13):21315-21326. doi: 10.18632/oncotarget.15528.
3
Histone Methyltransferase G9a-Promoted Progression of Hepatocellular Carcinoma Is Targeted by Liver-Specific Hsa-miR-122.组蛋白甲基转移酶G9a促进的肝细胞癌进展被肝脏特异性的人源miR-122靶向作用。
Cancers (Basel). 2021 May 14;13(10):2376. doi: 10.3390/cancers13102376.
4
Increased expression of G9A contributes to carcinogenesis and indicates poor prognosis in hepatocellular carcinoma.G9A表达增加促进肝癌发生并提示肝细胞癌预后不良。
Oncol Lett. 2018 Jun;15(6):9757-9765. doi: 10.3892/ol.2018.8572. Epub 2018 Apr 25.
5
Dual Targeting of Histone Methyltransferase G9a and DNA-Methyltransferase 1 for the Treatment of Experimental Hepatocellular Carcinoma.组蛋白甲基转移酶 G9a 和 DNA 甲基转移酶 1 的双重靶向治疗实验性肝细胞癌。
Hepatology. 2019 Feb;69(2):587-603. doi: 10.1002/hep.30168. Epub 2019 Jan 4.
6
Circular RNA hsa_circ_0096157 contributes to cisplatin resistance by proliferation, cell cycle progression, and suppressing apoptosis of non-small-cell lung carcinoma cells.环状 RNA hsa_circ_0096157 通过促进非小细胞肺癌细胞增殖、细胞周期进程和抑制细胞凋亡来促进顺铂耐药性。
Mol Cell Biochem. 2020 Dec;475(1-2):63-77. doi: 10.1007/s11010-020-03860-1. Epub 2020 Aug 6.
7
Histone Methyltransferase G9a Drives Chemotherapy Resistance by Regulating the Glutamate-Cysteine Ligase Catalytic Subunit in Head and Neck Squamous Cell Carcinoma.组蛋白甲基转移酶 G9a 通过调节头颈部鳞状细胞癌中的谷氨酸-半胱氨酸连接酶催化亚单位促进化疗耐药。
Mol Cancer Ther. 2017 Jul;16(7):1421-1434. doi: 10.1158/1535-7163.MCT-16-0567-T. Epub 2017 Mar 6.
8
[Inhibition of G9a attenuates cell proliferation via the mitochondrial apoptosis pathway in lung adenocarcinoma].抑制G9a通过线粒体凋亡途径减弱肺腺癌中的细胞增殖
Zhonghua Zhong Liu Za Zhi. 2017 Jan 23;39(1):13-17. doi: 10.3760/cma.j.issn.0253-3766.2017.01.003.
9
Histone methyltransferase G9a promotes liver cancer development by epigenetic silencing of tumor suppressor gene RARRES3.组蛋白甲基转移酶 G9a 通过表观遗传沉默肿瘤抑制基因 RARRES3 促进肝癌的发展。
J Hepatol. 2017 Oct;67(4):758-769. doi: 10.1016/j.jhep.2017.05.015. Epub 2017 May 19.
10
Long non-coding RNA FGD5-AS1 contributes to cisplatin resistance in hepatocellular carcinoma via sponging microRNA-153-3p by upregulating Twinfilin Actin Binding Protein 1 (TWF1).长链非编码 RNA FGD5-AS1 通过上调双纤维蛋白肌动蛋白结合蛋白 1(TWF1)来海绵吸附 microRNA-153-3p,从而促进肝癌顺铂耐药。
Bioengineered. 2021 Dec;12(1):6713-6723. doi: 10.1080/21655979.2021.1971484.

引用本文的文献

1
Targeted Delivery to Dying Cells Through P-Selectin-PSGL-1 Axis: A Promising Strategy for Enhanced Drug Efficacy in Liver Injury Models.通过 P-选择素-PSGL-1 轴靶向递送至濒死细胞:一种增强肝损伤模型中药物疗效的有前途的策略。
Cells. 2024 Oct 27;13(21):1778. doi: 10.3390/cells13211778.
2
The Role and Mechanism of the Histone Methyltransferase G9a in Tumors: Update.组蛋白甲基转移酶G9a在肿瘤中的作用及机制:最新进展
Onco Targets Ther. 2024 May 30;17:449-462. doi: 10.2147/OTT.S451108. eCollection 2024.

本文引用的文献

1
Advanced therapeutic modalities in hepatocellular carcinoma: Novel insights.肝细胞癌的先进治疗方法:新的见解。
J Cell Mol Med. 2021 Sep;25(18):8602-8614. doi: 10.1111/jcmm.16875. Epub 2021 Aug 23.
2
EHMT2 promotes the pathogenesis of hepatocellular carcinoma by epigenetically silencing APC expression.EHMT2通过表观遗传沉默APC表达促进肝细胞癌的发病机制。
Cell Biosci. 2021 Aug 3;11(1):152. doi: 10.1186/s13578-021-00663-9.
3
Epigenetics in hepatocellular carcinoma.肝细胞癌中的表观遗传学。
Semin Cancer Biol. 2022 Nov;86(Pt 3):622-632. doi: 10.1016/j.semcancer.2021.07.017. Epub 2021 Jul 26.
4
USP29-mediated HIF1α stabilization is associated with Sorafenib resistance of hepatocellular carcinoma cells by upregulating glycolysis.USP29介导的HIF1α稳定通过上调糖酵解与肝癌细胞的索拉非尼耐药相关。
Oncogenesis. 2021 Jul 16;10(7):52. doi: 10.1038/s41389-021-00338-7.
5
USP1-dependent RPS16 protein stability drives growth and metastasis of human hepatocellular carcinoma cells.USP1 依赖性 RPS16 蛋白稳定性驱动人肝细胞癌细胞的生长和转移。
J Exp Clin Cancer Res. 2021 Jun 21;40(1):201. doi: 10.1186/s13046-021-02008-3.
6
Global Cancer Statistics 2020: GLOBOCAN Estimates of Incidence and Mortality Worldwide for 36 Cancers in 185 Countries.《全球癌症统计数据 2020:全球 185 个国家和地区 36 种癌症的发病率和死亡率估计》。
CA Cancer J Clin. 2021 May;71(3):209-249. doi: 10.3322/caac.21660. Epub 2021 Feb 4.
7
Inhibition of histone methyltransferase G9a attenuates liver cancer initiation by sensitizing DNA-damaged hepatocytes to p53-induced apoptosis.组蛋白甲基转移酶 G9a 的抑制通过使 DNA 损伤的肝细胞对 p53 诱导的细胞凋亡敏感来减弱肝癌的发生。
Cell Death Dis. 2021 Jan 19;12(1):99. doi: 10.1038/s41419-020-03381-1.
8
Autophagy and gastrointestinal cancers: the behind the scenes role of long non-coding RNAs in initiation, progression, and treatment resistance.自噬与胃肠道癌症:长链非编码 RNA 在起始、进展和治疗抵抗中的幕后角色。
Cancer Gene Ther. 2021 Dec;28(12):1229-1255. doi: 10.1038/s41417-020-00272-7. Epub 2021 Jan 11.
9
Recent progress in treatment of hepatocellular carcinoma.肝细胞癌治疗的最新进展
Am J Cancer Res. 2020 Sep 1;10(9):2993-3036. eCollection 2020.
10
Modern therapeutic approaches for the treatment of malignant liver tumours.现代治疗恶性肝肿瘤的方法。
Nat Rev Gastroenterol Hepatol. 2020 Dec;17(12):755-772. doi: 10.1038/s41575-020-0314-8. Epub 2020 Jul 17.