• 文献检索
  • 文档翻译
  • 深度研究
  • 学术资讯
  • Suppr Zotero 插件Zotero 插件
  • 邀请有礼
  • 套餐&价格
  • 历史记录
应用&插件
Suppr Zotero 插件Zotero 插件浏览器插件Mac 客户端Windows 客户端微信小程序
定价
高级版会员购买积分包购买API积分包
服务
文献检索文档翻译深度研究API 文档MCP 服务
关于我们
关于 Suppr公司介绍联系我们用户协议隐私条款
关注我们

Suppr 超能文献

核心技术专利:CN118964589B侵权必究
粤ICP备2023148730 号-1Suppr @ 2026

文献检索

告别复杂PubMed语法,用中文像聊天一样搜索,搜遍4000万医学文献。AI智能推荐,让科研检索更轻松。

立即免费搜索

文件翻译

保留排版,准确专业,支持PDF/Word/PPT等文件格式,支持 12+语言互译。

免费翻译文档

深度研究

AI帮你快速写综述,25分钟生成高质量综述,智能提取关键信息,辅助科研写作。

立即免费体验

肝上型胆囊急性胆囊炎所致支气管胆瘘

Bronchobiliary fistula due to acute cholecystitis in a suprahepatic gall bladder.

作者信息

Allison M C, Milkins S, Burroughs A K, Rogers H S, Thomas H C

机构信息

Academic Department of Medicine, Royal Free Hospital, London, UK.

出版信息

Postgrad Med J. 1987 Apr;63(738):291-4. doi: 10.1136/pgmj.63.738.291.

DOI:10.1136/pgmj.63.738.291
PMID:3684837
原文链接:https://pmc.ncbi.nlm.nih.gov/articles/PMC2428145/
Abstract

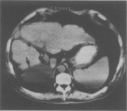
We describe a patient presenting with painless jaundice, anorexia and pruritus. The gall bladder was found to be lying above and behind a hypoplastic right lobe of liver. There was no evidence of cholangitis or biliary obstruction. The patient subsequently developed a bronchobiliary fistula with severe wheeze, cough and bile-stained sputum. Emergency percutaneous drainage of the gall bladder led to immediate cessation of bronchospasm and biloptysis, rendering the patient fit for definitive surgery.

摘要

我们描述了一位出现无痛性黄疸、厌食和瘙痒症状的患者。发现胆囊位于发育不全的肝右叶上方及后方。没有胆管炎或胆道梗阻的证据。该患者随后出现了支气管胆管瘘,伴有严重喘息、咳嗽和胆汁染色痰液。急诊经皮胆囊引流导致支气管痉挛和咯胆汁立即停止,使患者适合进行确定性手术。

https://cdn.ncbi.nlm.nih.gov/pmc/blobs/6bb5/2428145/e2999c4a8a1f/postmedj00196-0056-a.jpg
https://cdn.ncbi.nlm.nih.gov/pmc/blobs/6bb5/2428145/f1be854f8908/postmedj00196-0055-a.jpg
https://cdn.ncbi.nlm.nih.gov/pmc/blobs/6bb5/2428145/e2999c4a8a1f/postmedj00196-0056-a.jpg
https://cdn.ncbi.nlm.nih.gov/pmc/blobs/6bb5/2428145/f1be854f8908/postmedj00196-0055-a.jpg
https://cdn.ncbi.nlm.nih.gov/pmc/blobs/6bb5/2428145/e2999c4a8a1f/postmedj00196-0056-a.jpg

相似文献

1
Bronchobiliary fistula due to acute cholecystitis in a suprahepatic gall bladder.肝上型胆囊急性胆囊炎所致支气管胆瘘
Postgrad Med J. 1987 Apr;63(738):291-4. doi: 10.1136/pgmj.63.738.291.
2
Spontaneous bronchobiliary fistula--an unusual complication of acalculous cholecystitis (a case report).自发性胆管支气管瘘——无结石性胆囊炎的一种罕见并发症(病例报告)
J Postgrad Med. 1986 Apr;32(2):101-2.
3
[Case of bronchobiliary fistula due to congenital anomalies of the liver and biliary tract].[先天性肝和胆道异常所致支气管胆瘘病例]
Nihon Kyobu Shikkan Gakkai Zasshi. 1983 Mar;21(3):282-7.
4
Successful endoscopic management of a persistent bronchobiliary fistula with Histoacryl/Lipiodol mixture.使用组织黏合剂/碘油混合物成功进行内镜治疗持续性支气管胆管瘘。
Ann R Coll Surg Engl. 2018 Apr;100(4):e73-e77. doi: 10.1308/rcsann.2018.0026. Epub 2018 Mar 15.
5
Bronchobiliary fistula detected by cholescintigraphy.通过胆管闪烁造影术检测到的支气管胆管瘘。
J Nucl Med. 1991 Jan;32(1):136-8.
6
Bronchobiliary fistula and cholangiocarcinoma: a case report and principles of management.支气管胆管瘘与胆管癌:一例病例报告及治疗原则
Acta Clin Belg. 2007 Nov-Dec;62(6):438-41. doi: 10.1179/acb.2007.064.
7
[Biliary-bronchial fistula in acute cholecystitis].[急性胆囊炎中的胆支气管瘘]
Grudn Khir. 1967 Nov-Dec;9(6):117.
8
Bronchobiliary fistula due to hydatid disease of the liver: a case report.肝包虫病所致支气管胆管瘘:一例报告
Acta Chir Belg. 2002 Jun;102(3):207-9. doi: 10.1080/00015458.2002.11679297.
9
Bronchobiliary fistula after ablation of hepatocellular carcinoma adjacent to the diaphragm: Case report and literature review.膈邻近肝癌消融后并发支气管胆瘘:病例报告及文献复习。
Thorac Cancer. 2020 May;11(5):1233-1238. doi: 10.1111/1759-7714.13380. Epub 2020 Mar 9.
10
[Cholecysto-bronchial fistula].[胆囊支气管瘘]
Vestn Khir Im I I Grek. 1987 Oct;139(10):62-4.

引用本文的文献

1
Hepatopleural Fistula with Empyema Thoracis: A Rare Complication of Autosomal Dominant Polycystic Kidney Disease.肝胸膜瘘合并脓胸:常染色体显性多囊肾病的一种罕见并发症。
ACG Case Rep J. 2018 Jan 3;5:e2. doi: 10.14309/crj.2018.2. eCollection 2018.
2
Management of acquired bronchobiliary fistula: A systematic literature review of 68 cases published in 30 years.后天性支气管胆道瘘的处理:30 年来 68 例文献的系统综述。
World J Gastroenterol. 2011 Sep 7;17(33):3842-9. doi: 10.3748/wjg.v17.i33.3842.
3
Cholecystobronchial fistula secondary to adenomyomatosis of the gallbladder.

本文引用的文献

1
Suprahepatic gallbladder with hypoplasia of the right lobe of the liver.
Arch Surg. 1980 May;115(5):658-9. doi: 10.1001/archsurg.1980.01380050080019.
2
Bronchobiliary fistula due to stones in the biliary tree: report of two cases.
World J Surg. 1982 Nov;6(6):782-5. doi: 10.1007/BF01655375.
3
Bronchobiliary fistula presenting as cough with yellow sputum.
N Engl J Med. 1982 Oct 14;307(16):1027. doi: 10.1056/NEJM198210143071623.
4
The suprahepatic gallbladder. An unusual anatomical variant.肝上胆囊。一种不寻常的解剖变异。
胆囊腺肌症继发的胆囊支气管瘘
Ann R Coll Surg Engl. 2007 Sep;89(6):W14-6. doi: 10.1308/147870807X227746.
4
Bronchobiliary fistula secondary to biliary lithiasis. Treatment by endoscopic sphincterotomy.胆囊结石继发支气管胆瘘。经内镜括约肌切开术治疗。
Dig Dis Sci. 1994 Sep;39(9):1994-9. doi: 10.1007/BF02088137.
Radiology. 1983 Oct;149(1):57-8. doi: 10.1148/radiology.149.1.6611951.
5
Thoracobilia: a surgical complication of hepatic echinococcosis and amebiasis.胆管积脓:肝包虫病和阿米巴病的一种手术并发症。
Ann Thorac Surg. 1972 Aug;14(2):198-205. doi: 10.1016/s0003-4975(10)65218-6.
6
Thoracobiliary fistulas: Report of six cases.
Br J Dis Chest. 1974 Oct;68:264-72. doi: 10.1016/0007-0971(74)90050-3.
7
Marked elevation of serum transaminase activity associated with extrahepatic biliary tract disease.血清转氨酶活性显著升高与肝外胆道疾病相关。
J Clin Gastroenterol. 1985 Dec;7(6):502-5. doi: 10.1097/00004836-198512000-00012.
8
Bronchobiliary and bronchopleural fistulas.支气管胆管瘘和支气管胸膜瘘。
Ann Thorac Surg. 1977 Nov;24(5):481-7. doi: 10.1016/s0003-4975(10)63443-1.