Suppr超能文献

利用烟草花叶病毒载体在植物中生产 SARS-CoV-2 抗原的实际应用。

Practical use of tobravirus-based vector to produce SARS-CoV-2 antigens in plants.

机构信息

Departamento de Biologia Celular, Instituto de Ciências Biológicas, Universidade de Brasília, Brasília, DF, 70910-900, Brazil; Pós-graduação em Biologia Microbiana, Universidade de Brasília, Brasília, DF, 70910-900, Brazil.

Departamento de Biologia Celular, Instituto de Ciências Biológicas, Universidade de Brasília, Brasília, DF, 70910-900, Brazil.

出版信息

J Virol Methods. 2023 May;315:114710. doi: 10.1016/j.jviromet.2023.114710. Epub 2023 Mar 11.

Abstract

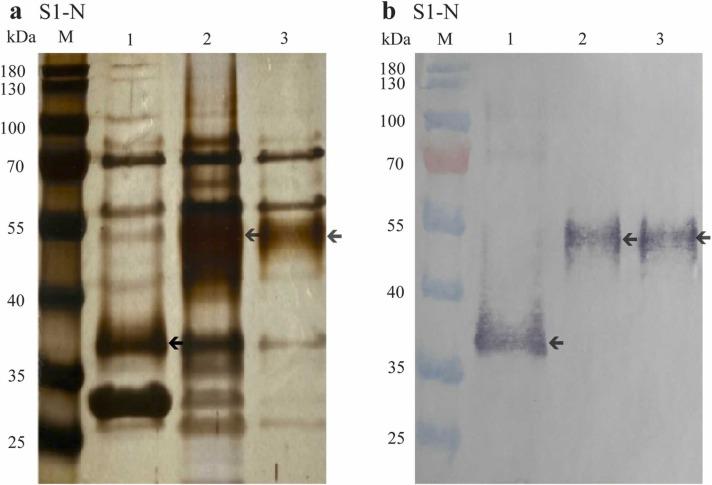
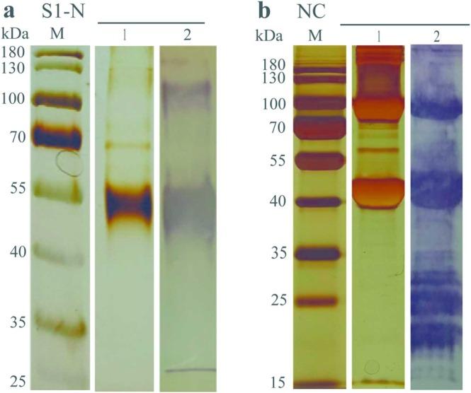
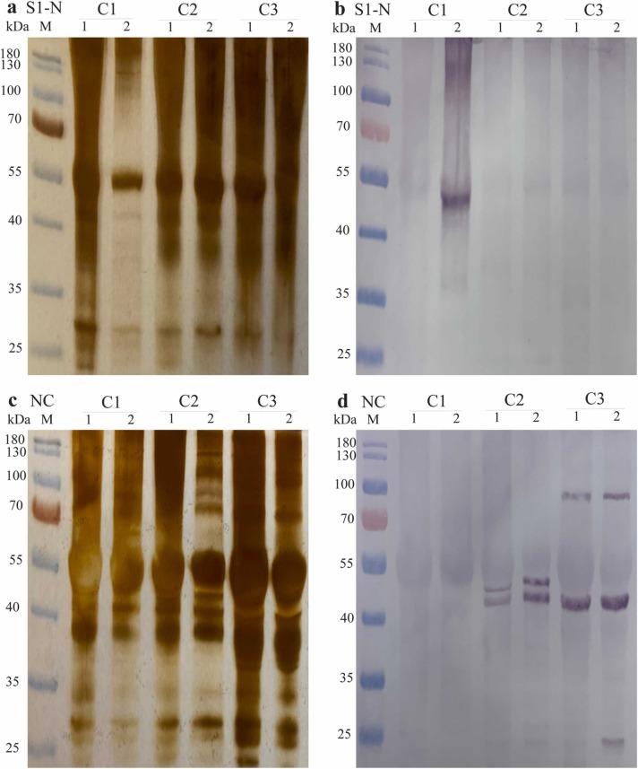
A plant-based heterologous expression system is an attractive option for recombinant protein production because it is based on a eukaryotic system of high feasibility, and low biological risks. Frequently, binary vector systems are used for transient gene-expression in plants. However, plant virus vector-based systems offer advantages for higher protein yields due to their self-replicating machinery. In the present study, we show an efficient protocol using a plant virus vector based on a tobravirus, pepper ringspot virus, that was employed for transient expression of severe acute respiratory syndrome coronavirus 2 partial gene fragments of the spike (named S1-N) and the nucleocapsid (named N) proteins in Nicotiana benthamiana plants. Purified proteins yield of 40-60 µg/g of fresh leaves were obtained. Both proteins, S1-N and N, showed high and specific reactivities against convalescent patients' sera by the enzyme-linked immunosorbent assay format. The advantages and critical points in using this plant virus vector are discussed.

摘要

基于植物的异源表达系统是重组蛋白生产的一个有吸引力的选择,因为它基于一个具有高可行性和低生物风险的真核系统。通常,二元载体系统用于植物的瞬时基因表达。然而,由于植物病毒载体具有自我复制机制,因此基于植物病毒载体的系统具有更高的蛋白质产量优势。在本研究中,我们展示了一种使用基于烟草花叶病毒的植物病毒载体的有效方案,该病毒载体用于瞬时表达严重急性呼吸综合征冠状病毒 2 的部分基因片段,包括刺突(称为 S1-N)和核衣壳(称为 N)蛋白在本氏烟植物中。从新鲜叶片中可获得 40-60µg/g 的纯化蛋白产量。通过酶联免疫吸附测定格式,S1-N 和 N 两种蛋白均对恢复期患者血清表现出高特异性反应。讨论了使用这种植物病毒载体的优点和关键点。

https://cdn.ncbi.nlm.nih.gov/pmc/blobs/c350/10008036/d9fccd4e4d66/gr1_lrg.jpg

文献检索

告别复杂PubMed语法,用中文像聊天一样搜索,搜遍4000万医学文献。AI智能推荐,让科研检索更轻松。

立即免费搜索

文件翻译

保留排版,准确专业,支持PDF/Word/PPT等文件格式,支持 12+语言互译。

免费翻译文档

深度研究

AI帮你快速写综述,25分钟生成高质量综述,智能提取关键信息,辅助科研写作。

立即免费体验