Suppr超能文献

新型冠状病毒肺炎感染后慢性嗓音障碍及其使用环甲膜遮罩手法治疗:病例报告。

Chronic voice disorder after coronavirus disease 2019 infection and its treatment using the cricothyroid visor maneuver: a case report.

机构信息

Department of Speech Language Pathology, School of Rehabilitation Sciences, Iran University of Medical Sciences, Madadkaran St., Shahnazari Ave., Mirdamad Blvd., Madar Sq., Tehran, Iran.

Rehabilitation Sciences Research Center, Zahedan University of Medical Sciences, Zahedan, Iran.

出版信息

J Med Case Rep. 2023 Feb 26;17(1):67. doi: 10.1186/s13256-023-03780-w.

Abstract

BACKGROUND

Regarding human coronavirus, the severe acute respiratory syndrome coronavirus 2 pandemic, the novelty of disease, and consequently the lack of studies, the etiology of dysphonia in patients with coronavirus disease 2019 is still unknown and needs to be investigated. The purpose of the current study is to investigate the effect of a new manual therapy technique, cricothyroid visor maneuver, on muscle tension dysphonia symptoms for a patient who had experienced dysphonia symptoms due to the coronavirus disease 2019 infection.

CASE PRESENTATION

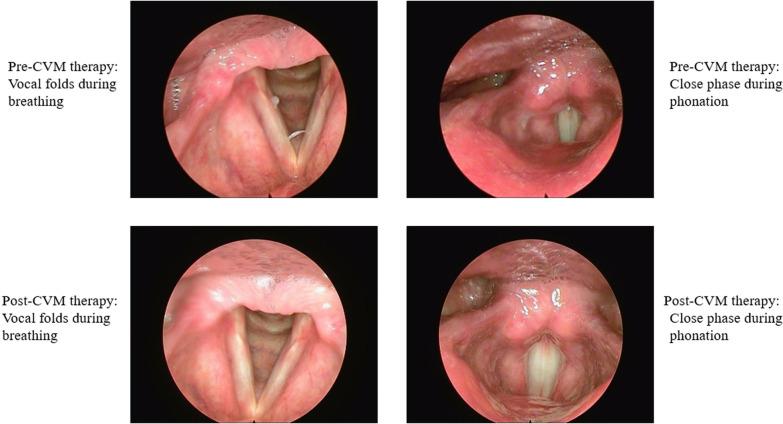
A 55-year-old retired Iranian teacher who was diagnosed with muscle tension dysphonia by an otolaryngologist participated in this study. Fifty days before being referred to an otolaryngologist, he was diagnosed with coronavirus disease 2019 on the basis of the results of a standard laboratory test, namely real-time polymerase chain reaction. Treatment was provided in ten sessions. Pre- and post-treatment audio recordings of sustained vowels, selected sentences, and connected speech samples were submitted for auditory perceptual and acoustic analysis to assess the effects of the treatment program. Also, videolaryngostroboscopy voice quality perceptions by the patient, both before and after therapy, were assessed. The reduction in all features of the Consensus Auditory-Perceptual Evaluation of Voice was observed. The results of acoustic assessment showed that jitter (35.13%) and shimmer (20.48%) decreased; moreover, the harmonics-to-noise ratio (1.17%), cepstral peak prominence smoothed (28.53%) and maximum phonation time (15.5%) increased after treatment sessions. The scores of four parameters of Stroboscopy Examination Rating Form (SERF) form changed after cricothyroid visor maneuver therapy. Also, the visual analog scales score at the pre-treatment assessment was 40, and increased to 90 at the post-treatment assessment.

CONCLUSIONS

The effectiveness of cricothyroid visor maneuver therapy on dysphonia associated with coronavirus disease 2019 was investigated in the current study. This case study has highlighted chronic dysphonia after coronavirus disease 2019 infection, and suggests that the cricothyroid visor maneuver therapy approach may have positive outcomes for patients with muscle tension dysphonia with this background.

摘要

背景

关于人类冠状病毒,严重急性呼吸综合征冠状病毒 2 大流行,疾病的新颖性,以及因此缺乏研究,2019 年冠状病毒病患者发声困难的病因尚不清楚,需要进行调查。本研究的目的是调查一种新的手动治疗技术,环甲膜扇面手法,对因 2019 年冠状病毒病感染而出现发声困难症状的患者的肌肉紧张性发声困难症状的影响。

病例介绍

一名 55 岁的伊朗退休教师,因声带肌紧张性发声障碍被耳鼻喉科医生诊断,参加了这项研究。在被耳鼻喉科医生转介前 50 天,他基于标准实验室检测,即实时聚合酶链反应的结果,被诊断出患有 2019 年冠状病毒病。共进行了 10 次治疗。治疗前后分别提交了持续元音、选定句子和连续言语样本的听觉感知和声学分析的录音,以评估治疗方案的效果。此外,在治疗前后,通过视频喉镜声质量感知评估患者的声质量感知。观察到所有共识听觉感知评估嗓音的特征都得到了降低。声学评估结果显示,抖动(35.13%)和闪烁(20.48%)减少;此外,谐噪比(1.17%)、倒谱峰峰值平滑度(28.53%)和最长发声时间(15.5%)在治疗后增加。声带检查评分表(SERF)的四个参数在环甲膜扇面手法治疗后发生变化。此外,治疗前评估的视觉模拟量表评分为 40,治疗后评估增加到 90。

结论

本研究调查了环甲膜扇面手法治疗与 2019 年冠状病毒病相关发声困难的疗效。本病例研究强调了 2019 年冠状病毒病感染后慢性发声困难,并提示环甲膜扇面手法治疗方法可能对有此背景的声带肌紧张性发声困难患者有积极的结果。

https://cdn.ncbi.nlm.nih.gov/pmc/blobs/ae0a/9968411/cfe9c02dd503/13256_2023_3780_Fig1_HTML.jpg

文献AI研究员

20分钟写一篇综述,助力文献阅读效率提升50倍。

立即体验

用中文搜PubMed

大模型驱动的PubMed中文搜索引擎

马上搜索

文档翻译

学术文献翻译模型,支持多种主流文档格式。

立即体验