Erdani Danijel, Topolovec Matevž, Hero Nikša, Brumat Peter
Department of Spine Surgery, Valdoltra Orthopaedic Hospital, Jadranska cesta 31, 6280 Ankaran, Slovenia.
Faculty of Medicine, University of Ljubljana, Vrazov trg 2, 1000 Ljubljana, Slovenia.
J Surg Case Rep. 2023 Feb 23;2023(2):rjad070. doi: 10.1093/jscr/rjad070. eCollection 2023 Feb.
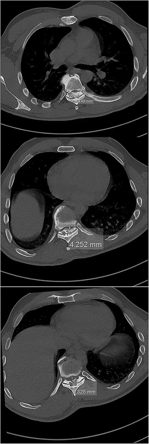
The ossification of the ligamentum flavum (OLF) presents a significant risk factor in the development of spinal cord compression in the (lower) thoracic spine, particularly in eastern Asian elderly males. The definite causes for OLF have not yet been fully uncovered, whereby age, genetics, metabolic disorders and mechanical stress are deemed among the most plausible pathophysiological factors in OLF. Spinal deformities (mostly kyphotic) are associated with an excess in tensile forces, which may lead to hypertrophy and OLF. This unique case of OLF-related acute paraplegia and progressive thoracic myelopathy in a Central-European male patient may indicate the role of a (kyphoscoliotic) spinal deformity in the initiation and progression of the OLF-related (thoracic) myelopathy. Promptly initiated surgical decompression and (partial) deformity correction may, along with proper subsequent intradisciplinary rehabilitation process, greatly improve the clinical outcome post-treatment, especially in terms of quality of life and residual pain.
黄韧带骨化(OLF)是(下)胸椎脊髓受压发展的一个重要危险因素,在东亚老年男性中尤为如此。OLF的确切病因尚未完全明确,年龄、遗传、代谢紊乱和机械应力被认为是OLF最合理的病理生理因素。脊柱畸形(大多为后凸畸形)与张力过大有关,这可能导致黄韧带肥厚和骨化。一名中欧男性患者出现的这种与OLF相关的急性截瘫和进行性胸段脊髓病的独特病例,可能表明(脊柱侧后凸)脊柱畸形在与OLF相关的(胸段)脊髓病的发生和发展中所起的作用。及时进行手术减压和(部分)畸形矫正,再加上适当的后续跨学科康复过程,可能会极大地改善治疗后的临床结果,尤其是在生活质量和残余疼痛方面。