Suppr超能文献

下肢缺血作为原发性主动脉闭塞的急性发作:CTA 成像与处理。

Lower Limb Ischemia as Acute Onset of Primary Aortic Occlusion: CTA Imaging and Management.

机构信息

Department of Radiology, Ospedale del Mare, ASL NA1 Centro, Via Enrico Russo, 80147 Naples, Italy.

Department of Vascular Surgery, Ospedale del Mare, ASL NA1 Centro, 80147 Naples, Italy.

出版信息

Int J Environ Res Public Health. 2023 Feb 22;20(5):3868. doi: 10.3390/ijerph20053868.

Abstract

UNLABELLED

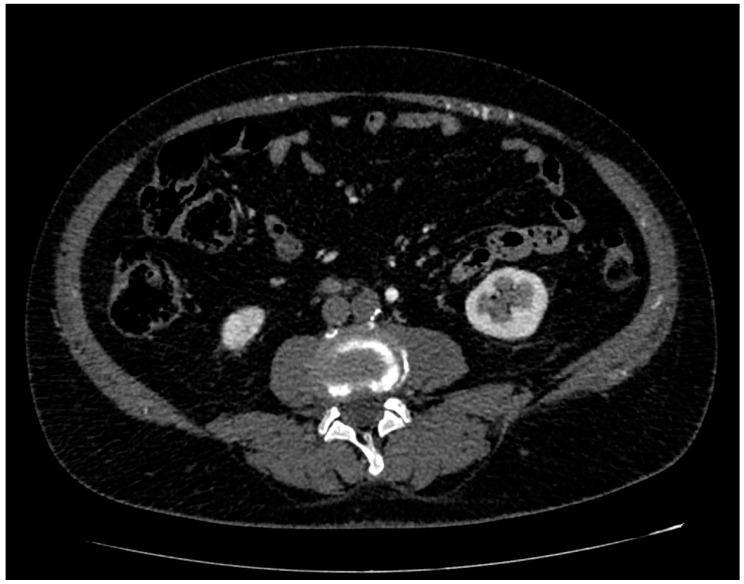
Primary aortic occlusion (PAO) is defined as acute occlusion in the absence of aortic atherosclerosis or aneurysm. PAO is a rare disease with acute onset and can determine massive parenchymal ischemia and distal arterial embolization. The aim of our study was to focus on the assessment of clinical characteristic, CT signs, medical and surgical treatment, complication rates and the overall survival of PAO.

MATERIALS AND METHODS

We retrospectively analyzed the data of all patients with acute lower limb ischemia and a final surgical or discharge diagnosis of PAO who underwent aortic CT angiography in ER settings in our hospital from January 2019 to November 2022.

RESULTS

A total of 11 patients (8 males/3 females; male/female ratio, 2.66:1, age range 49 to 79 years-old, mean age 65.27 y/o) with acute onset of lower limb impotence or ischemia were diagnosed with PAO. The etiology was thrombosis in all patients. The aortic occlusion was always located in the abdominal aorta and extended bilaterally through the common iliac arteries. The upper limit of the thrombosis was detected in the aortic subrenal tract in 81.8% of the cases, and in the infrarenal tract in 18.2%. A total of 81.8% of the patients were referred to the ER for symptoms related to lower limb: bilateral acute pain, hypothermia and sudden onset of functional impotence. Two patients (18.2%) died before undergoing surgery for multi-organ failure determined by the severe acute ischemia. The other patients (81.8%) underwent surgical treatment that included aortoiliac embolectomy (54.5%), aortoiliac embolectomy + aorto-femoral bypass (18.2%) and aortoiliac embolectomy and right lower limb amputation (9.1%). The overall mortality was 36.4% while the estimated survival at 1 year was 63.6%.

CONCLUSIONS

PAO is a rare entity with high morbidity and mortality rates if not recognized and treated promptly. Acute onset of lower limb impotence is the most common clinical presentation of PAO. Aortic CT angiography is the first-choice imaging technique for the early diagnosis of this disease and for the surgical treatment, planning and assessment of any complications. Combined with surgical treatment, anticoagulation is considered the first-line medical therapy at the time of diagnosis, during surgical treatment and after at discharge.

摘要

目的:本研究旨在关注原发性主脉闭塞(PAO)患者的临床特征、CT 征象、内科及外科治疗、并发症发生率及总体生存率。

方法:回顾性分析 2019 年 1 月至 2022 年 11 月我院急诊科行主动脉 CT 血管造影诊断为急性下肢缺血并最终行外科或出院诊断为 PAO 的所有患者的临床资料。

结果:共 11 例(男 8 例,女 3 例;男/女,2.66:1;年龄 49 岁~79 岁,平均年龄 65.27 岁)患者急性起病出现下肢无力或缺血,均诊断为 PAO。所有患者的病因均为血栓形成。主动脉闭塞均位于腹主动脉,通过髂总动脉向双侧延伸。81.8%的病例血栓上缘位于肾下主动脉段,18.2%的病例位于肾下主动脉段。81.8%的患者因与下肢相关的症状就诊于急诊科:双侧急性疼痛、体温过低和突然出现功能障碍性阳痿。2 例(18.2%)患者因多器官衰竭死亡,未行手术治疗。其他患者(81.8%)行外科治疗,包括腹主髂动脉取栓术(54.5%)、腹主髂动脉取栓+主股动脉旁路术(18.2%)和腹主髂动脉取栓及右下肢截肢术(9.1%)。总体死亡率为 36.4%,1 年生存率估计为 63.6%。

结论:如果不能及时识别和治疗,PAO 是一种发病率和死亡率均较高的罕见疾病。下肢无力急性发作是 PAO 最常见的临床表现。主动脉 CT 血管造影是早期诊断该病的首选影像学检查方法,也是外科治疗、手术计划和任何并发症评估的首选影像学检查方法。与外科治疗相结合,抗凝治疗被认为是诊断时、手术期间和出院后的一线治疗方法。

https://cdn.ncbi.nlm.nih.gov/pmc/blobs/ae10/10001136/4cdd318d513b/ijerph-20-03868-g001.jpg

文献AI研究员

20分钟写一篇综述,助力文献阅读效率提升50倍。

立即体验

用中文搜PubMed

大模型驱动的PubMed中文搜索引擎

马上搜索

文档翻译

学术文献翻译模型,支持多种主流文档格式。

立即体验