Suppr超能文献

创伤患者无症状非创伤性心包积液的偶然发现:病例报告。

Incidental finding of asymptomatic non-traumatic pericardial effusion in a trauma patient: a case report.

机构信息

Anesthesia Department, King Saud Medical City, Riyadh, Saudi Arabia.

Emergency Medicine Department, King Fahad University Hospital, Imam Abdulrahman bin Faisal University, Dammam, Saudi Arabia.

出版信息

J Med Life. 2023 Jan;16(1):167-172. doi: 10.25122/jml-2022-0083.

Abstract

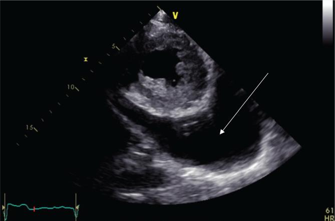
Pericardial effusion can either be an incidental finding or a manifestation of systemic or cardiac disease. It has a wide range of presentations, from asymptomatic small effusion to rapidly progressive fatal tamponade. In a trauma setting, pericardial effusion is usually attributed to hematoma collection, with the concern of clinical evidence of tamponade that can lead to cardiopulmonary collapse. The Focused Assessment with Sonography for Trauma (FAST) is a widely used tool to diagnose pericardial effusion in trauma patients. We published this case report to emphasize that the presence of pericardial effusion alone in a trauma patient does not indicate the presence of tamponade. This case concerns a 39 years old male patient who presented to ER as a trauma case after a fall from two meters height and landing on his feet. ATLS protocol was followed, and FAST showed an incidental finding of massive pericardial fluid. The trauma team was consulted, and the patient was hemodynamically stable without clinical evidence of tamponade. Echocardiography showed mitral valve stenosis and large pericardial effusion. The close observation did not suggest the presence of cardiac tamponade. The pericardial catheter was inserted during admission with drainage of 900cc of serous fluid. The presence of pericardial fluid in a trauma setting does not confirm the diagnosis of tamponade. The mechanism of injury, clinical presentation, and the patient's stability are essential factors in determining further management of such patients.

摘要

心包积液可以是偶然发现,也可以是全身性或心脏疾病的表现。它的表现范围很广,从轻症无症状的少量积液到迅速进展的致命填塞不等。在创伤环境中,心包积液通常归因于血肿积聚,同时还需要关注是否存在填塞的临床证据,因为这可能导致心肺衰竭。创伤超声重点评估(FAST)是一种广泛用于诊断创伤患者心包积液的工具。我们发表这个病例报告是为了强调,在创伤患者中,仅仅存在心包积液并不表明存在填塞。本病例涉及一名 39 岁男性患者,他从两米高处坠落,双脚着地后被送往急诊室作为创伤病例。遵循 ATLS 方案,FAST 显示大量心包积液的偶然发现。创伤小组进行了会诊,患者血流动力学稳定,没有填塞的临床证据。超声心动图显示二尖瓣狭窄和大量心包积液。密切观察并未提示存在心脏填塞。入院时插入心包导管,引流 900cc 浆液性液体。在创伤环境中存在心包积液并不能确诊为填塞。损伤机制、临床表现和患者的稳定性是决定此类患者进一步治疗的重要因素。

https://cdn.ncbi.nlm.nih.gov/pmc/blobs/6337/9979186/daeeb09f0eb3/JMedLife-16-167-g001.jpg

文献AI研究员

20分钟写一篇综述,助力文献阅读效率提升50倍。

立即体验

用中文搜PubMed

大模型驱动的PubMed中文搜索引擎

马上搜索

文档翻译

学术文献翻译模型,支持多种主流文档格式。

立即体验