• 文献检索
  • 文档翻译
  • 深度研究
  • 学术资讯
  • Suppr Zotero 插件Zotero 插件
  • 邀请有礼
  • 套餐&价格
  • 历史记录
应用&插件
Suppr Zotero 插件Zotero 插件浏览器插件Mac 客户端Windows 客户端微信小程序
定价
高级版会员购买积分包购买API积分包
服务
文献检索文档翻译深度研究API 文档MCP 服务
关于我们
关于 Suppr公司介绍联系我们用户协议隐私条款
关注我们

Suppr 超能文献

核心技术专利:CN118964589B侵权必究
粤ICP备2023148730 号-1Suppr @ 2026

文献检索

告别复杂PubMed语法,用中文像聊天一样搜索,搜遍4000万医学文献。AI智能推荐,让科研检索更轻松。

立即免费搜索

文件翻译

保留排版,准确专业,支持PDF/Word/PPT等文件格式,支持 12+语言互译。

免费翻译文档

深度研究

AI帮你快速写综述,25分钟生成高质量综述,智能提取关键信息,辅助科研写作。

立即免费体验

阴囊皮脂腺毛囊瘤:一种罕见病例。

Sebaceous Trichofolliculoma of the Scrotum: A Rare Occurrence.

作者信息

Lei Jie H, Shen Hong

机构信息

Department of Dermatology, Third People's Hospital of Hangzhou, Hangzhou, Zhejiang, China.

出版信息

Indian J Dermatol. 2022 Sep-Oct;67(5):625. doi: 10.4103/ijd.ijd_1056_20.

DOI:10.4103/ijd.ijd_1056_20
PMID:36865871
原文链接:https://pmc.ncbi.nlm.nih.gov/articles/PMC9971758/
Abstract

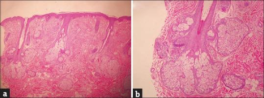
Sebaceous trichofolliculoma is a very uncommon skin tumour, the tumour occurred on the nose and consisted of a solitary lesion. Sebaceous trichofolliculoma occurring in patients of the scrotum is very rare; only one case has been reported to date. The patient has many small soft nodules on the scrotum for several years, then the number and the size of the nodules increased. Histological examination showed many large cystic cavities open to the skin surface and numerous sebaceous glands connected to the cavity. Plastic surgery excision or necessary skin grafting is planned for the patient until maturity is attained.

摘要

皮脂腺毛囊瘤是一种非常罕见的皮肤肿瘤,该肿瘤发生于鼻部,为单发损害。发生于阴囊的皮脂腺毛囊瘤极为罕见,迄今为止仅报道过1例。该患者阴囊出现许多小的软结节数年,之后结节数量及大小增加。组织学检查显示有许多通向皮肤表面的大囊腔以及众多与囊腔相连的皮脂腺。计划为该患者行整形手术切除或必要的皮肤移植,直至肿物成熟。

https://cdn.ncbi.nlm.nih.gov/pmc/blobs/ef47/9971758/7f127d944b05/IJD-67-625a-g002.jpg
https://cdn.ncbi.nlm.nih.gov/pmc/blobs/ef47/9971758/99c7d4bfc1e6/IJD-67-625a-g001.jpg
https://cdn.ncbi.nlm.nih.gov/pmc/blobs/ef47/9971758/7f127d944b05/IJD-67-625a-g002.jpg
https://cdn.ncbi.nlm.nih.gov/pmc/blobs/ef47/9971758/99c7d4bfc1e6/IJD-67-625a-g001.jpg
https://cdn.ncbi.nlm.nih.gov/pmc/blobs/ef47/9971758/7f127d944b05/IJD-67-625a-g002.jpg

相似文献

1
Sebaceous Trichofolliculoma of the Scrotum: A Rare Occurrence.阴囊皮脂腺毛囊瘤:一种罕见病例。
Indian J Dermatol. 2022 Sep-Oct;67(5):625. doi: 10.4103/ijd.ijd_1056_20.
2
Sebaceous trichofolliculoma on scrotum and penis.阴囊和阴茎的皮脂腺毛囊瘤。
Dermatologica. 1990;181(1):68-70. doi: 10.1159/000247867.
3
[Folliculosebaceous cystic hamartoma: anatomo-clinical study].[毛囊皮脂腺囊性错构瘤:解剖临床研究]
Ann Dermatol Venereol. 2012 Jan;139(1):23-30. doi: 10.1016/j.annder.2011.10.402. Epub 2011 Dec 6.
4
Folliculosebaceous cystic hamartoma of the nipple: a case report.乳头毛囊皮脂腺囊性错构瘤:一例报告
J Cutan Pathol. 2009 May;36(5):597-600. doi: 10.1111/j.1600-0560.2008.01089.x. Epub 2009 Mar 30.
5
Genital Folliculosebaceous Cystic Hamartoma: A Case Report and Concise Review of the Literature.生殖器毛囊皮脂腺囊性错构瘤:一例报告并文献简要综述
Dermatopathology (Basel). 2022 Aug 1;9(3):277-281. doi: 10.3390/dermatopathology9030032.
6
Folliculosebaceous cystic hamartoma in a patient with neurofibromatosis type I.一名患有Ⅰ型神经纤维瘤病患者的毛囊皮脂腺囊性错构瘤。
Ann Dermatol. 2011 Oct;23(Suppl 2):S185-7. doi: 10.5021/ad.2011.23.S2.S185. Epub 2011 Oct 31.
7
Giant Folliculosebaceous Cystic Hamartoma of the Face.面部巨大毛囊皮脂腺囊性错构瘤
Dermatopathology (Basel). 2023 Dec 31;11(1):19-25. doi: 10.3390/dermatopathology11010004.
8
An uncommon folliculosebaceous cystic hamartoma on the lower extremity.下肢一种罕见的毛囊皮脂腺囊性错构瘤。
Can J Plast Surg. 2007 Winter;15(4):231-3. doi: 10.1177/229255030701500402.
9
[Sebaceous trichofolliculoma].
Med Cutan Ibero Lat Am. 1982;10(1):51-4.
10
Sebaceous trichofolliculoma.皮脂腺毛囊瘤
J Cutan Pathol. 1980 Dec;7(6):394-403. doi: 10.1111/j.1600-0560.1980.tb01213.x.

本文引用的文献

1
Congenital Sebaceous Trichofolliculoma of the Upper Eyelid.先天性上睑皮脂腺毛囊瘤
Ophthalmic Plast Reconstr Surg. 2017 May/Jun;33(3S Suppl 1):S60-S61. doi: 10.1097/IOP.0000000000000698.
2
Folliculosebaceous cystic hamartoma on the nipple.乳头毛囊皮脂腺囊性错构瘤
J Dermatol. 2011 Feb;38(2):197-9. doi: 10.1111/j.1346-8138.2010.00964.x. Epub 2010 Sep 29.
3
A clinicopathologic study of folliculosebaceous cystic hamartoma.毛囊皮脂腺囊性错构瘤的临床病理研究
Am J Dermatopathol. 2010 Dec;32(8):815-20. doi: 10.1097/DAD.0b013e3181e07824.
4
Sebaceous trichofolliculoma.皮脂腺毛囊瘤
J Cutan Pathol. 1980 Dec;7(6):394-403. doi: 10.1111/j.1600-0560.1980.tb01213.x.
5
Sebaceous trichofolliculoma on scrotum and penis.阴囊和阴茎的皮脂腺毛囊瘤。
Dermatologica. 1990;181(1):68-70. doi: 10.1159/000247867.