Suppr超能文献

ZTTK 综合征表型不断扩展,与肝脏受累相关的基因杂合变异:病例报告和文献复习。

The Expanding Phenotype of ZTTK Syndrome Due to the Heterozygous Variant of Gene Focusing on Liver Involvement: Patient Report and Literature Review.

机构信息

Hepatogastroenterology, Nutrition, Digestive Endoscopy and Liver Transplant Unit, Bambino Gesù Children's Hospital, IRCCS, 00165 Rome, Italy.

Pathology Unit, Department of Diagnostic and Laboratory Medicine, Bambino Gesù Children's Hospital, IRCCS, 00165 Rome, Italy.

出版信息

Genes (Basel). 2023 Mar 17;14(3):739. doi: 10.3390/genes14030739.

Abstract

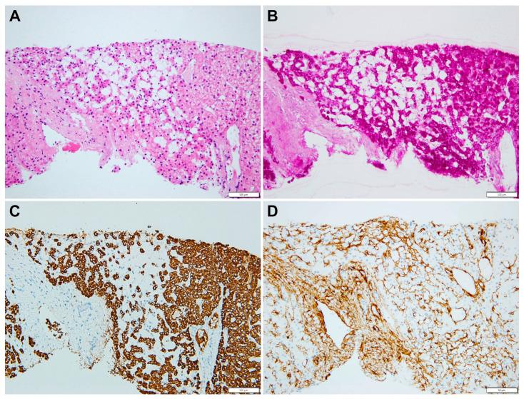
Zhu-Tokita-Takenouchi-Kim (ZTTK) syndrome, an intellectual disability syndrome first described in 2016, is caused by heterozygous loss-of-function variants in . Haploinsufficiency in may affect multiple genes, including those involved in the development and metabolism of multiple organs. Considering the broad spectrum of functions, it is to be expected that pathogenic variants in this gene can cause a wide spectrum of clinical symptoms. We present an additional ZTTK syndrome case due to a de novo heterozygous variant in the gene (). The clinical manifestations of our patient were similar to those present in previously reported cases; however, the diagnosis of ZTTK syndrome was delayed for a long time and was carried out during the diagnostic work-up of significant chronic liver disease (CLD). CLD has not yet been reported in any series; therefore, our report provides new information on this rare condition and suggests the expansion of the ZTTK syndrome phenotype, including possible liver involvement. Correspondingly, we recommend screening patients with variants specifically for liver involvement from the first years of life. Once the CLD has been diagnosed, an appropriate follow-up is mandatory, especially considering the role of as an emerging player in cancer development. Further studies are needed to investigate the role of haploinsufficiency as a downregulator of essential genes, thus potentially impairing the normal development and/or functions of multiple organs.

摘要

Zhu-Tokita-Takenouchi-Kim (ZTTK) 综合征是一种智力障碍综合征,于 2016 年首次描述,由 上的杂合功能丧失变异引起。 可能会影响多个基因的单倍不足,包括涉及多个器官发育和代谢的基因。考虑到 广泛的功能,预计该基因中的致病性变异可引起广泛的临床症状。我们报告了另一个由于 基因()上的新生杂合变异引起的 ZTTK 综合征病例()。我们患者的临床表现与以前报道的病例相似;然而,ZTTK 综合征的诊断被延迟了很长时间,并且是在对显著慢性肝病(CLD)进行诊断性检查期间进行的。在任何系列中均未报告过 CLD;因此,我们的报告提供了有关这种罕见情况的新信息,并提示 ZTTK 综合征表型的扩展,包括可能的肝脏受累。相应地,我们建议从生命的最初几年开始,对携带 变异的患者进行肝脏受累的特异性筛查。一旦诊断出 CLD,就必须进行适当的随访,尤其是考虑到 作为癌症发展中新兴参与者的作用。需要进一步的研究来探讨 单倍不足作为必需基因下调因子的作用,从而可能损害多个器官的正常发育和/或功能。

https://cdn.ncbi.nlm.nih.gov/pmc/blobs/b148/10048019/9d9b1bbdb23f/genes-14-00739-g001.jpg

文献AI研究员

20分钟写一篇综述,助力文献阅读效率提升50倍。

立即体验

用中文搜PubMed

大模型驱动的PubMed中文搜索引擎

马上搜索

文档翻译

学术文献翻译模型,支持多种主流文档格式。

立即体验