Suppr超能文献

TRIM16 过表达通过调控 SQSTM1-NRF2-KEAP1 轴降低 H5N1 高致病性禽流感病毒滴度并促进抗氧化基因的表达。

Overexpression of TRIM16 Reduces the Titer of H5N1 Highly Pathogenic Avian Influenza Virus and Promotes the Expression of Antioxidant Genes through Regulating the SQSTM1-NRF2-KEAP1 Axis.

机构信息

College of Veterinary Medicine, South China Agricultural University, Guangzhou 510642, China.

Key Laboratory of Zoonosis Control and Prevention of Guangdong Province, South China Agricultural University, Guangzhou 510642, China.

出版信息

Viruses. 2023 Jan 30;15(2):391. doi: 10.3390/v15020391.

Abstract

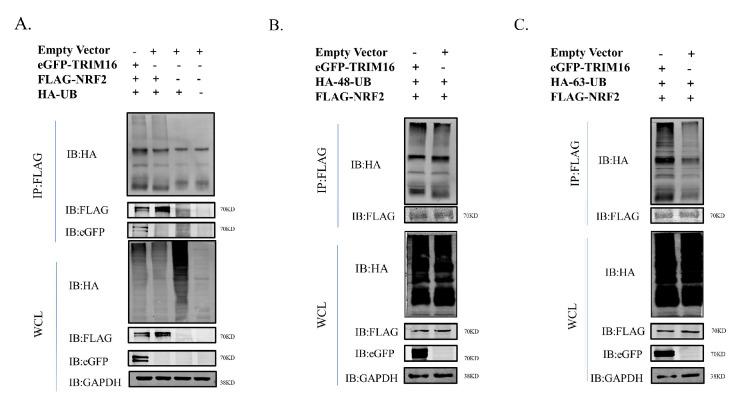
Oxidative stress plays a vital role in viral replication. Tripartite motif containing 16 (TRIM16) is involved in diverse cellular processes. However, the role of TRIM16 in oxidative stress induced by infection of the highly pathogenic H5N1 avian influenza virus (HPAIV) is unclear. We found that under conditions of H5N1 HPAIV infection, reactive oxygen species (ROS) levels in A549 cells peaked at 24 h post infection (hpi), and antioxidant genes' expression levels were down-regulated. Overexpression of TRIM16 in A549 cells resulted in a decrease in the titter of H5N1 HPAIV and led to significant up-regulation of the antioxidant genes' expression levels, which indicates that TRIM16 positively regulates the sequestosome 1/Kelch-like associated enoyl-CoA hydratase 1 protein/nuclear factor erythrocyte 2-derived 2-like 2 (SQSTM1/NRF2/KEAP1) pathway. Under basal conditions, TRIM16 led to a modification of NRF2 through an increase in K63-linked poly-ubiquitination of NRF2. Collectively, our findings provide new insight into understanding TRIM16's role in anti-oxidative stress in H5N1 HPAIV infected A549 cells.

摘要

氧化应激在病毒复制中起着至关重要的作用。三结构域蛋白 16(TRIM16)参与多种细胞过程。然而,TRIM16 在高致病性 H5N1 禽流感病毒(HPAIV)感染引起的氧化应激中的作用尚不清楚。我们发现,在 H5N1 HPAIV 感染条件下,A549 细胞中的活性氧(ROS)水平在感染后 24 小时(hpi)达到峰值,抗氧化基因的表达水平下调。在 A549 细胞中过表达 TRIM16 导致 H5N1 HPAIV 的滴度降低,并导致抗氧化基因的表达水平显著上调,这表明 TRIM16 正向调节自噬体 1/kelch 样相关过氧化物酶 1(SQSTM1/NRF2/KEAP1)途径。在基础条件下,TRIM16 通过增加 NRF2 的 K63 连接多聚泛素化导致 NRF2 的修饰。总之,我们的研究结果为理解 TRIM16 在 H5N1 HPAIV 感染的 A549 细胞中抗氧化应激的作用提供了新的见解。

https://cdn.ncbi.nlm.nih.gov/pmc/blobs/e390/9960857/880e8ddc25b0/viruses-15-00391-g001.jpg

文献AI研究员

20分钟写一篇综述,助力文献阅读效率提升50倍。

立即体验

用中文搜PubMed

大模型驱动的PubMed中文搜索引擎

马上搜索

文档翻译

学术文献翻译模型,支持多种主流文档格式。

立即体验