• 文献检索
  • 文档翻译
  • 深度研究
  • 学术资讯
  • Suppr Zotero 插件Zotero 插件
  • 邀请有礼
  • 套餐&价格
  • 历史记录
应用&插件
Suppr Zotero 插件Zotero 插件浏览器插件Mac 客户端Windows 客户端微信小程序
定价
高级版会员购买积分包购买API积分包
服务
文献检索文档翻译深度研究API 文档MCP 服务
关于我们
关于 Suppr公司介绍联系我们用户协议隐私条款
关注我们

Suppr 超能文献

核心技术专利:CN118964589B侵权必究
粤ICP备2023148730 号-1Suppr @ 2026

文献检索

告别复杂PubMed语法,用中文像聊天一样搜索,搜遍4000万医学文献。AI智能推荐,让科研检索更轻松。

立即免费搜索

文件翻译

保留排版,准确专业,支持PDF/Word/PPT等文件格式,支持 12+语言互译。

免费翻译文档

深度研究

AI帮你快速写综述,25分钟生成高质量综述,智能提取关键信息,辅助科研写作。

立即免费体验

叉头框蛋白 L2 是 miR-133b 的靶标,在非小细胞肺癌的发病机制中发挥重要作用。

Forkhead box L2 is a target of miR-133b and plays an important role in the pathogenesis of non-small cell lung cancer.

机构信息

Department of Pulmonary and Critical Care Medicine, The First Affiliated Hospital of Soochow University, Suzhou, China.

Suzhou Key Laboratory for Respiratory Diseases, Suzhou, China.

出版信息

Cancer Med. 2023 Apr;12(8):9826-9842. doi: 10.1002/cam4.5746. Epub 2023 Feb 27.

DOI:10.1002/cam4.5746
PMID:36846934
原文链接:https://pmc.ncbi.nlm.nih.gov/articles/PMC10166978/
Abstract

BACKGROUND

Forkhead box L2 (FOXL2) has been recognized as a transcription factor in the progression of many malignancies, but its role in non-small cell lung cancer (NSCLC) remains unclear. This research clarified on the role of FOXL2 and the specific molecular mechanism in NSCLC.

METHODS

RNA and protein levels were detected by quantitative real-time polymerase chain reaction (qRT-PCR) and western blotting assays. Cell proliferation was examined by cell counting kit-8 (CCK-8) and clonogenic assays. Transwell and wound healing assays were used to detect cell invasion and migration. Cell cycle alterations were assessed by flow cytometry. The relationship between FOXL2 and miR-133b was verified by dual-luciferase reporter assays. In vivo metastasis was monitored in the tail vein-injected mice.

RESULTS

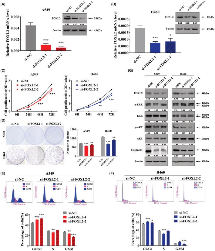
FOXL2 was upregulated in NSCLC cells and tissues. Downregulation of FOXL2 restrained cell proliferation, migration, and invasion and arrested the cell cycle of NSCLC cells. Moreover, FOXL2 promoted the epithelial-mesenchymal transition (EMT) process of NSCLC cells by inducing the transforming growth factor-β (TGF-β)/Smad signaling pathway. miR-133b directly targeted the 3'-UTR of FOXL2 and negatively regulated FOXL2 expression. Knockdown of FOXL2 blocked metastasis in vivo.

CONCLUSIONS

miR-133b downregulates FOXL2 by targeting the 3'-UTR of FOXL2, thereby inhibiting cell proliferation, EMT and metastasis induced by the TGF-β/Smad signaling pathway in NSCLC. FOXL2 may be a potential molecular target for treating NSCLC.

摘要

背景

叉头框 L2(FOXL2)已被认为是许多恶性肿瘤进展中的转录因子,但它在非小细胞肺癌(NSCLC)中的作用尚不清楚。本研究阐明了 FOXL2 在 NSCLC 中的作用及其具体分子机制。

方法

通过实时定量聚合酶链反应(qRT-PCR)和 Western blot 检测 RNA 和蛋白质水平。通过细胞计数试剂盒-8(CCK-8)和集落形成测定法检测细胞增殖。通过 Transwell 和划痕愈合测定法检测细胞侵袭和迁移。通过流式细胞术评估细胞周期变化。通过双荧光素酶报告基因测定验证 FOXL2 和 miR-133b 之间的关系。通过尾静脉注射小鼠监测体内转移。

结果

FOXL2 在 NSCLC 细胞和组织中上调。FOXL2 的下调抑制了 NSCLC 细胞的增殖、迁移和侵袭,并阻滞了细胞周期。此外,FOXL2 通过诱导转化生长因子-β(TGF-β)/Smad 信号通路促进 NSCLC 细胞的上皮-间充质转化(EMT)过程。miR-133b 直接靶向 FOXL2 的 3'-UTR,并负调控 FOXL2 的表达。FOXL2 的敲低阻断了体内转移。

结论

miR-133b 通过靶向 FOXL2 的 3'-UTR 下调 FOXL2,从而抑制 TGF-β/Smad 信号通路诱导的 NSCLC 细胞增殖、EMT 和转移。FOXL2 可能是治疗 NSCLC 的潜在分子靶点。

https://cdn.ncbi.nlm.nih.gov/pmc/blobs/d295/10166978/2b2f998d3667/CAM4-12-9826-g005.jpg
https://cdn.ncbi.nlm.nih.gov/pmc/blobs/d295/10166978/19f080a522cc/CAM4-12-9826-g008.jpg
https://cdn.ncbi.nlm.nih.gov/pmc/blobs/d295/10166978/63778d110f65/CAM4-12-9826-g002.jpg
https://cdn.ncbi.nlm.nih.gov/pmc/blobs/d295/10166978/304082e046ef/CAM4-12-9826-g001.jpg
https://cdn.ncbi.nlm.nih.gov/pmc/blobs/d295/10166978/fffcd92d78cb/CAM4-12-9826-g003.jpg
https://cdn.ncbi.nlm.nih.gov/pmc/blobs/d295/10166978/9efb083e53ac/CAM4-12-9826-g004.jpg
https://cdn.ncbi.nlm.nih.gov/pmc/blobs/d295/10166978/cbdbeadb92da/CAM4-12-9826-g006.jpg
https://cdn.ncbi.nlm.nih.gov/pmc/blobs/d295/10166978/2b2f998d3667/CAM4-12-9826-g005.jpg
https://cdn.ncbi.nlm.nih.gov/pmc/blobs/d295/10166978/19f080a522cc/CAM4-12-9826-g008.jpg
https://cdn.ncbi.nlm.nih.gov/pmc/blobs/d295/10166978/63778d110f65/CAM4-12-9826-g002.jpg
https://cdn.ncbi.nlm.nih.gov/pmc/blobs/d295/10166978/304082e046ef/CAM4-12-9826-g001.jpg
https://cdn.ncbi.nlm.nih.gov/pmc/blobs/d295/10166978/fffcd92d78cb/CAM4-12-9826-g003.jpg
https://cdn.ncbi.nlm.nih.gov/pmc/blobs/d295/10166978/9efb083e53ac/CAM4-12-9826-g004.jpg
https://cdn.ncbi.nlm.nih.gov/pmc/blobs/d295/10166978/cbdbeadb92da/CAM4-12-9826-g006.jpg
https://cdn.ncbi.nlm.nih.gov/pmc/blobs/d295/10166978/2b2f998d3667/CAM4-12-9826-g005.jpg

相似文献

1
Forkhead box L2 is a target of miR-133b and plays an important role in the pathogenesis of non-small cell lung cancer.叉头框蛋白 L2 是 miR-133b 的靶标,在非小细胞肺癌的发病机制中发挥重要作用。
Cancer Med. 2023 Apr;12(8):9826-9842. doi: 10.1002/cam4.5746. Epub 2023 Feb 27.
2
UBE2C, Directly Targeted by miR-548e-5p, Increases the Cellular Growth and Invasive Abilities of Cancer Cells Interacting with the EMT Marker Protein Zinc Finger E-box Binding Homeobox 1/2 in NSCLC.UBE2C 被 miR-548e-5p 直接靶向,增加了与非小细胞肺癌中 EMT 标志物蛋白锌指 E-box 结合同源框 1/2 相互作用的癌细胞的细胞生长和侵袭能力。
Theranostics. 2019 Mar 17;9(7):2036-2055. doi: 10.7150/thno.32738. eCollection 2019.
3
Circular RNA hsa_circ_0008305 (circPTK2) inhibits TGF-β-induced epithelial-mesenchymal transition and metastasis by controlling TIF1γ in non-small cell lung cancer.环状 RNA hsa_circ_0008305(circPTK2)通过调控非小细胞肺癌中的 TIF1γ 抑制 TGF-β诱导的上皮-间充质转化和转移。
Mol Cancer. 2018 Sep 27;17(1):140. doi: 10.1186/s12943-018-0889-7.
4
MiR-145 and miR-203 represses TGF-β-induced epithelial-mesenchymal transition and invasion by inhibiting SMAD3 in non-small cell lung cancer cells.在非小细胞肺癌细胞中,miR-145和miR-203通过抑制SMAD3来抑制转化生长因子-β诱导的上皮-间质转化和侵袭。
Lung Cancer. 2016 Jul;97:87-94. doi: 10.1016/j.lungcan.2016.04.017. Epub 2016 Apr 27.
5
Long non-coding RNA linc00673 regulated non-small cell lung cancer proliferation, migration, invasion and epithelial mesenchymal transition by sponging miR-150-5p.长链非编码 RNA linc00673 通过海绵吸附 miR-150-5p 调控非小细胞肺癌增殖、迁移、侵袭和上皮间质转化。
Mol Cancer. 2017 Jul 11;16(1):118. doi: 10.1186/s12943-017-0685-9.
6
Long non-coding RNA PRNCR1 modulates non-small cell lung cancer cell proliferation, apoptosis, migration, invasion, and EMT through PRNCR1/miR-126-5p/MTDH axis.长链非编码 RNA PRNCR1 通过 PRNCR1/miR-126-5p/MTDH 轴调节非小细胞肺癌细胞的增殖、凋亡、迁移、侵袭和 EMT。
Biosci Rep. 2020 Jul 31;40(7). doi: 10.1042/BSR20193153.
7
MicroRNA-422a functions as a tumor suppressor in non-small cell lung cancer through SULF2-mediated TGF-β/SMAD signaling pathway.微小 RNA-422a 通过 SULF2 介导的 TGF-β/SMAD 信号通路在非小细胞肺癌中发挥肿瘤抑制作用。
Cell Cycle. 2019 Aug;18(15):1727-1744. doi: 10.1080/15384101.2019.1632135. Epub 2019 Jun 28.
8
MicroRNA-527 inhibits TGF-β/SMAD induced epithelial-mesenchymal transition via downregulating SULF2 expression in non-small-cell lung cancer.微小 RNA-527 通过下调非小细胞肺癌中 SULF2 的表达抑制 TGF-β/SMAD 诱导的上皮-间充质转化。
Math Biosci Eng. 2019 May 23;16(5):4607-4621. doi: 10.3934/mbe.2019231.
9
Circular RNA hsa_circ_0004689 (circSWT1) promotes NSCLC progression via the miR-370-3p/SNAIL axis by inducing cell epithelial-mesenchymal transition (EMT).环状 RNA hsa_circ_0004689(circSWT1)通过诱导细胞上皮-间充质转化(EMT),经由 miR-370-3p/SNAIL 轴促进 NSCLC 的进展。
Cancer Med. 2023 Apr;12(7):8289-8305. doi: 10.1002/cam4.5527. Epub 2022 Dec 19.
10
Downregulation of N-Acetylglucosaminyltransferase GCNT3 by miR-302b-3p Decreases Non-Small Cell Lung Cancer (NSCLC) Cell Proliferation, Migration and Invasion.miR-302b-3p对N-乙酰葡糖胺基转移酶GCNT3的下调作用可降低非小细胞肺癌(NSCLC)细胞的增殖、迁移和侵袭能力。
Cell Physiol Biochem. 2018;50(3):987-1004. doi: 10.1159/000494482. Epub 2018 Oct 24.

引用本文的文献

1
Protective effect of luteinizing hormone on frozen-thawed ovarian follicles and granulosa cells.黄体生成素对冻融卵巢卵泡和颗粒细胞的保护作用。
PLoS One. 2025 Jan 14;20(1):e0317416. doi: 10.1371/journal.pone.0317416. eCollection 2025.
2
Non-coding RNAs and exosomal non-coding RNAs in lung cancer: insights into their functions.肺癌中的非编码RNA和外泌体非编码RNA:对其功能的见解
Front Cell Dev Biol. 2024 May 27;12:1397788. doi: 10.3389/fcell.2024.1397788. eCollection 2024.

本文引用的文献

1
Upfront Next Generation Sequencing in Non-Small Cell Lung Cancer.非小细胞肺癌中的 upfront 下一代测序。
Curr Oncol. 2022 Jun 22;29(7):4428-4437. doi: 10.3390/curroncol29070352.
2
Methylation Pattern Mediated by mA Regulator and Tumor Microenvironment Invasion in Lung Adenocarcinoma.mA 调节剂介导的甲基化模式与肺腺癌肿瘤微环境浸润。
Oxid Med Cell Longev. 2022 Jan 5;2022:2930310. doi: 10.1155/2022/2930310. eCollection 2022.
3
Cancer statistics, 2022.癌症统计数据,2022 年。
CA Cancer J Clin. 2022 Jan;72(1):7-33. doi: 10.3322/caac.21708. Epub 2022 Jan 12.
4
Computational detection of a genome instability-derived lncRNA signature for predicting the clinical outcome of lung adenocarcinoma.基于基因组不稳定性特征的 lncRNA signature 用于预测肺腺癌临床预后的计算检测。
Cancer Med. 2022 Feb;11(3):864-879. doi: 10.1002/cam4.4471. Epub 2021 Dec 5.
5
The Genetics and Biology of FOXL2.FOXL2 的遗传学和生物学。
Sex Dev. 2022;16(2-3):184-193. doi: 10.1159/000519836. Epub 2021 Nov 2.
6
Integrative Analysis of the Expression of SIGLEC Family Members in Lung Adenocarcinoma via Data Mining.通过数据挖掘对肺腺癌中唾液酸结合免疫球蛋白样凝集素(SIGLEC)家族成员表达的综合分析
Front Oncol. 2021 Mar 16;11:608113. doi: 10.3389/fonc.2021.608113. eCollection 2021.
7
FOXO1 mitigates the SMAD3/FOXL2 transcriptomic effect in a model of human adult granulosa cell tumor.在人类成年颗粒细胞瘤模型中,FOXO1减轻了SMAD3/FOXL2的转录组效应。
J Transl Med. 2021 Feb 27;19(1):90. doi: 10.1186/s12967-021-02754-0.
8
Global Cancer Statistics 2020: GLOBOCAN Estimates of Incidence and Mortality Worldwide for 36 Cancers in 185 Countries.《全球癌症统计数据 2020:全球 185 个国家和地区 36 种癌症的发病率和死亡率估计》。
CA Cancer J Clin. 2021 May;71(3):209-249. doi: 10.3322/caac.21660. Epub 2021 Feb 4.
9
Five-Year Outcomes From the Randomized, Phase III Trials CheckMate 017 and 057: Nivolumab Versus Docetaxel in Previously Treated Non-Small-Cell Lung Cancer.CheckMate 017 和 057 随机、III 期临床试验的 5 年结果:纳武利尤单抗对比多西他赛用于先前治疗的非小细胞肺癌。
J Clin Oncol. 2021 Mar 1;39(7):723-733. doi: 10.1200/JCO.20.01605. Epub 2021 Jan 15.
10
FOX transcription factor family in hepatocellular carcinoma.FOX 转录因子家族与肝细胞癌。
Biochim Biophys Acta Rev Cancer. 2020 Aug;1874(1):188376. doi: 10.1016/j.bbcan.2020.188376. Epub 2020 May 11.