Suppr超能文献

比较血管内大 B 细胞淋巴瘤患者和晚期弥漫性大 B 细胞淋巴瘤患者的血清 sIL-2R 和 LDH 水平。

Comparison of serum sIL-2R and LDH levels in patients with intravascular large B-cell lymphoma and patients with advanced stage diffuse large B-cell lymphoma.

机构信息

Department of Nursing, Okayama University Graduate School of Health Sciences, Okayama, Japan.

Department of Molecular Hematopathology, Okayama University Graduate School of Health Sciences, Okayama, Japan.

出版信息

J Clin Exp Hematop. 2023 Mar 28;63(1):25-31. doi: 10.3960/jslrt.22043. Epub 2023 Mar 26.

Abstract

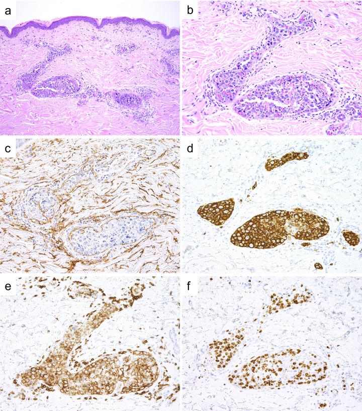
Intravascular large B-cell lymphoma (IVL) is a rare type of lymphoma characterized by tumor growth selectively within the vessels. The 5 edition of the World Health Organization classification defines IVL as a large B-cell lymphoma, the same as diffuse large B-cell lymphoma, not otherwise specified (DLBCL, NOS). Since the clinical manifestations of IVL are nonspecific, the diagnosis is time-consuming, and the course is often fatal. Serum soluble interleukin-2 receptor (sIL-2R) and serum lactate dehydrogenase (LDH) levels are known to be elevated in a variety of lymphomas. However, the mechanism of sIL-2R elevation in B-cell lymphomas is not fully understood. In this study, we analyzed the serum level of laboratory findings, including sIL-2R and LDH, as well as the presence of B symptoms in 39 patients with IVL, and compared them with 56 patients with stage IV DLBCL. Both sIL-2R and LDH levels were significantly higher in IVL than in DLBCL (p = 0.035 and p = 0.002, respectively). In IVL, there were no significant differences in both sIL-2R and LDH levels between patients with and without B symptoms (p = 0.206 and p = 0.441, respectively). However, in DLBCL, both sIL-2R and LDH levels were significantly higher in the presence of B symptoms (p = 0.001 and p < 0.001, respectively). The high sIL-2R and LDH levels in IVL may be related to the peripheral blood microenvironment, but further studies are needed to verify this.

摘要

血管内大 B 细胞淋巴瘤(IVL)是一种罕见的淋巴瘤,其特征是肿瘤选择性地在血管内生长。世界卫生组织第五版分类将 IVL 定义为一种大 B 细胞淋巴瘤,与未特指的弥漫性大 B 细胞淋巴瘤(DLBCL,NOS)相同。由于 IVL 的临床表现不特异,诊断耗时,且病程常是致命的。血清可溶性白细胞介素 2 受体(sIL-2R)和血清乳酸脱氢酶(LDH)水平已知在各种淋巴瘤中升高。然而,B 细胞淋巴瘤中 sIL-2R 升高的机制尚未完全阐明。在这项研究中,我们分析了 39 例 IVL 患者的实验室检查结果,包括 sIL-2R 和 LDH 水平,以及 B 症状的存在,并与 56 例 IV 期 DLBCL 患者进行了比较。IVL 患者的 sIL-2R 和 LDH 水平均显著高于 DLBCL 患者(p = 0.035 和 p = 0.002)。在 IVL 患者中,有无 B 症状患者的 sIL-2R 和 LDH 水平无显著差异(p = 0.206 和 p = 0.441)。然而,在 DLBCL 患者中,有 B 症状患者的 sIL-2R 和 LDH 水平显著更高(p = 0.001 和 p < 0.001)。IVL 中高的 sIL-2R 和 LDH 水平可能与外周血微环境有关,但需要进一步的研究来验证这一点。

https://cdn.ncbi.nlm.nih.gov/pmc/blobs/a2f3/10158718/81ca2490860d/jslrt-63-25-g001.jpg

文献AI研究员

20分钟写一篇综述,助力文献阅读效率提升50倍。

立即体验

用中文搜PubMed

大模型驱动的PubMed中文搜索引擎

马上搜索

文档翻译

学术文献翻译模型,支持多种主流文档格式。

立即体验