Suppr超能文献

上颌窦孤立性层状骨瘤。

An Isolated Laminar Osteoma Arising in the Maxillary Sinus.

机构信息

Department of Dental and Oral Surgery, St. Mary's Hospital, Kurume, Fukuoka, Japan.

Dental and Oral Medical Center, Kurume University School of Medicine, Kurume, Fukuoka, Japan.

出版信息

Am J Case Rep. 2023 Mar 27;24:e938904. doi: 10.12659/AJCR.938904.

Abstract

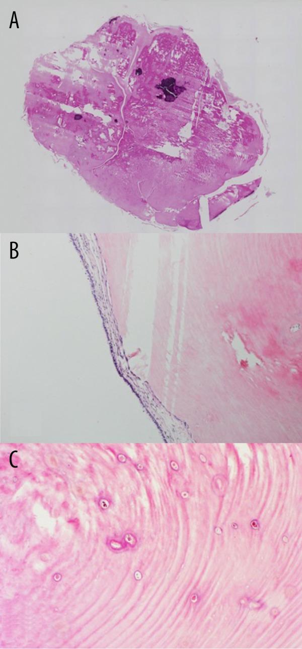
BACKGROUND Osteomas are benign tumors characterized by proliferation of dense or trabecular bone. Most osteomas of the head and neck occur in the mandible, they rarely occur in the maxillary sinus, and free osteomas are extremely rare. While usually detected incidentally on plain radiographs, symptoms appear when the osteoma obstructs the sinus orifice or invades the adjacent orbit or intracranial structures. Herein, we report a case of a patient with an isolated laminar osteoma arising in the maxillary sinus. CASE REPORT A 52-year-old man presented to our hospital with a radiopaque mass in the right maxillary sinus. An oval mass of size 2.7×2.3 cm was observed in the right maxillary sinus on computed tomography, and no sinusitis was present. Under general anesthesia, the mass was removed orally via the modified Caldwell-Luc method. Histopathologic examination revealed layered compact bony tissue covered by the sinus membrane. The mass was free from the inferior wall of the right maxillary sinus, and a part of the mass was covered by the sinus membrane. The postoperative course was uneventful, and no recurrence was noted after 5 years. CONCLUSIONS We experienced a case of an extremely rare osteoma in the maxillary sinus. The osteoma was solitary and free within the maxillary sinus. The treatment performed was surgical excision using the modified Caldwell-Luc method. The cause of the free osteoma was thought to be odontogenic maxillary sinusitis caused by apical periodontitis of the nearby tooth.

摘要

背景

骨瘤是一种良性肿瘤,其特征为致密或小梁骨的增殖。大多数发生于头颈部的骨瘤发生于下颌骨,发生于上颌窦的骨瘤很少见,游离骨瘤极其罕见。虽然通常在平片上偶然发现,但当骨瘤阻塞窦口或侵犯相邻眼眶或颅内结构时,就会出现症状。在此,我们报告一例发生于上颌窦的孤立性板层骨瘤病例。

病例报告

一名 52 岁男性因右侧上颌窦内不透射线肿块到我院就诊。CT 检查显示右侧上颌窦内有一个 2.7×2.3cm 的椭圆形肿块,未见鼻窦炎。在全身麻醉下,经改良的柯-陆(Caldwell-Luc)法经口切除肿块。组织病理学检查显示分层致密骨组织被窦膜覆盖。肿块游离于右侧上颌窦下壁,部分被窦膜覆盖。术后过程顺利,5 年后未见复发。

结论

我们遇到一例极其罕见的上颌窦骨瘤病例。骨瘤为单发、游离于上颌窦内。采用改良的柯-陆法进行了手术切除。游离骨瘤的原因被认为是邻近牙齿的根尖周炎引起的牙源性上颌窦炎。

https://cdn.ncbi.nlm.nih.gov/pmc/blobs/f598/10065028/bf2076ed5916/amjcaserep-24-e938904-g001.jpg

文献检索

告别复杂PubMed语法,用中文像聊天一样搜索,搜遍4000万医学文献。AI智能推荐,让科研检索更轻松。

立即免费搜索

文件翻译

保留排版,准确专业,支持PDF/Word/PPT等文件格式,支持 12+语言互译。

免费翻译文档

深度研究

AI帮你快速写综述,25分钟生成高质量综述,智能提取关键信息,辅助科研写作。

立即免费体验